红五月特别精彩病例|外伤检查发现颅内占位1周,典型病例分享【病理已公布】
李梦杰huxi 达人已点赞患者性别:女
患者年龄:42岁
主诉:外伤检查发现颅内肿瘤1周
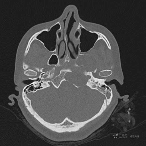
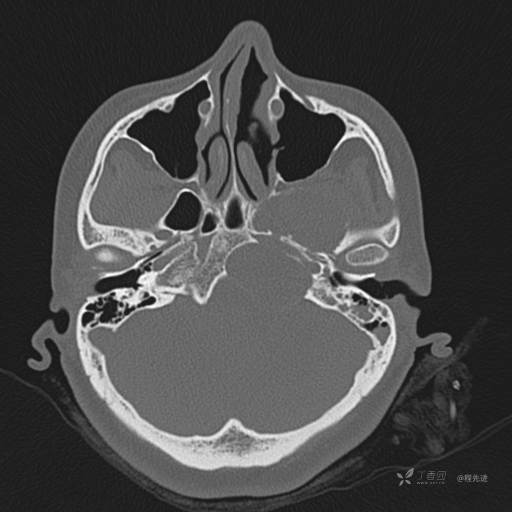
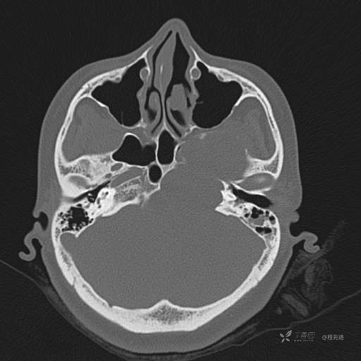
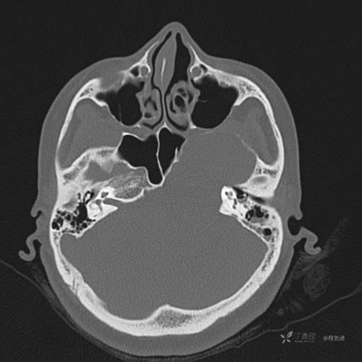
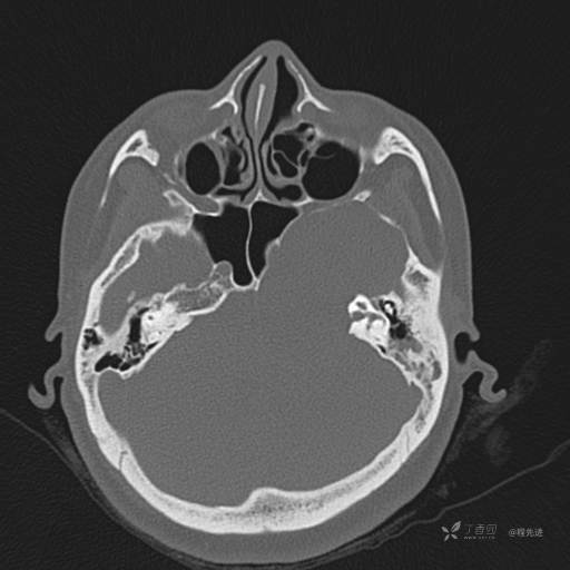
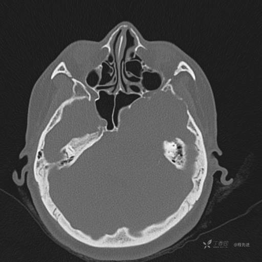
简要病史:患者1周前因车祸外伤致右小腿骨折及头部撞伤,当时以右下肢着地,当时无昏迷,立即感右下肢及头部疼痛不适,至当地医院检查头颅CT提示: 左侧前中后颅窝异常低密度灶。
CT







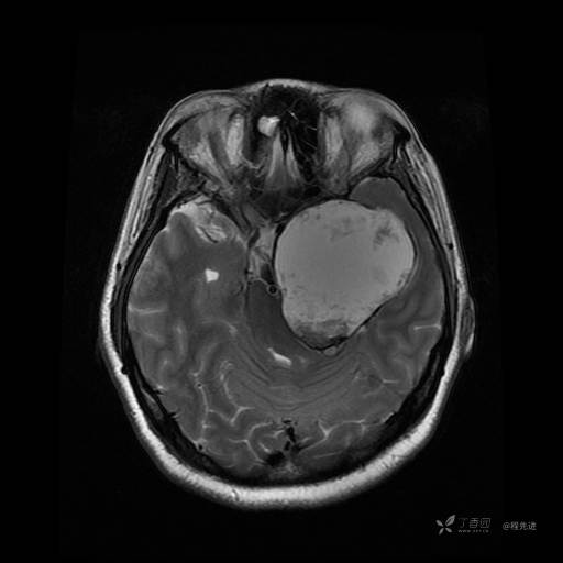
MR
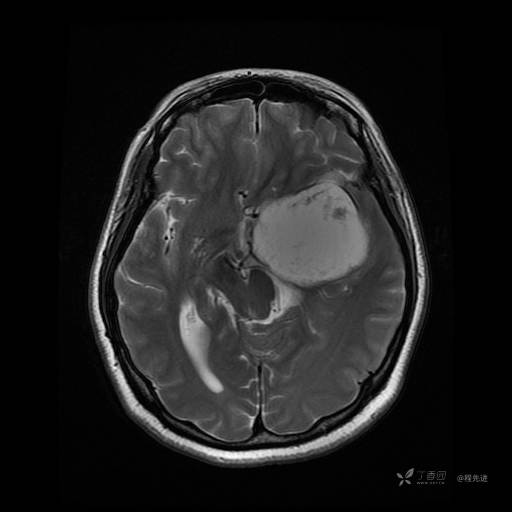
T2



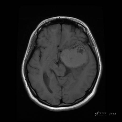
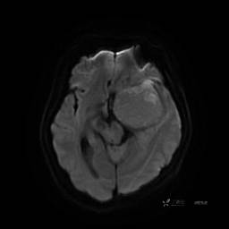
T1



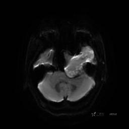
DWI



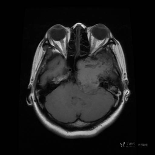
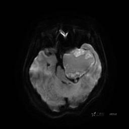
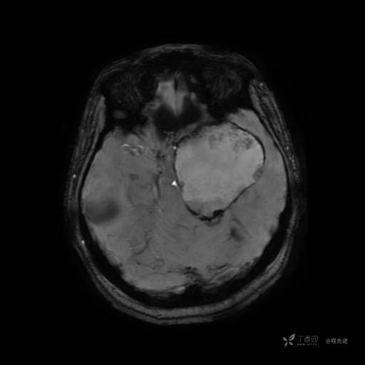
SWI



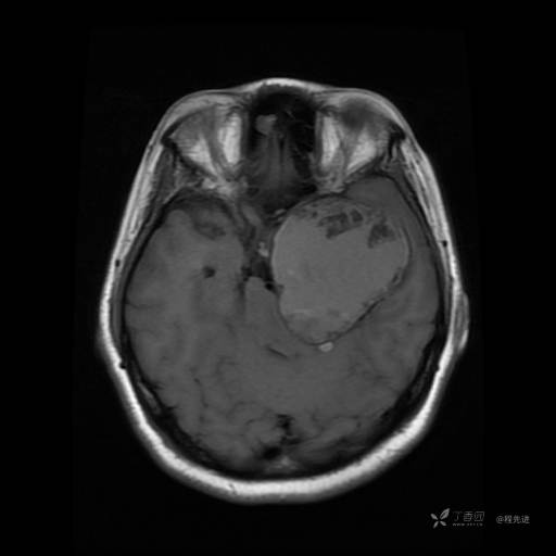
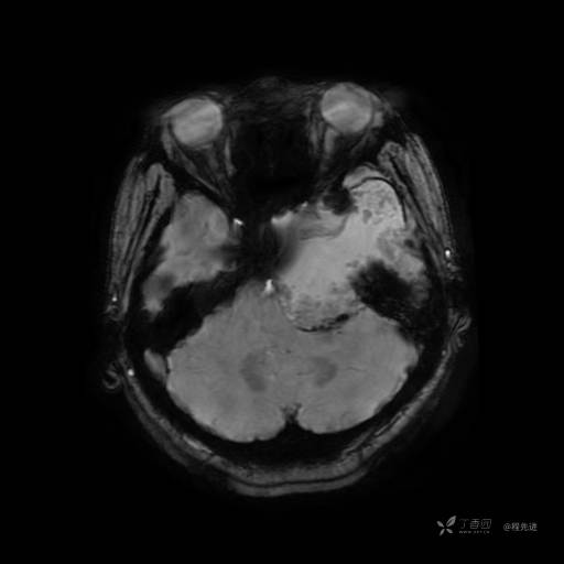
增强

您的诊断是?
李梦杰huxi 达人已点赞患者性别:女
患者年龄:42岁
主诉:外伤检查发现颅内肿瘤1周
简要病史:患者1周前因车祸外伤致右小腿骨折及头部撞伤,当时以右下肢着地,当时无昏迷,立即感右下肢及头部疼痛不适,至当地医院检查头颅CT提示: 左侧前中后颅窝异常低密度灶。
CT







MR
T2



T1



DWI



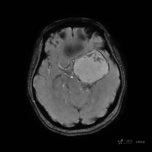
SWI



增强

您的诊断是?
