dxy logo
首页丁香园病例库全部版块
搜索
登录

五一假期精彩病例|无明显诱因出现视物模糊3个月【病理已公布】

影像核医学版版主 · 发布于 2023-05-03 · IP 江西江西
2140 浏览
推荐、达人点赞 2 项荣誉
这个帖子发布于 2 年零 206 天前,其中的信息可能已发生改变或有所发展。

患者性别:男

患者年龄:72岁

简要病史:3个月前无明显诱因出现视物模糊

辅助检查:

img

MR

T1冠状位

img

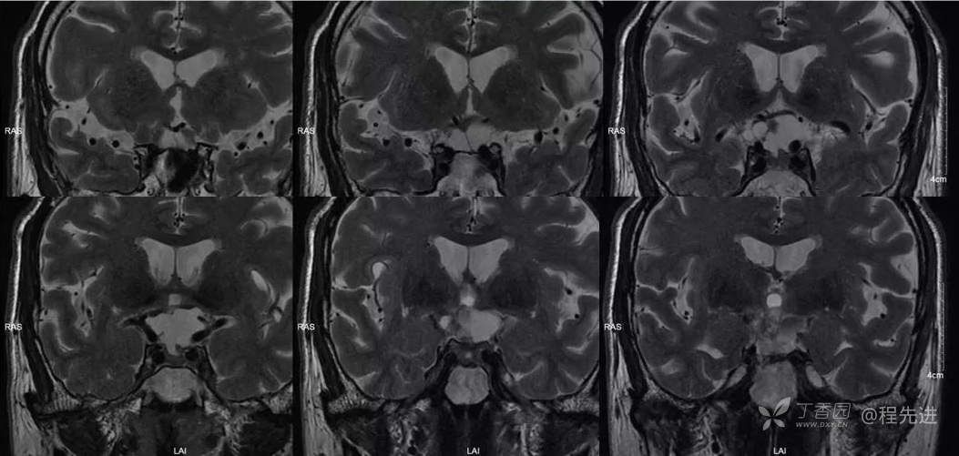
T2冠状位

img

T1矢状位

img

T1增强矢状位

img

T1增强冠状位

img

您的诊断是?

颅咽管瘤 (15)
纠错
51 4 13
同行评议(0)
已评议
不开通精选
开通精选
精选已授权,待上线
评议结果暂未公布
参与评议
去邀请
NaN
病例完整NaN
临床实用NaN
诊疗科学NaN
学术价值NaN

全部讨论(0)

默认最新
avatar
51
分享帖子
share-weibo分享到微博
share-weibo分享到微信
认证
返回顶部