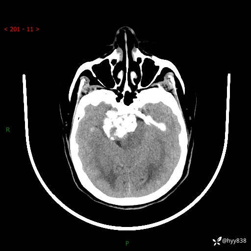
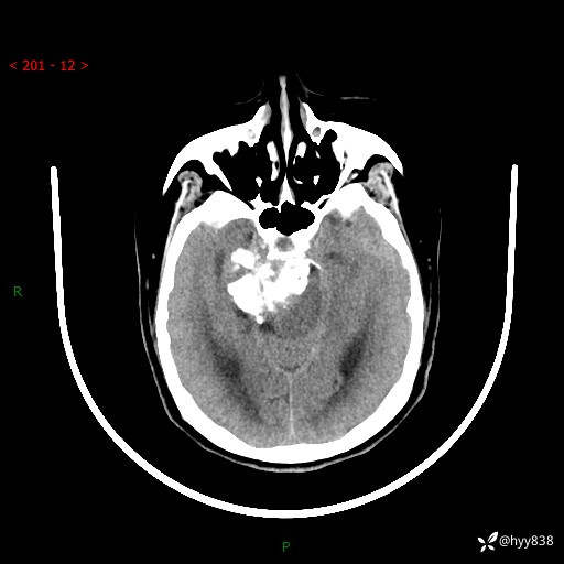
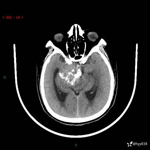
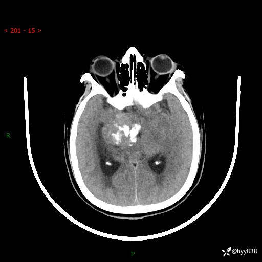
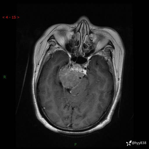
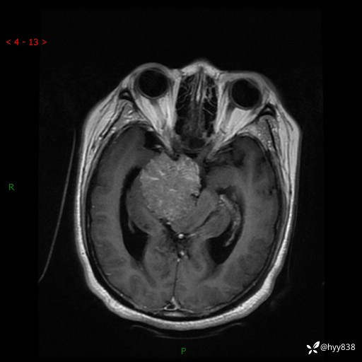
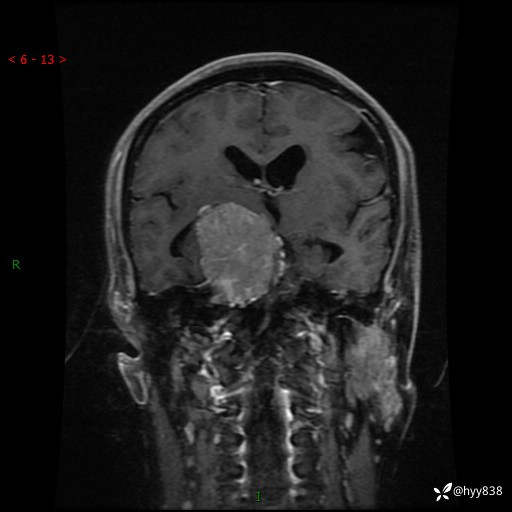
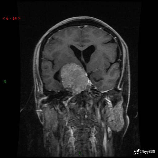
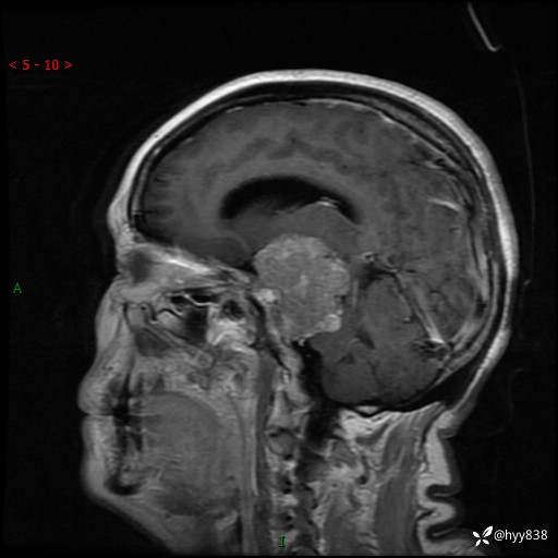
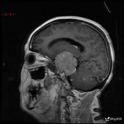
52岁/女,发现颅内占位4天。颅底钙化性肿块---结果公布~
胡志勇HZY 达人已点赞病例信息
性别:女
年龄:52岁
主诉:双下肢乏力1年,发现颅内占位4天
现病史:患者1年前无明显诱因出现双下肢乏力,容易摔倒,无头痛头晕,无肢体抽搐,无口吐白沫,无大小便失禁,无呼吸困难,无发热等不适,2024.08.13-2024.08.16在我院内分泌科住院期间行头MRI(2024.08.15)发现颅内占位,现患者为求诊治来我科,门诊遂以“右侧中颅窝占位性病变”收住院。 起病以来,患者精神饮食睡眠可,大小便正常,体力体重无明显下降。
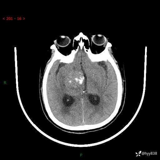
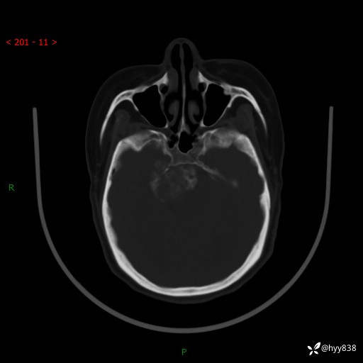
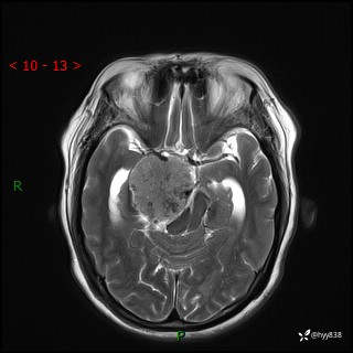
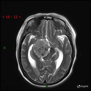
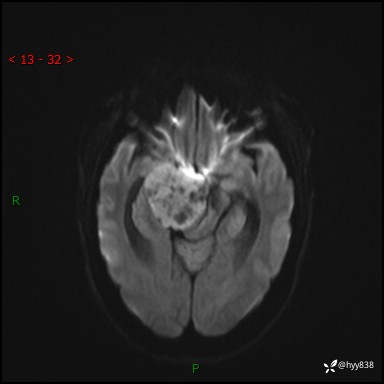
颅脑CT平扫









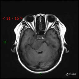
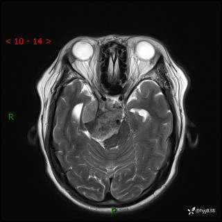
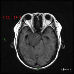
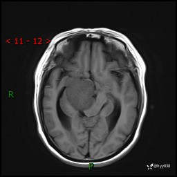
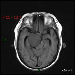
颅脑MRI平扫+增强
































































