【神经】特别精彩病例|行走不稳2月余
胡志勇HZY 等 2 位达人已点赞病例信息
患者性别:男
患者年龄:13岁
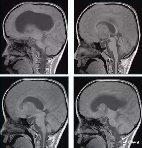
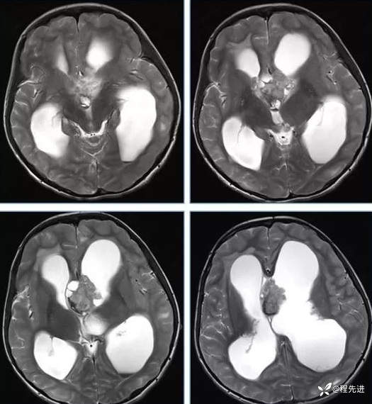
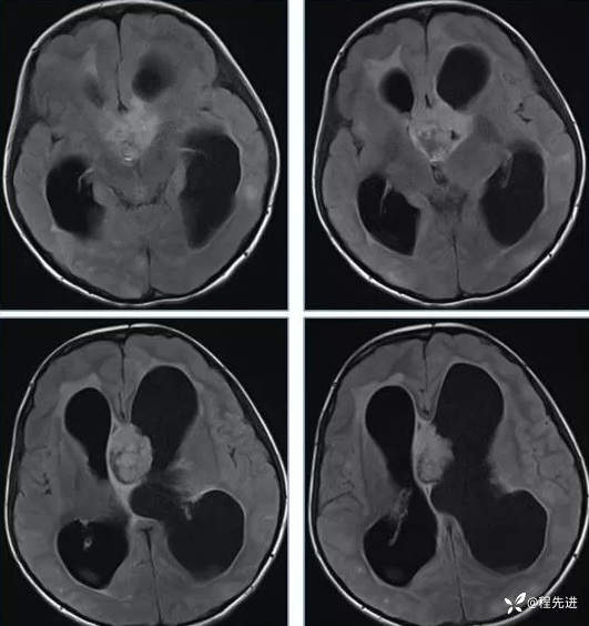
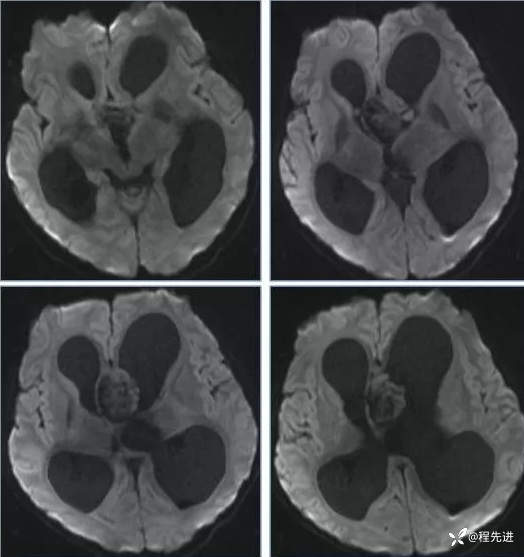
主诉:行走不稳2月余
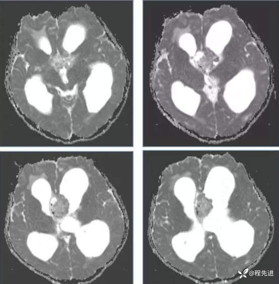
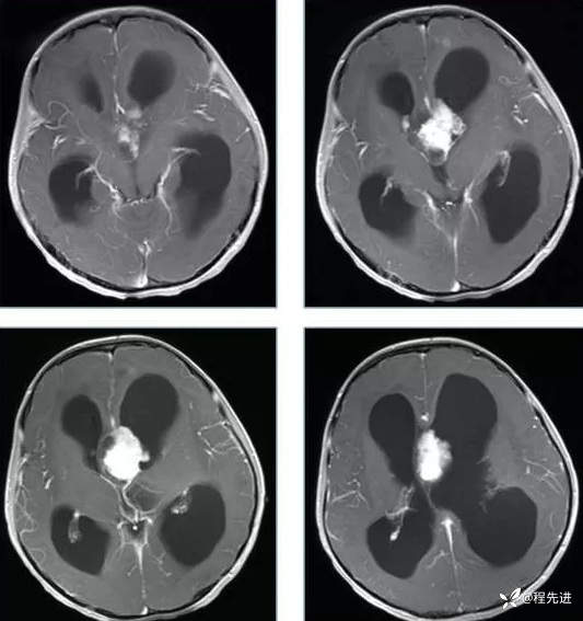
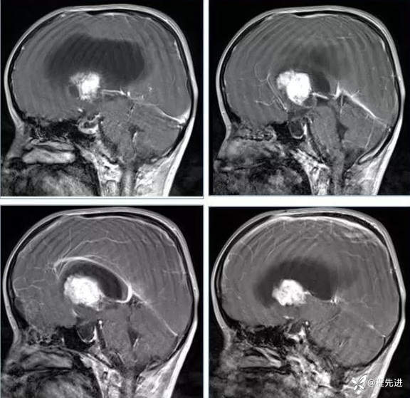
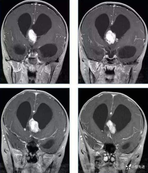
现病史:2个月前患者无明显诱因下出现行走不稳,近期症状逐渐加重,站立不能。病程中患者无意识障碍,无头痛头晕,无明显恶心呕吐、视物旋转、耳鸣、眼球活动障碍等,无尿量增多、泌乳、口干等,体重无明显改变,睡眠可,食欲可,二便正常。
既往史:患者生后8个月和今年出现两次癫痫发作,持续时间不长
个人史:患者自幼失语,智力障碍
专科检查:右侧肢体肌力III-IV级,左侧肢体肌力IV级,肌张力下降









期待您的点赞支持!
期待您的精彩解读!















































