dxy logo
首页丁香园病例库全部版块
搜索
登录

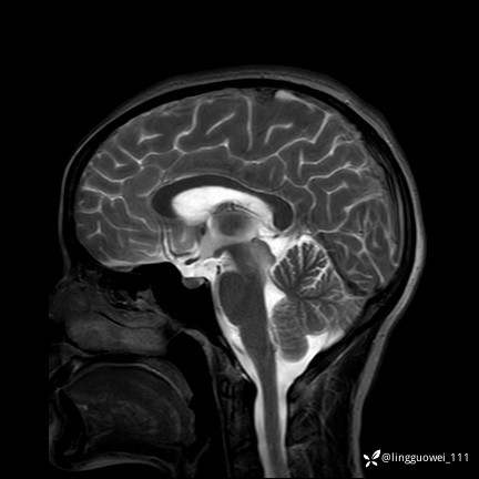
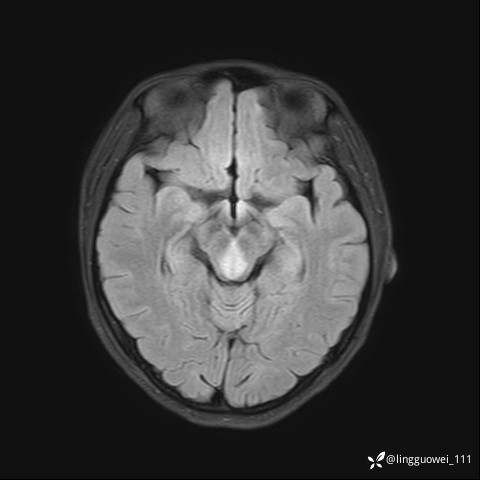
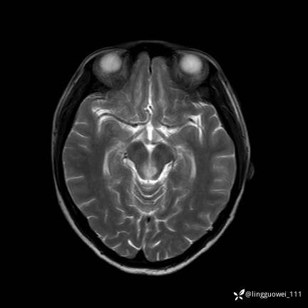
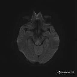
女,23岁,视物模糊,行走不稳15天,伴头痛低热就诊,5天后公布结果。

影像核医学版版主 · 发布于 2023-12-06 · IP 广东广东
6954 浏览
丁香风云榜、推荐 等 3 项荣誉
这个帖子发布于 1 年零 353 天前,其中的信息可能已发生改变或有所发展。

患者性别:女

患者年龄:23岁。

主诉:视物模糊,行走不稳15天,伴头痛低热就诊,眼科检查未见异常。

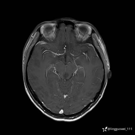
T1

img

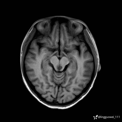
T2

img
img

T2压水

img

DWI ADC

img
img

T1增强

img
img
自身免疫性脑炎 (24)
纠错
107 17 25
同行评议(0)
已评议
不开通精选
开通精选
精选已授权,待上线
评议结果暂未公布
参与评议
去邀请
NaN
病例完整NaN
临床实用NaN
诊疗科学NaN
学术价值NaN

全部讨论(0)

默认最新
avatar
107
分享帖子
share-weibo分享到微博
share-weibo分享到微信
认证
返回顶部