dxy logo
首页丁香园病例库全部版块
搜索
登录

病例外伤检查发现,你见过吗?

影像核医学版版主 · 发布于 2024-01-02 · 来自 iOS · IP 江西江西
4482 浏览
icon呱呱叫了 等 3 位达人已点赞
这个帖子发布于 1 年零 327 天前,其中的信息可能已发生改变或有所发展。

患者性别:男

患者年龄:40岁

简要病史:外伤检查发现

骨盆DR:

img


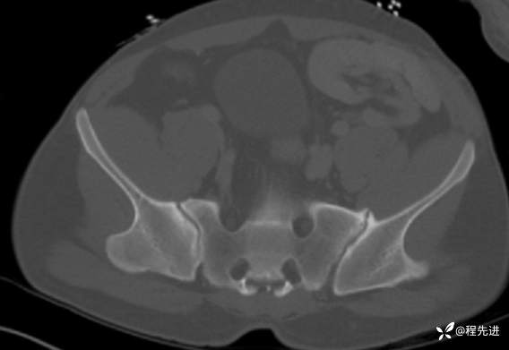
CT:

img


img


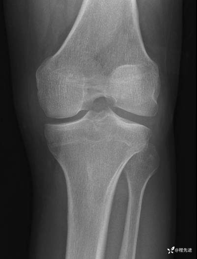
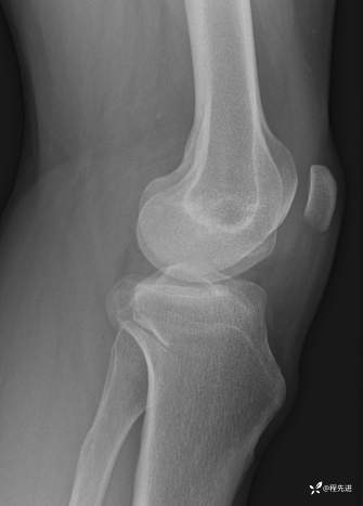
左膝关节正、侧、轴位DR:

img


img


img


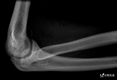
右肘关节正侧位DR:

img


img
外伤 (618)
纠错
18 11 29
同行评议(0)
已评议
不开通精选
开通精选
精选已授权,待上线
评议结果暂未公布
参与评议
去邀请
NaN
病例完整NaN
临床实用NaN
诊疗科学NaN
学术价值NaN

全部讨论(0)

默认最新
avatar
18
分享帖子
share-weibo分享到微博
share-weibo分享到微信
认证
返回顶部