大年初四特别精彩病例|突发恶心呕吐,四肢抽搐1天,颅内占位期待您的精彩解读
呱呱叫了 等 2 位达人已点赞大年初四:三羊开泰。灶王爷要查户口,恭迎灶神回民间。
大年初四是诸神由天界重临人间之时。有“送神早,接神迟”之说,所谓送神要一大清早就开始,而接神放在下午也未迟。供品方面,三牲、水果、酒菜要齐备,还要焚香点烛烧金衣。过去,老板想将某人“炒鱿鱼”,这天就不请他来拜神,对方也就心知肚明,自个收拾走人。
相传大年初四灶王爷要点查户口,所以家家户户都要守在家里,因此也不宜远出,准备丰富的果品,焚香点烛并施放鞭炮,以示恭迎。
关键词:迎接灶王爷

-----------------------我是快乐读片的分割线-----------------------
患者性别:男
患者年龄:26岁
简要病史:突发恶心呕吐,四肢抽搐1天
CT平扫:

MRI平扫+增强:
T2:

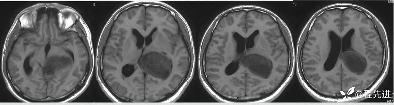
T1:

FLAIR:

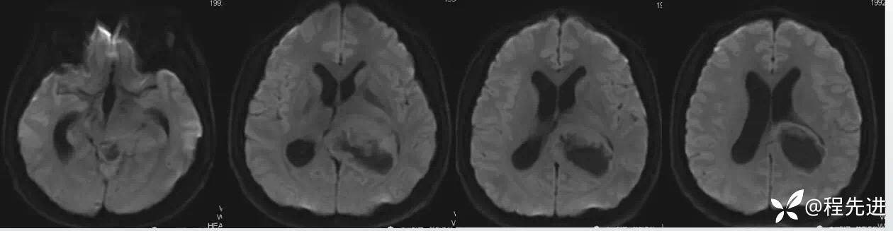
DWI:

FLAIR冠状位:

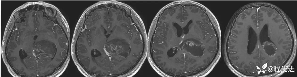
T1增强:

期待您的精彩解读!















































