【神经】特别精彩病例|发热6天,四肢抽搐5天
胡志勇HZY 等 2 位达人已点赞病例信息
患者性别:女
患者年龄:23岁
主诉:发热6天,四肢抽搐5天
现病史:患者6天前无明显诱因下出现发热,Tmax39.8℃,伴咳咳,痰为白粘痰,予以“益保世灵”抗感染后热退。5天前突发呼吸困难,后出现四肢抽搐,以上肢为主,持续近2小时,伴口角麻木,无张口困难,无斜视凝视,无意识不清,无恶心呕吐,无大小便失禁,遂至我院急诊,查血常规:白细胞3.43 ↓ 10~9/L,中性粒细胞百分比62.10%,血红蛋白 98 ↓ g/L,血小板275 10~9/L;病程中患者偶有头痛,无意识障碍,无视物旋转,无视物成双进食睡眠可,二便可。
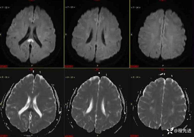
MRI平扫:


期待您的点赞支持!
期待您的精彩解读!















































