【神经】特别精彩病例|行走不稳3年,加重半年
呱呱叫了 等 3 位达人已点赞病例信息
【患者信息】:男,51岁
【主诉】:行走不稳3年,加重半年
【现病史及既往史】:3年前无明显诱因下出现行走不稳,行动变慢,容易呛咳语言表达有障碍,记忆力变差,性格有所改变,睡眠变差大小便控制力欠佳,有大便失禁现象,伴头晕,无头痛、口齿不清、肢体活动不利、肢体麻木、意识不清等,半年前上述症状加重
【检查】:
查体:上下眼球活动差
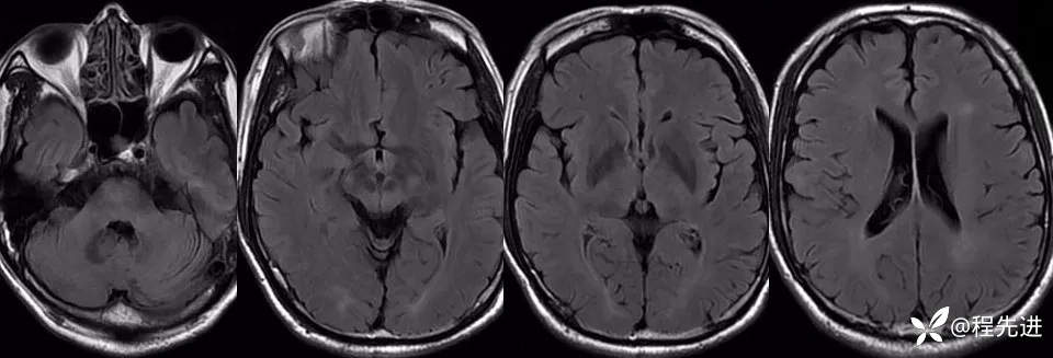
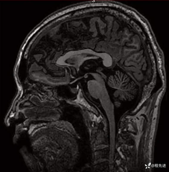
影像检查:
T2:

FLAIR:

T1:

呱呱叫了 等 3 位达人已点赞病例信息
【患者信息】:男,51岁
【主诉】:行走不稳3年,加重半年
【现病史及既往史】:3年前无明显诱因下出现行走不稳,行动变慢,容易呛咳语言表达有障碍,记忆力变差,性格有所改变,睡眠变差大小便控制力欠佳,有大便失禁现象,伴头晕,无头痛、口齿不清、肢体活动不利、肢体麻木、意识不清等,半年前上述症状加重
【检查】:
查体:上下眼球活动差
影像检查:
T2:

FLAIR:

T1:

