67岁老年人,双下肢痛入院后高热不退,是何原因?已公布结果。
患者性别:女
患者年龄:67岁
主诉:双下肢痛,既往有颈椎间盘手术史,糖尿病史。
简要病史:入院时体温37.1度,入院后第2天体温39-40度,白细胞17x10'12/L
胸片如下:

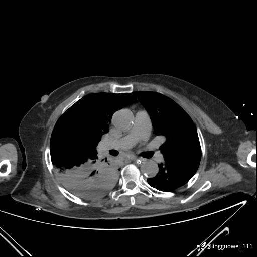
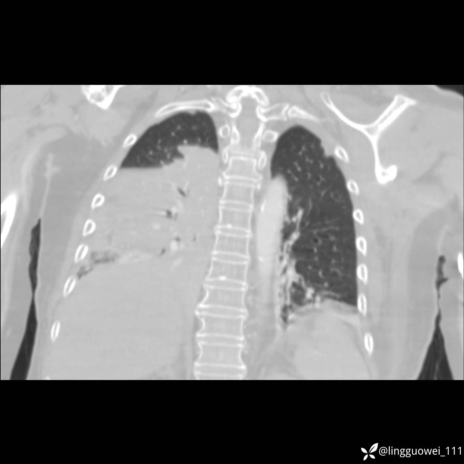
CT平扫:








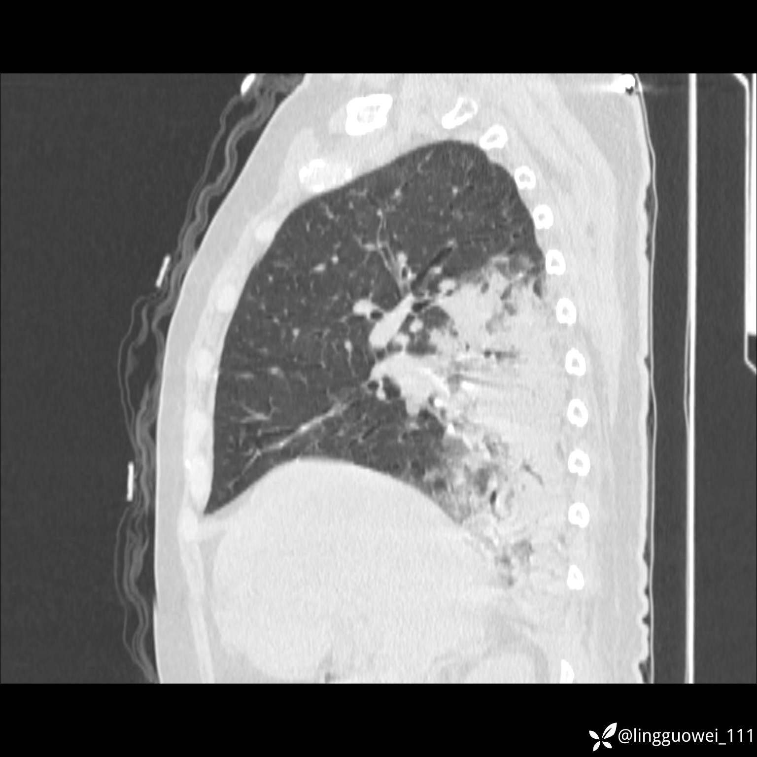
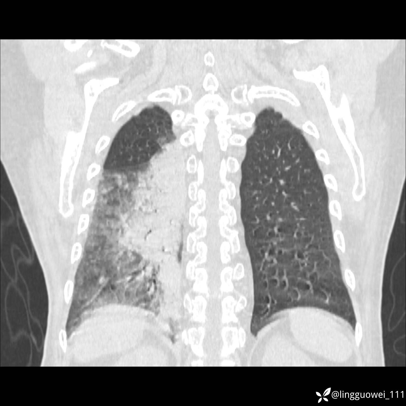
20小时后,行胸部增强检查,病灶范围较前增大









患者性别:女
患者年龄:67岁
主诉:双下肢痛,既往有颈椎间盘手术史,糖尿病史。
简要病史:入院时体温37.1度,入院后第2天体温39-40度,白细胞17x10'12/L
胸片如下:

CT平扫:








20小时后,行胸部增强检查,病灶范围较前增大









