dxy logo
首页丁香园病例库全部版块
搜索
登录

理解“经典”,从经典病例开始,3岁小女孩,行走不稳2个月,加重1个月--结果公布

影像核医学版版主 · 发布于 2024-04-08 · 来自 Android · IP 湖北湖北
1953 浏览
icon胡志勇HZY 达人已点赞
这个帖子发布于 1 年零 230 天前,其中的信息可能已发生改变或有所发展。

病例信息

性别:女

年龄:3岁

简要病史:发现行走不稳2个月,加重1个月

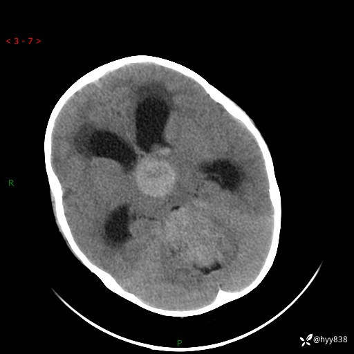
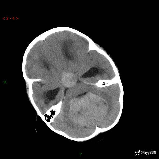
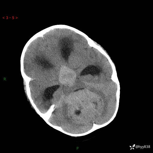
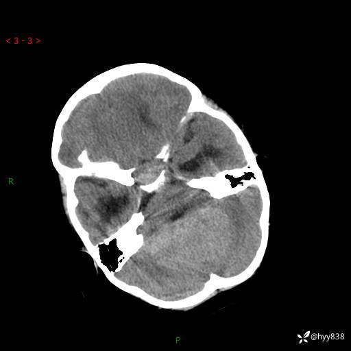
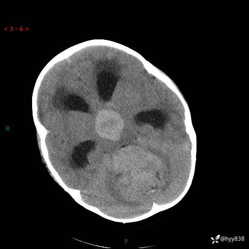
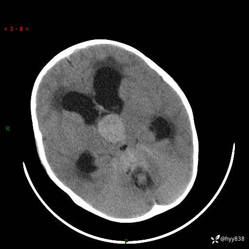
颅脑CT平扫

img


img


img


img


img


img


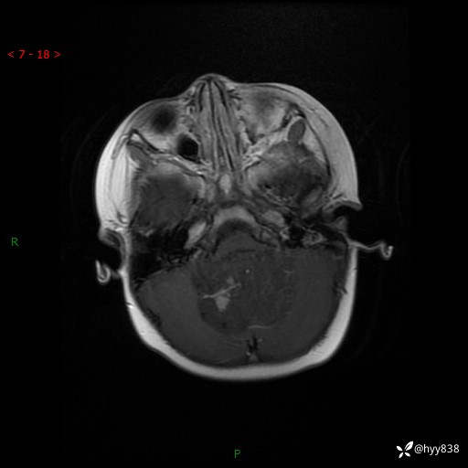
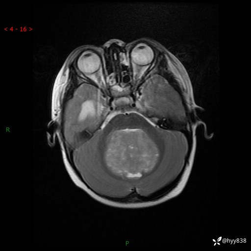
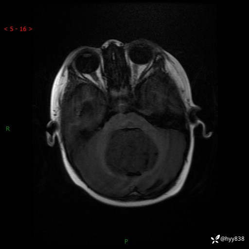
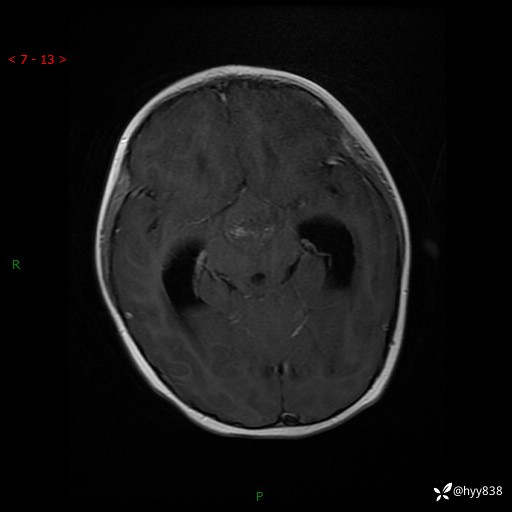
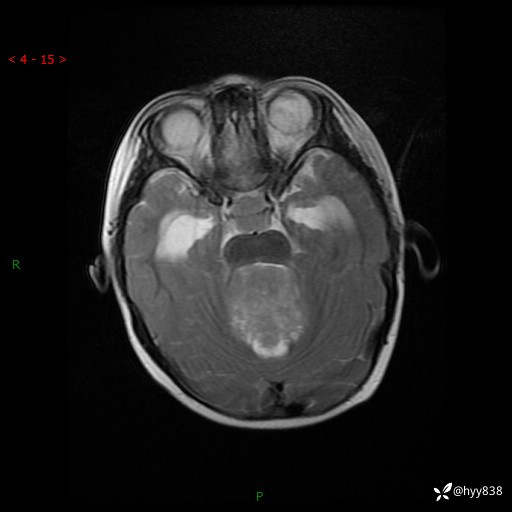
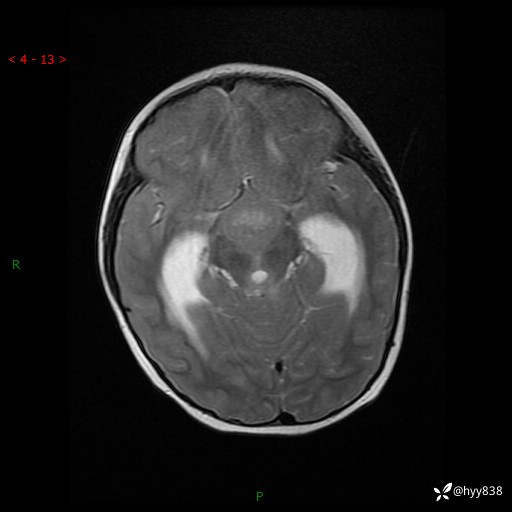
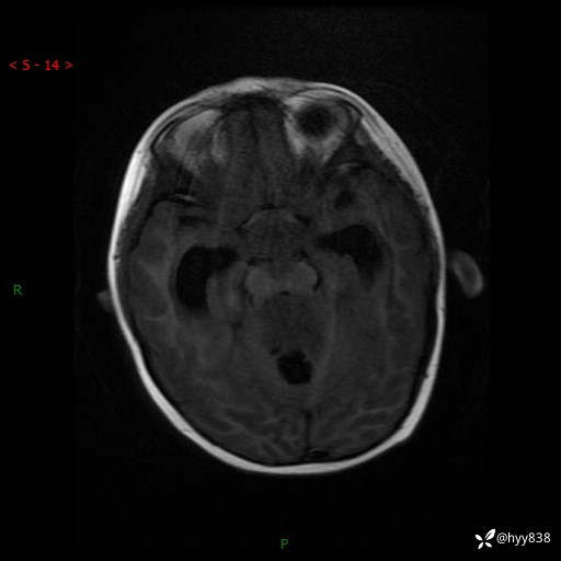
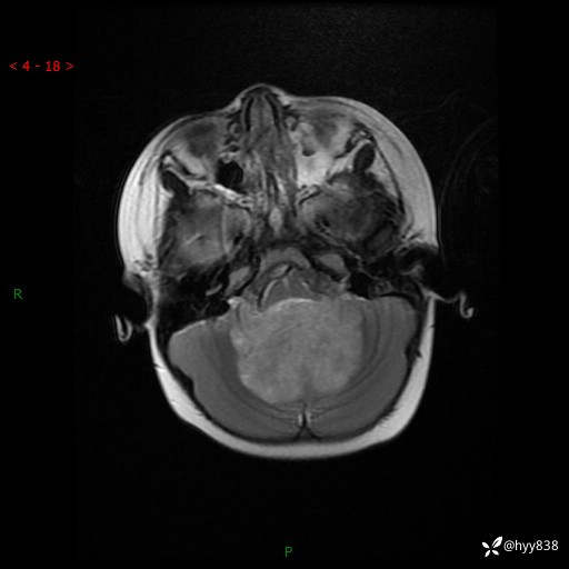
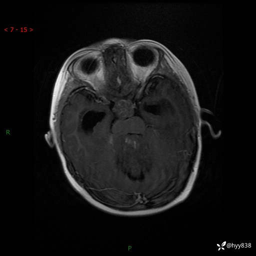
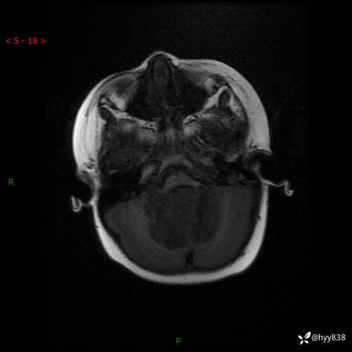
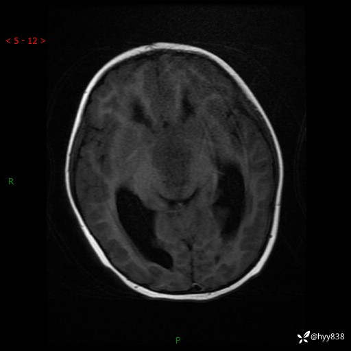
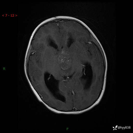
颅脑MRI平扫+增强

img


img


img


img


img


img


img


img


img


img


img


img


img


img


img


img


img


img


img


img


img


img


问题讨论

三脑室、四脑室多发病变,如何分析?

髓母细胞瘤 (13)
脑髓母细胞瘤 (2)
纠错
27 4 11
同行评议(0)
已评议
不开通精选
开通精选
精选已授权,待上线
评议结果暂未公布
参与评议
去邀请
NaN
病例完整NaN
临床实用NaN
诊疗科学NaN
学术价值NaN

全部讨论(0)

默认最新
avatar
27
分享帖子
share-weibo分享到微博
share-weibo分享到微信
认证
返回顶部