【神经】特别精彩病例|视物模糊1周,头痛2天,松果体区占位期待您的精彩解读!
呱呱叫了 等 2 位达人已点赞患者性别:男
患者年龄:15岁
主诉:视物模糊1周,头痛2天
简要病史:患儿家属代诉患儿1周前出现视物模糊,出现重影,2天前出现阵发性头痛,伴有非喷射性呕吐2-3次,呕吐物为胃内容物,无发热,无咽痛,无咳嗽,无抽搐,无腹痛、腹泻,大小便可。
实验室检查:无特殊。
CT平扫:

MRI平扫+增强:
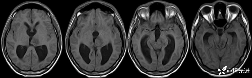
T1:

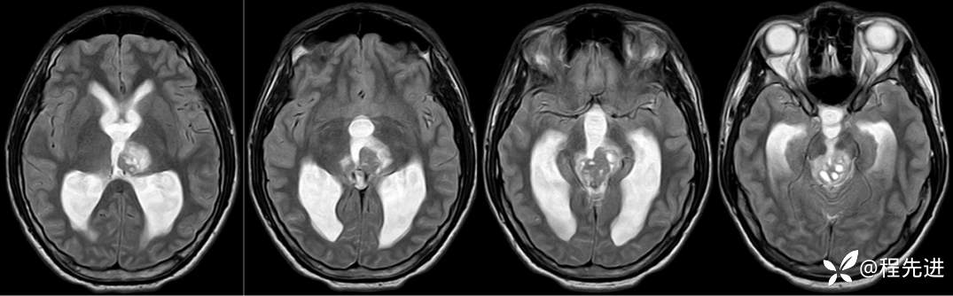
T2:

FLAIR:

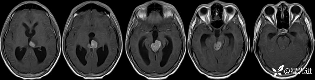
T1增强:


期待您的精彩解读!
呱呱叫了 等 2 位达人已点赞患者性别:男
患者年龄:15岁
主诉:视物模糊1周,头痛2天
简要病史:患儿家属代诉患儿1周前出现视物模糊,出现重影,2天前出现阵发性头痛,伴有非喷射性呕吐2-3次,呕吐物为胃内容物,无发热,无咽痛,无咳嗽,无抽搐,无腹痛、腹泻,大小便可。
实验室检查:无特殊。
CT平扫:

MRI平扫+增强:
T1:

T2:

FLAIR:

T1增强:


期待您的精彩解读!
