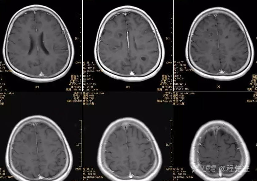
3月特别精彩病例|头晕伴左侧肢体乏力、行走不稳1周【结果已公布】
患者性别:女
患者年龄:75岁
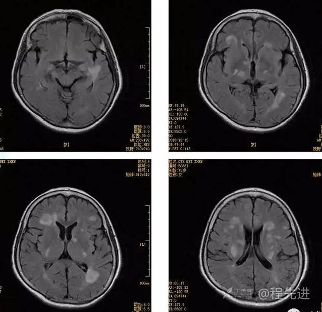
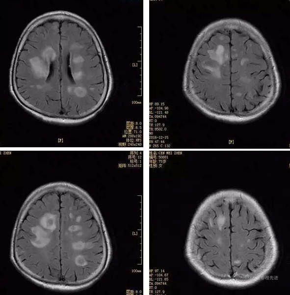
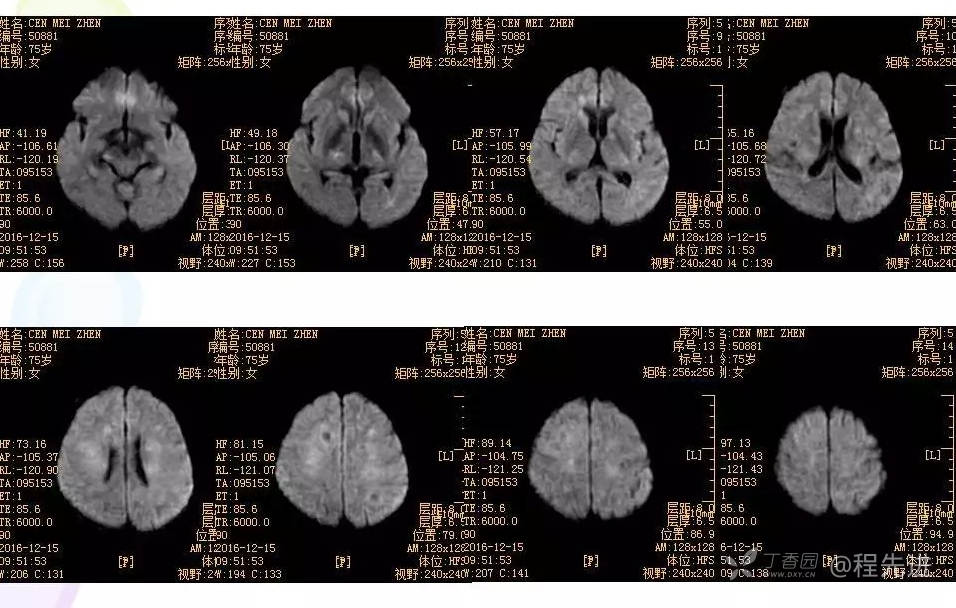
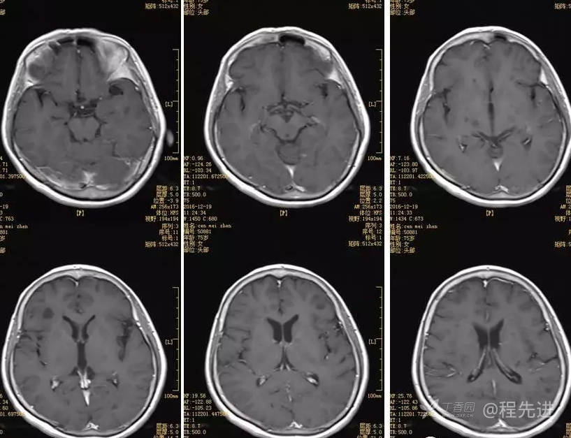
简要病史:头晕伴左侧肢体乏力、行走不稳1周。否认高血压、脑梗塞、肝炎、糖尿病、肺结核病史。否认疫区疫水接触史。
体格检查:神经系统查体正常
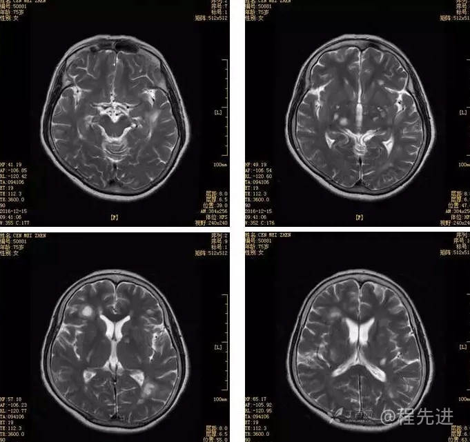
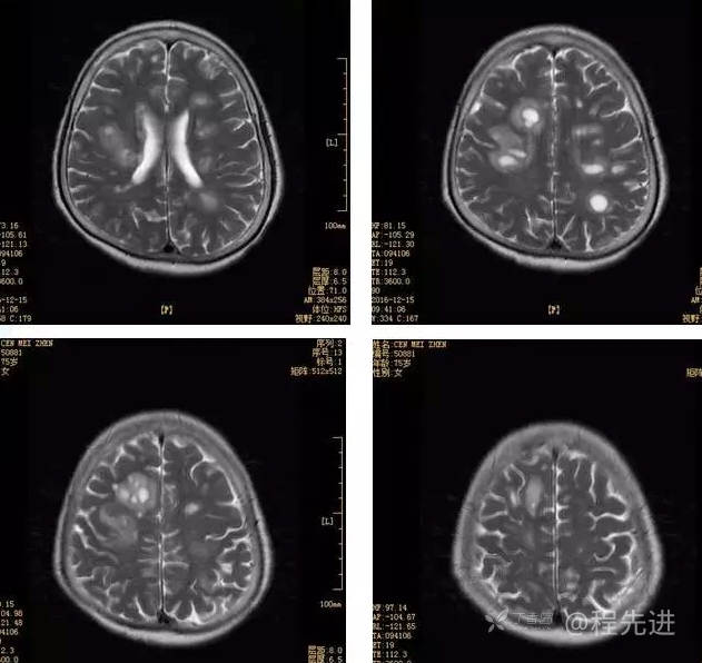
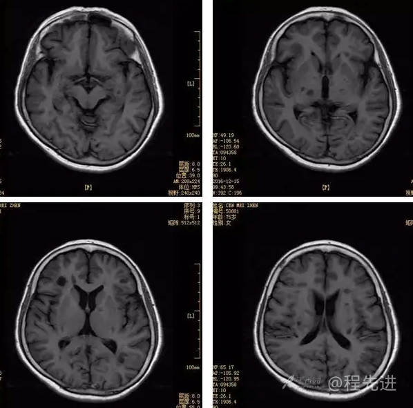
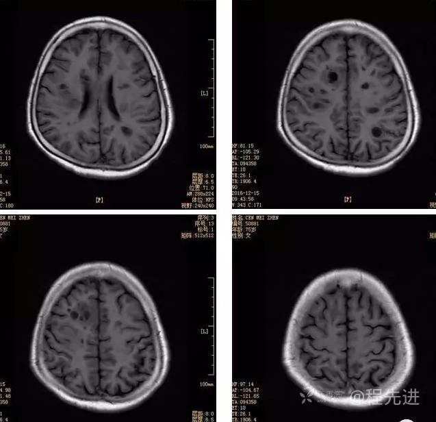
辅助检查:
胸片未见异常。
腰穿压力150cmH20
脑脊液常规
颜色 无色
凝固性 阴性
透明度 清晰
潘氏球蛋白定性试验 +-
LDH 27U/L
葡萄糖 5.10mmol/L高
蛋白 368.4mg/L
氯化物 127.2mmol/L
红细胞总数 1000*10^6/L高
白细胞 6*10^6/L
中性(多核) 33.3%
淋巴(单核) 66.7
间皮 0
涂片未见细菌、结核菌、新型隐球菌



























































