视物模糊发现颅内占位,“豆蔻年华”却承受开颅之痛,所幸一切顺利---结果公布~
患者性别:女
患者年龄:14岁
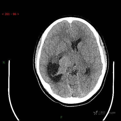
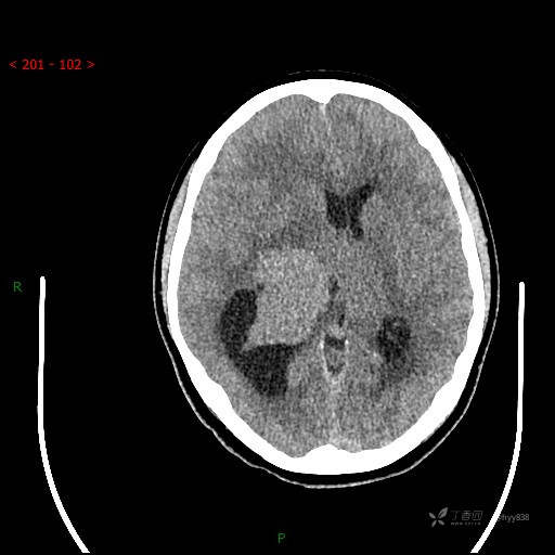
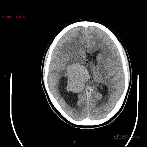
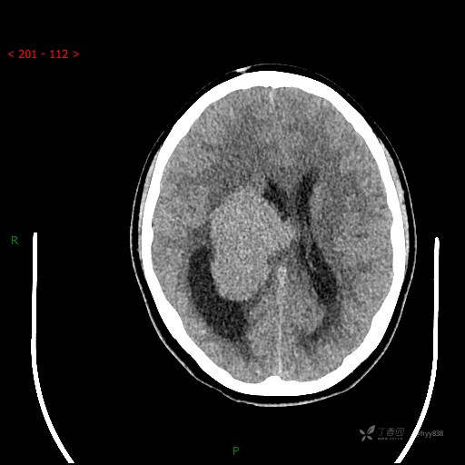
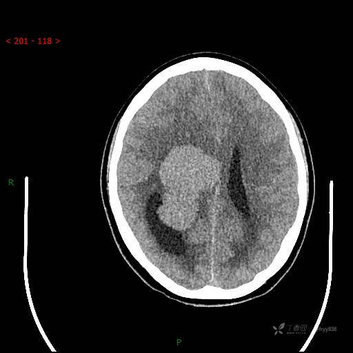
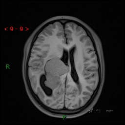
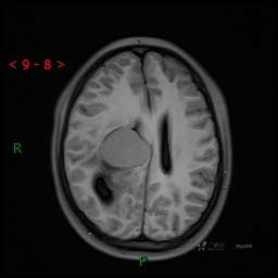
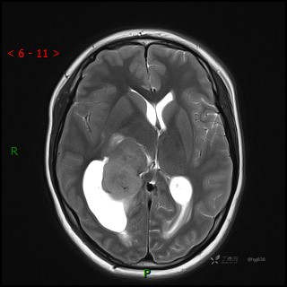
简要病史:患者于1月前无明显诱因出现视物模糊,无明显头痛头晕,无恶心呕吐,无昏迷,无肢体偏瘫等症状,就诊于当地医院头部CT考虑:右侧丘脑、脑室占位。予以对症处置后家属为求进一步诊治来我科,以“颅内占位”收入院。 起病以来,精神、饮食、睡眠欠佳,大小便正常,体力下降,体重无明显变化。
体格检查:(-)
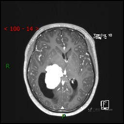
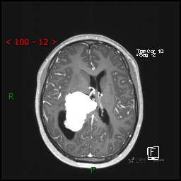
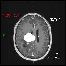
辅助检查:CT MRI
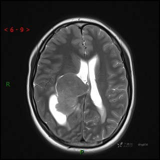
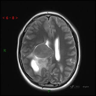
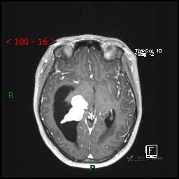
临床诊断:脑室占位
治疗经过:手术
讨论:病变性质?
颅脑CT平扫





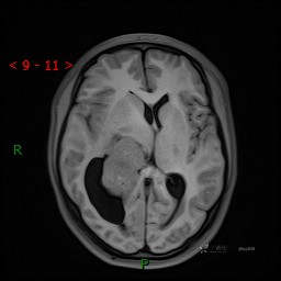
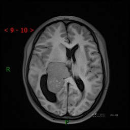
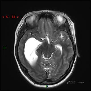
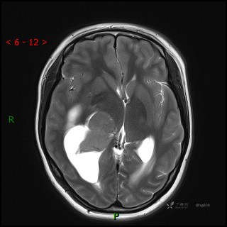
MRI平扫










CE

























































