颅内占位,影像征象不是很丰富,有病理
hyy838 推荐女 62岁 主 诉:头晕12小时,加重1小时。
现病史:患者于12小时前无明显诱因出现头晕,呈持续性,无天旋地转及行走不稳,伴恶心、呕吐,呕吐共5次,呕吐物为胃内容物(具体性质不详),无胸闷、胸痛、心慌,无腹痛、腹泻,无咳嗽、咳痰,无发热、意识不清、肢体抽搐及大小便失禁等,1小时前患者上述症状加重,未诊疗,为求进一步治疗急自行来我院,门诊以“头晕待查”为诊断收入我科,发病来,神志清,精神差,饮食、睡眠差,大小便正常,体重未见明显下降。
既往史:患有“下肢静脉曲张”病史10年余,未诊疗,患有“糖尿病”病史1年余,间断口服“格列美脲片”药物应用,自诉血糖控制可。患有“骨性关节炎”4月余,口服“氨基葡萄糖、塞来昔布、筋骨痛消丸”药物治疗,10余年前因“子宫肌瘤”在我院行手术治疗(具体不详)。7年前曾因“右踝部骨折”在我院行手术治疗(具体不详)。否认“高血压、冠心病”病史。否认“肝炎、结核”病史,否认外伤史、输血史、献血史以及药物、食物过敏史。预防接种史不详。
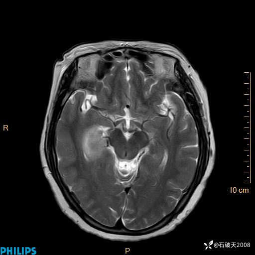
T2




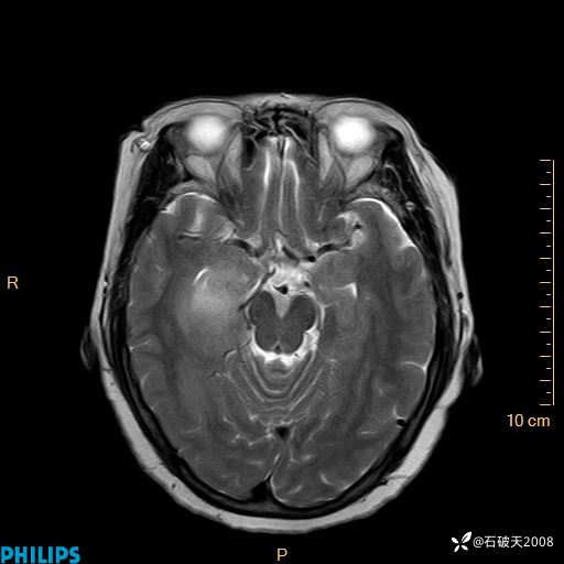
T1




FILAR




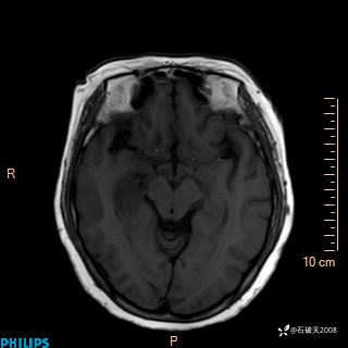
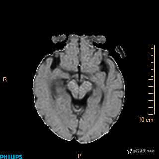
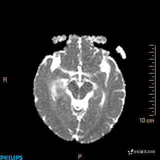
DWI




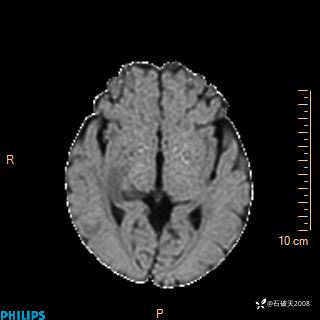
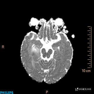
ADC




















































