【腹盆】特别精彩病例|老年人,便血半年,直肠腔内外肿块期待您的精彩解读!
呱呱叫了 等 2 位达人已点赞病例信息
患者性别:女
患者年龄:75岁
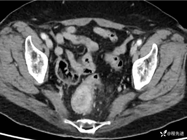
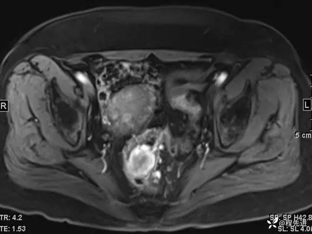
简要病史:便血半年
辅助检查:结肠镜检查:至肛缘10cm见一5cm肿块,亚蒂,推之活动欠佳。超声肠镜提示结肠粘膜下肿块
CT平扫:

CT增强:

MRI平扫+增强:
T2:

T2矢状位:

DWI、ADC:


T1增强:



期待您的点赞支持!
期待您的精彩解读!
呱呱叫了 等 2 位达人已点赞病例信息
患者性别:女
患者年龄:75岁
简要病史:便血半年
辅助检查:结肠镜检查:至肛缘10cm见一5cm肿块,亚蒂,推之活动欠佳。超声肠镜提示结肠粘膜下肿块
CT平扫:

CT增强:

MRI平扫+增强:
T2:

T2矢状位:

DWI、ADC:


T1增强:



期待您的点赞支持!
期待您的精彩解读!
