小女孩,发现左大腿肿物3天。信号很有特征,能否“一击而中”---结果公布~
胡志勇HZY 等 2 位达人已点赞病例信息
性别:女
年龄:8岁
主诉:发现左大腿肿物3天
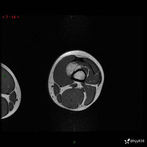
现病史:患儿3天前无意中被发现其左大腿有一包块,约鸡蛋大小,包块表面皮肤无红肿、触痛,无发热、破溃等,患儿家属当时未做特殊处理,经观察发现包块未见消退,今携患儿来我院就诊,门诊医师以“左大腿包块”收入院。 病程中,患儿神清,精神可,饮食睡眠正常,大小便通畅,体力体重无明显改变。
左大腿MRI平扫+增强




























胡志勇HZY 等 2 位达人已点赞病例信息
性别:女
年龄:8岁
主诉:发现左大腿肿物3天
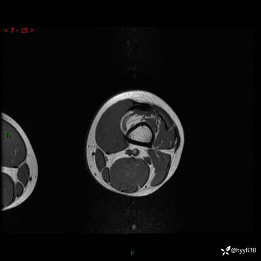
现病史:患儿3天前无意中被发现其左大腿有一包块,约鸡蛋大小,包块表面皮肤无红肿、触痛,无发热、破溃等,患儿家属当时未做特殊处理,经观察发现包块未见消退,今携患儿来我院就诊,门诊医师以“左大腿包块”收入院。 病程中,患儿神清,精神可,饮食睡眠正常,大小便通畅,体力体重无明显改变。
左大腿MRI平扫+增强




























