【面颈】特别精彩病例|老年人鼻咽占位期待您的精彩解读!|病理已公布
呱呱叫了 等 4 位达人已点赞患者性别:男
患者年龄:89岁
主诉:鼻塞1月余
现病史:患者1月余前无明显诱因下出现鼻赛,后逐渐加重伴鼻腔分泌物增多,清水样为主,偶见涕中带血,检查发现鼻咽腔占位。病程中,患者无畏寒发热,无咳嗽咳痰,无胸闷胸痛气喘,无腹痛腹泻,食纳睡眠可,二便正常,近期体重无明显减轻
既往史:双耳听力障碍1年余,近期未有加重
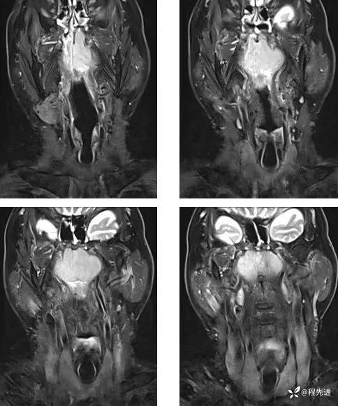
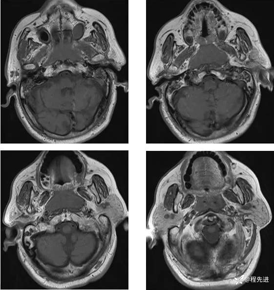
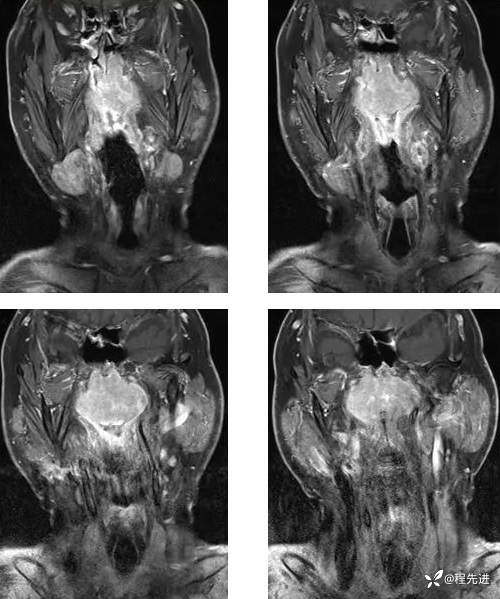
MR平扫+增强:
T2:



T1:

DWI、ADC:

T1增强:



期待您的精彩解读!
呱呱叫了 等 4 位达人已点赞患者性别:男
患者年龄:89岁
主诉:鼻塞1月余
现病史:患者1月余前无明显诱因下出现鼻赛,后逐渐加重伴鼻腔分泌物增多,清水样为主,偶见涕中带血,检查发现鼻咽腔占位。病程中,患者无畏寒发热,无咳嗽咳痰,无胸闷胸痛气喘,无腹痛腹泻,食纳睡眠可,二便正常,近期体重无明显减轻
既往史:双耳听力障碍1年余,近期未有加重
MR平扫+增强:
T2:



T1:

DWI、ADC:

T1增强:



期待您的精彩解读!
