4月特别精彩病例|头痛伴行走不稳2周【病理结果已公布】
患者性别:女
患者年龄:57岁
主诉:头痛伴行走不稳 2 周
体格检查:神清,生命征平稳,颈无抵抗,四肢活动良好,肌力、肌张力正常,克氏征阴性,病理征未引出。
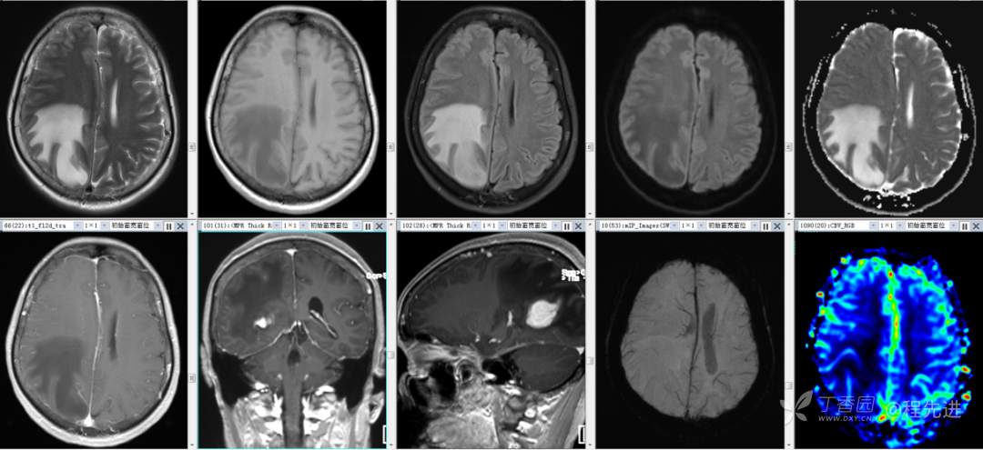
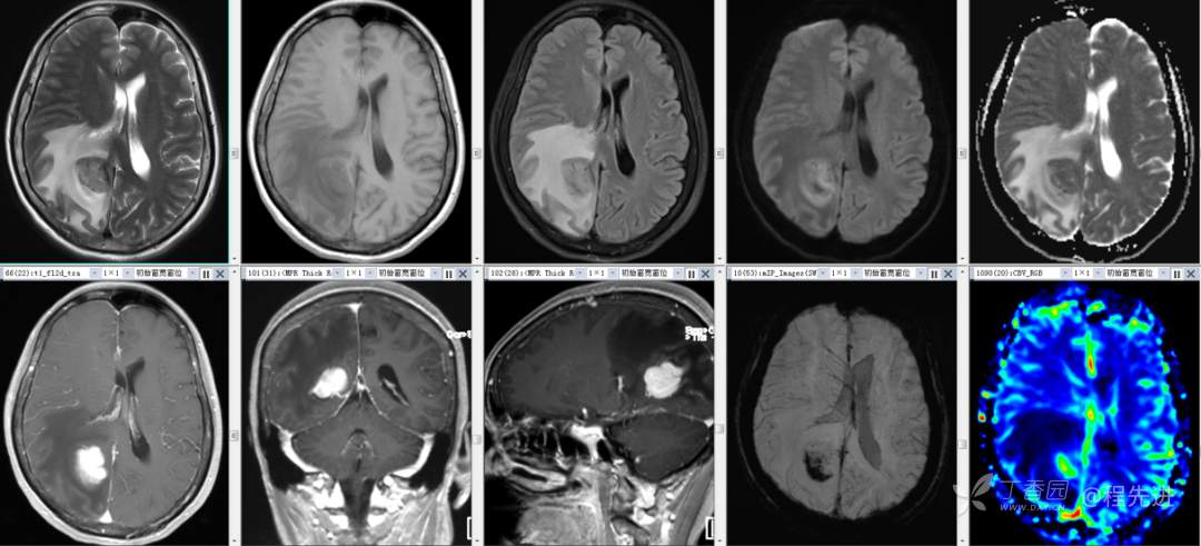
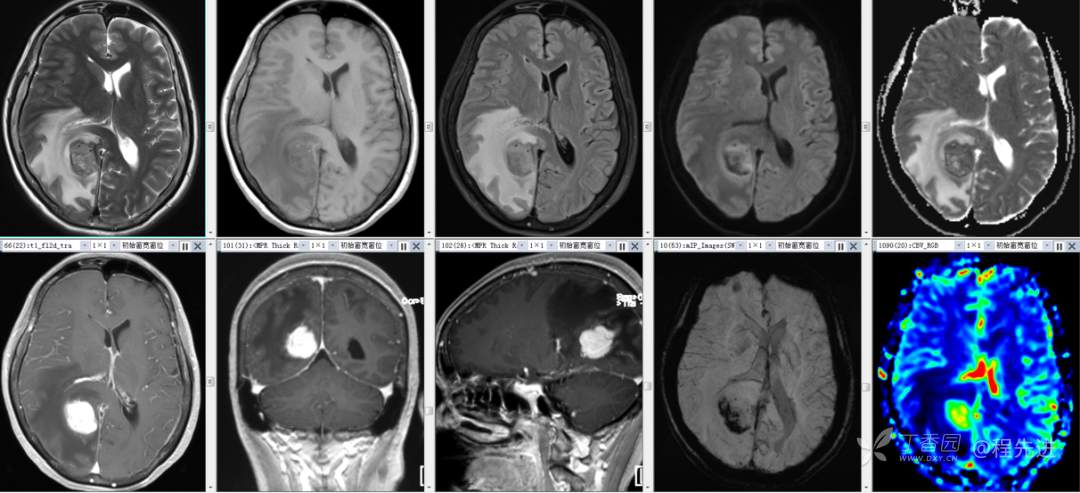
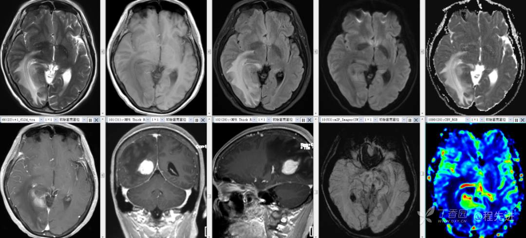
辅助检查:外院头颅 CT 示:右侧顶枕叶占位。
颅脑 MRI 平扫+增强:






患者性别:女
患者年龄:57岁
主诉:头痛伴行走不稳 2 周
体格检查:神清,生命征平稳,颈无抵抗,四肢活动良好,肌力、肌张力正常,克氏征阴性,病理征未引出。
辅助检查:外院头颅 CT 示:右侧顶枕叶占位。
颅脑 MRI 平扫+增强:






