dxy logo
首页丁香园病例库全部版块
搜索
登录

病例【神经】特别精彩病例|肢体乏力2周余,记忆力减退1周余,颅内占位期待您的解读!

影像核医学版版主 · 发布于 2024-05-15 · IP 江西江西
1464 浏览
icon李梦杰huxi 等 3 位达人已点赞
这个帖子发布于 1 年零 193 天前,其中的信息可能已发生改变或有所发展。

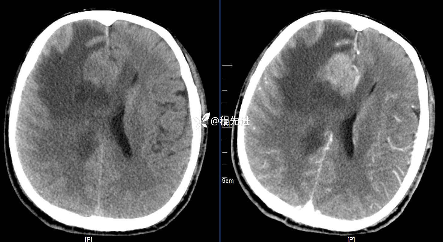
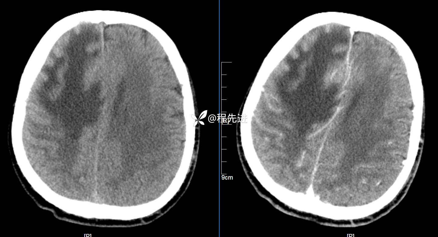
病例信息

患者性别:男

患者年龄:52岁

简要病史:肢体乏力2周余,记忆力减退1周余

CT平扫+增强:

img
img
img
img
img
img

MRI增强:

img
img
img
img
img
img
img

期待您的点赞支持!

期待您的精彩解读!

该帖还没有疾病标签去添加
29 5 35
同行评议(0)
已评议
不开通精选
开通精选
精选已授权,待上线
评议结果暂未公布
参与评议
去邀请
NaN
病例完整NaN
临床实用NaN
诊疗科学NaN
学术价值NaN

全部讨论(0)

默认最新
avatar
29
分享帖子
share-weibo分享到微博
share-weibo分享到微信
认证
返回顶部