2月特别精彩病例|头晕伴言语含糊1月,梅毒患者的颅内占位你如何考虑?【病理已公布】
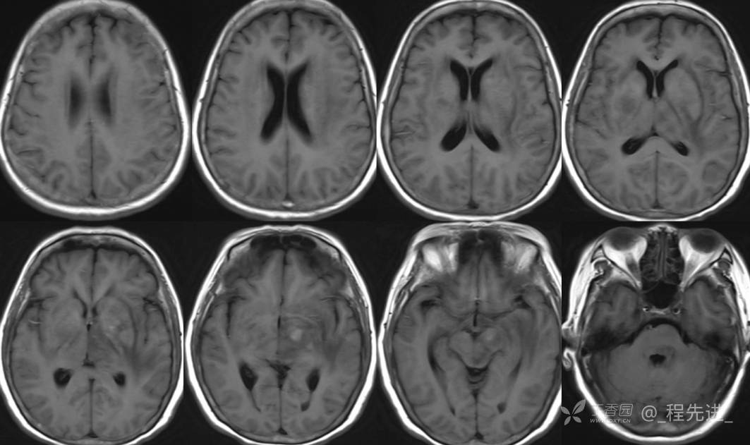
呱呱叫了 等 2 位达人已点赞患者性别:女
患者年龄:56岁
主诉:头晕伴言语含糊1月。
辅助检查:
梅毒TRUST血清实验(TRUST):1:32阳性(+)
梅毒特异性抗体凝集试验(TPPA):阳性 (+)







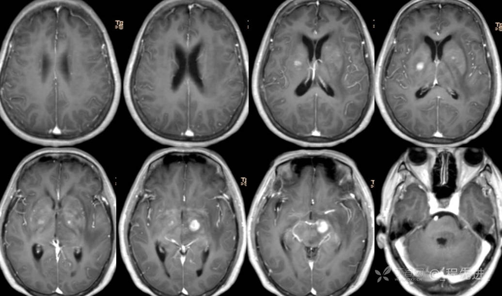
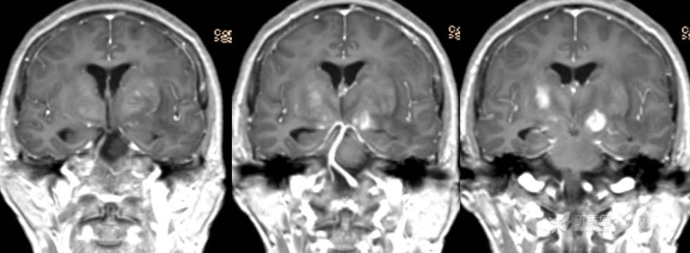
呱呱叫了 等 2 位达人已点赞患者性别:女
患者年龄:56岁
主诉:头晕伴言语含糊1月。
辅助检查:
梅毒TRUST血清实验(TRUST):1:32阳性(+)
梅毒特异性抗体凝集试验(TPPA):阳性 (+)







