dxy logo
首页丁香园病例库全部版块
搜索
登录

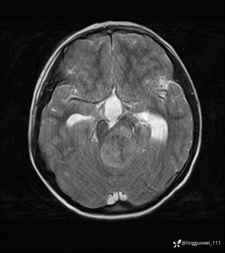
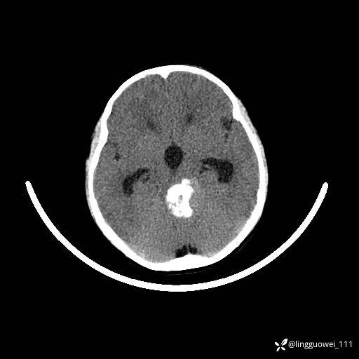
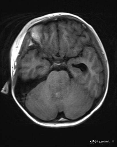
男,8岁,外伤后发现颅内占位,定位定性,4天后公布结果。

影像核医学版版主 · 发布于 2023-11-15 · IP 广东广东
1452 浏览
推荐、达人点赞 2 项荣誉
这个帖子发布于 2 年零 9 天前,其中的信息可能已发生改变或有所发展。

患者性别:男

患者年龄:8岁。

主诉:外伤后发现颅内占位。

外院做的手术,术后回本院复查,只有平扫,定位在哪?良性还是恶性?

img
img
img
img
img
img

T1

img
img
img

T2

img
img
img
img
img
img
胶质瘤 (47)
纠错
29 7 10
同行评议(0)
已评议
不开通精选
开通精选
精选已授权,待上线
评议结果暂未公布
参与评议
去邀请
NaN
病例完整NaN
临床实用NaN
诊疗科学NaN
学术价值NaN

全部讨论(0)

默认最新
avatar
29
分享帖子
share-weibo分享到微博
share-weibo分享到微信
认证
返回顶部