【神经】特别精彩病例|走路不稳伴言语不清2年
病例信息
【患者信息】:女,45岁
【主诉】:走路不稳伴言语不清2年。
【现病史及既往史】:2年前自觉走路不稳、向后倾斜,伴言语不清、视力下降。既往“白内障”20年,“胃病”20余年,间断腹泻,乙肝携带病史20余年。
【检查】:
查体:言语欠流利。四肢肌张力略高,双侧肱二头肌、肱三头肌、桡骨膜、膝腱反射、跟腱反射均亢进,双上肢Hofman征、双下肢Babinski征、Chaddock征、双侧踝阵阳性,Kernig征可疑阳性。
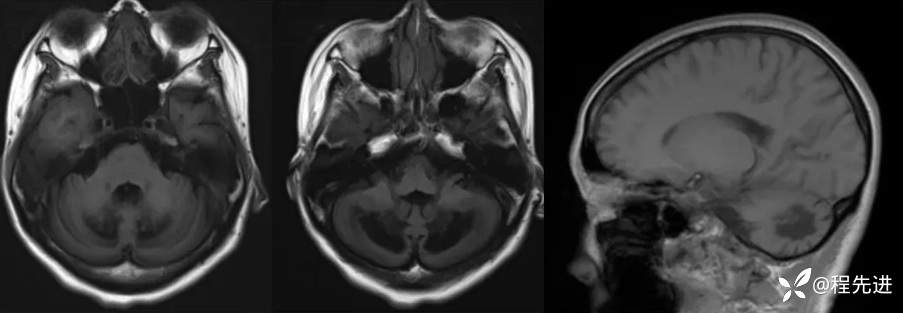
T1:

T2、FLAIR:

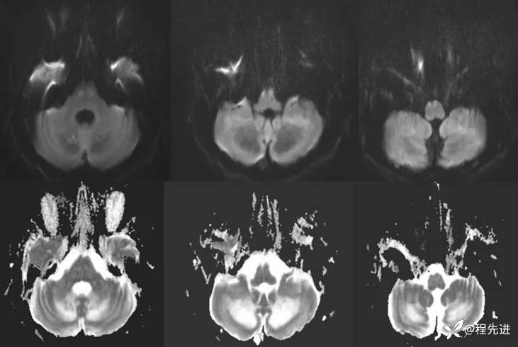
DWI、ADC:

颈椎MRI平扫:

胸椎MRI平扫:

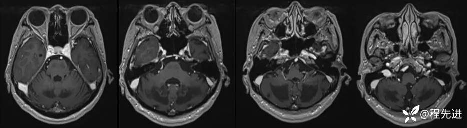
颅脑MRI增强:


左、右踝关节MRI平扫:
















































