【神经】特别精彩病例|头痛4天,加重半天,伴四肢抽搐一次
呱呱叫了 等 2 位达人已点赞患者性别:女
患者年龄:44岁
主诉:头痛4天,加重半天,伴四肢抽搐一次
现病史:患者于4天前无明显诱因突然出现头痛,为间歇性胀痛,入院当天中午开始头痛加重,伴呕吐数次,呕吐物为胃内容物,不含咖啡色液体,入院当天18:30左右出现意识丧失、四肢抽搐,持续2-3分钟,无口吐白沫
专科检查:
急性面容,神志嗜睡,精神较差,自动体位,查体合作,问答切题,神志嗜睡,可自动睁眼,可按指示运动,思维力未见异常、理解力未见异常、时间定向力未见异常、空间定向力未见异常、记忆力未见异常、计算力未见异常
双侧额纹对称,左侧鼻唇沟无变浅,口角无偏斜,躯千及四肢肌张力未见异常,四肢肌力V级;未见不自主运动。躯干及四肢浅感觉无异常,双侧肱二头肌反射及肱三头肌反射无异常。无阵挛及踝阵挛;双侧Hoffmann征阴性、Babinski征阴性。颈软无抵抗,皮肤划痕征阴性
实验室检查:(-)
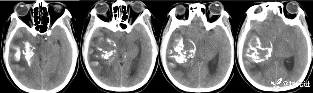
CT平扫:


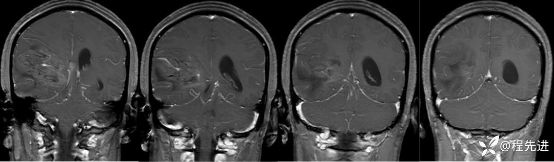
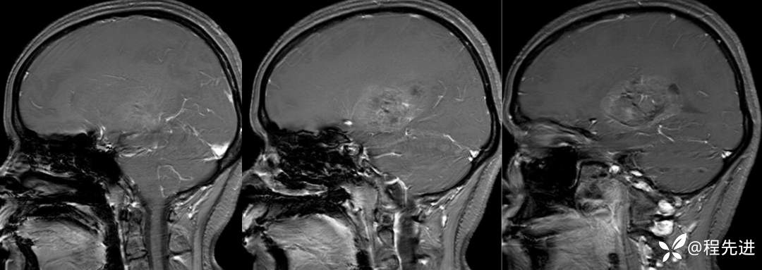
MR平扫+增强:
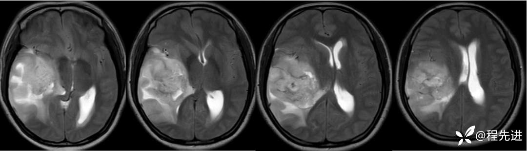
T2:

FLAIR:

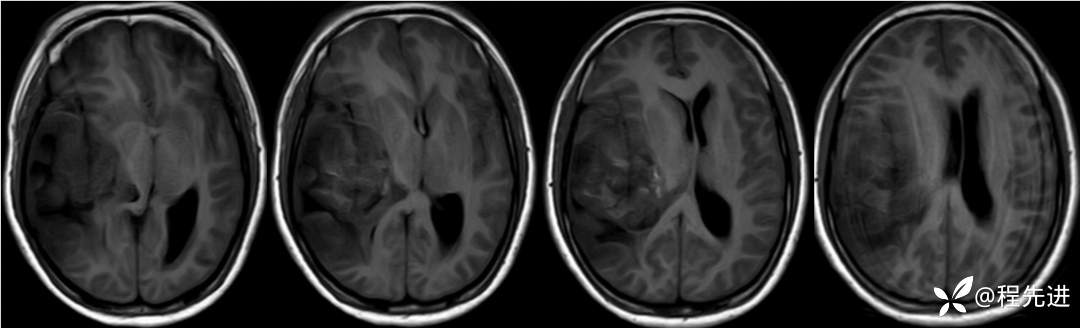
T1:

T1+C:





期待您的精彩解读!















































