【神经】特别精彩病例|老年人,头痛、神志异常、行走不稳3周,等您来解读
呱呱叫了 等 3 位达人已点赞病例信息
患者性别:男
患者年龄:65岁
简要病史:头痛、神志异常、行走不稳3周
实验室检查:未见明显异常
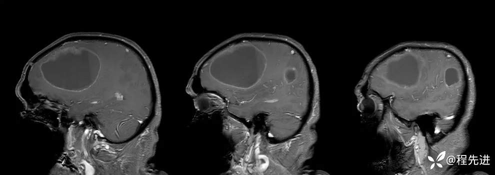
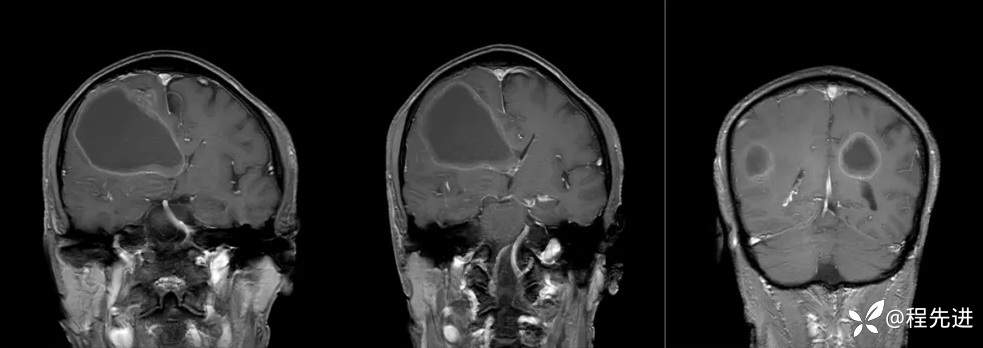
MRI平扫+增强:
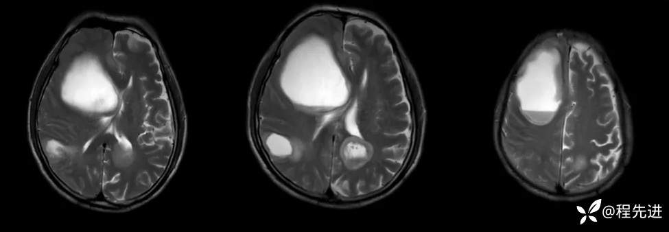
T2:

FLAIR:

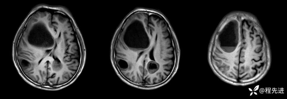
T1:

T1增强:



期待您的点赞支持!
期待您的精彩解读!
呱呱叫了 等 3 位达人已点赞病例信息
患者性别:男
患者年龄:65岁
简要病史:头痛、神志异常、行走不稳3周
实验室检查:未见明显异常
MRI平扫+增强:
T2:

FLAIR:

T1:

T1增强:



期待您的点赞支持!
期待您的精彩解读!
