【神经】特别精彩病例|记忆力下降2年,言语不清、行走不稳9月
李梦杰huxi 等 2 位达人已点赞病例信息
【患者信息】:女,39岁
【主诉】:记忆力下降2年,言语不清、行走不稳9月
【现病史及既往史】:2年前家人发现记忆力下降,伴有性格改变;9月前出现言语不清,走路不稳,易摔倒;2月前出现饮水呛咳,吞咽困难,伴有头晕
既往史:幼儿“白内障”病史,后行白内障手术
【检查】:
体格检查:跟腱瘤样增粗
实验室检查:
脑脊液细胞、蛋白(-)
血清、脑脊液副肿瘤化验(-)
脑脊液TORCH8项相关病毒抗体(-)、脑脊液及血清寡克隆区带及免疫球蛋白均(-)
血固醇谱检验:二氢胆固醇、脱氢胆固醇、7-烯胆烷醇、菜油固醇和谷固醇均升高
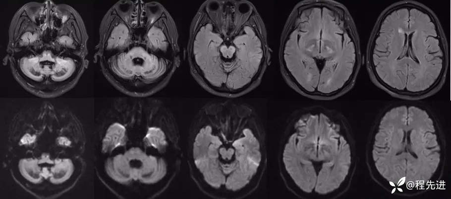
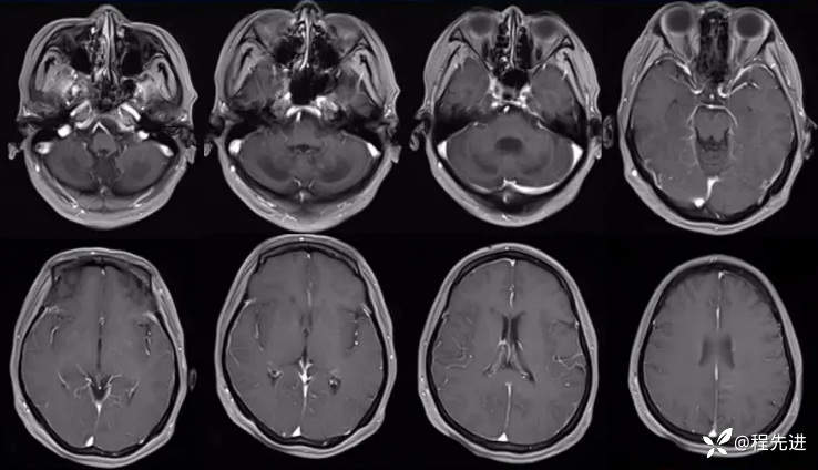
影像检查:
T2、T1:

FLAIR:

增强:

颈、胸髓T2:
















































