不到2岁小女孩,左下肢跛行1月。白班偶遇,经典分享---(有结果)
骨科刘宇飞 等 4 位达人已点赞病例信息
性别:女
年龄:17月
主诉:左下肢跛行1月
现病史:患儿1月前无明显诱因出现左下肢跛行,伴左膝关节红肿,无发热、咳嗽、恶心、呕吐等症,于当地医院就诊行X线片未提示异常,今至我院门诊就诊,门诊医师拟“跛行待查”收入院。 病后,患儿精神、食欲可,睡眠欠安,大小便通畅,体力体重无明显下降。
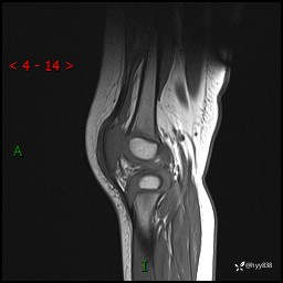
左膝MRI平扫





















骨科刘宇飞 等 4 位达人已点赞病例信息
性别:女
年龄:17月
主诉:左下肢跛行1月
现病史:患儿1月前无明显诱因出现左下肢跛行,伴左膝关节红肿,无发热、咳嗽、恶心、呕吐等症,于当地医院就诊行X线片未提示异常,今至我院门诊就诊,门诊医师拟“跛行待查”收入院。 病后,患儿精神、食欲可,睡眠欠安,大小便通畅,体力体重无明显下降。
左膝MRI平扫





















