dxy logo
首页丁香园病例库全部版块
搜索
登录

老年人大腿软组织肿块,如何定性?已公布结果。

影像核医学版版主 · 发布于 2023-06-05 · IP 广东广东
8626 浏览
推荐、达人点赞 2 项荣誉
这个帖子发布于 2 年零 172 天前,其中的信息可能已发生改变或有所发展。

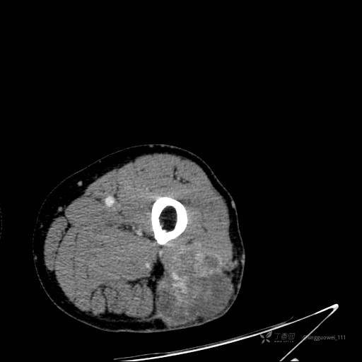
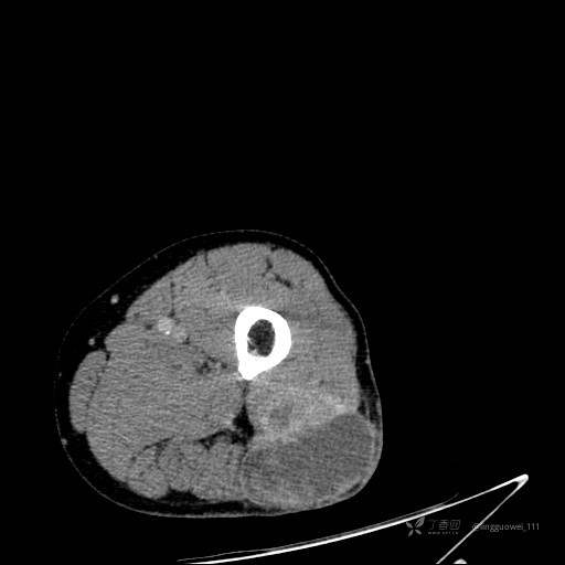
患者性别:男,85岁。发现大腿软组织肿块1年,增大3月,良性还是恶性?只有CT,能诊断正确吗?

注:参与讨论发言才能知道结果。

平扫

img
img

增强动脉期

img
img

静脉期:

img
img

延迟期:

img
img

MPR:

img
img
img
img
恶性肿瘤 (160)
纤维肉瘤 (21)
纠错
305 27 18
同行评议(0)
已评议
不开通精选
开通精选
精选已授权,待上线
评议结果暂未公布
参与评议
去邀请
NaN
病例完整NaN
临床实用NaN
诊疗科学NaN
学术价值NaN

全部讨论(0)

默认最新
avatar
305
分享帖子
share-weibo分享到微博
share-weibo分享到微信
认证
返回顶部