【神经】特别精彩病例|老年人,出现视物重影2月余,鞍区占位期待您的精彩解读!
呱呱叫了 等 3 位达人已点赞病例信息
患者性别:男
患者年龄:74岁
简要病史:出现视物重影2月余,未予重视,2月来症状逐渐加重
实验室检查:无特殊
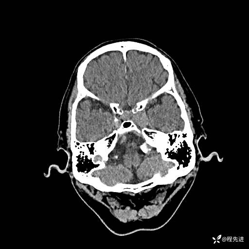
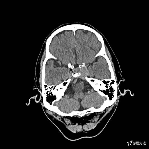
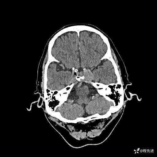
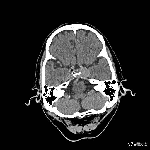
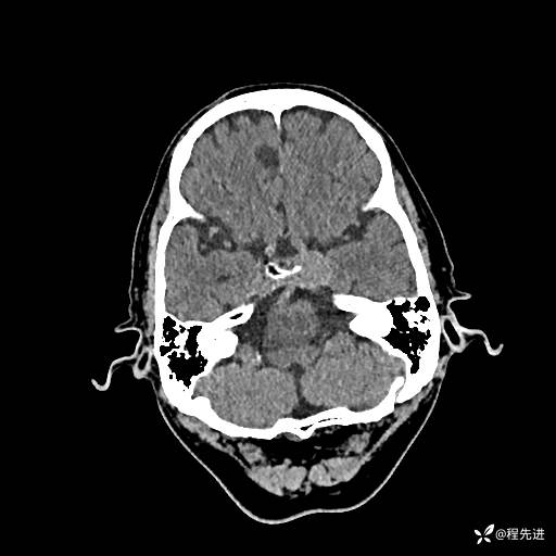
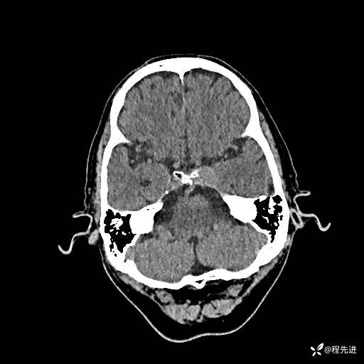
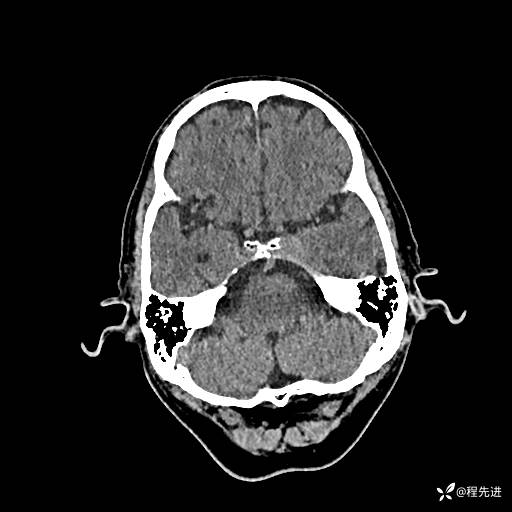
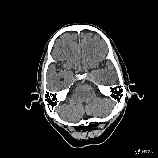
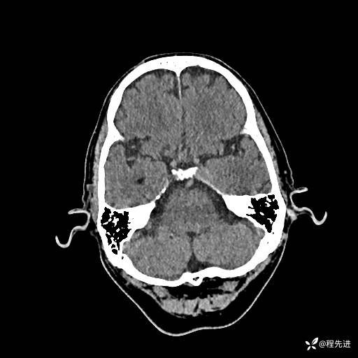
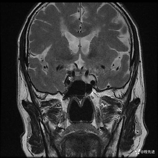
CT平扫:

















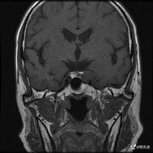
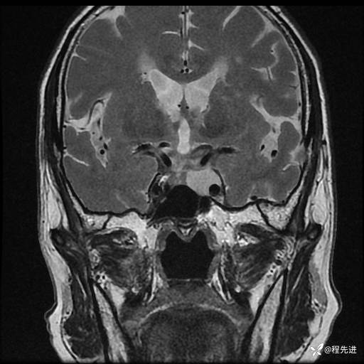
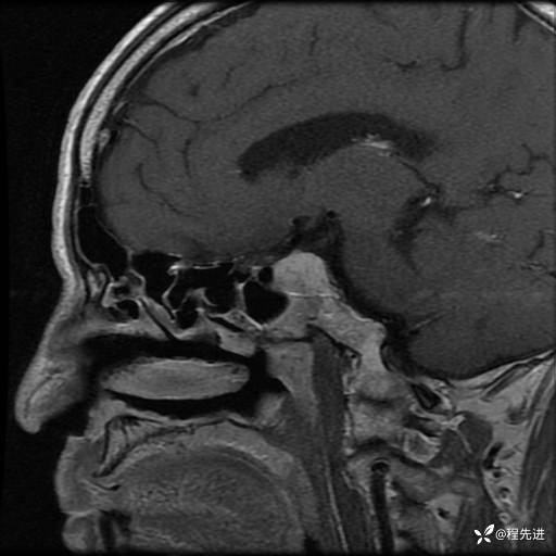
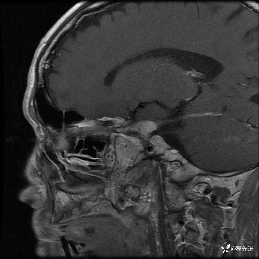
MRI平扫+增强:
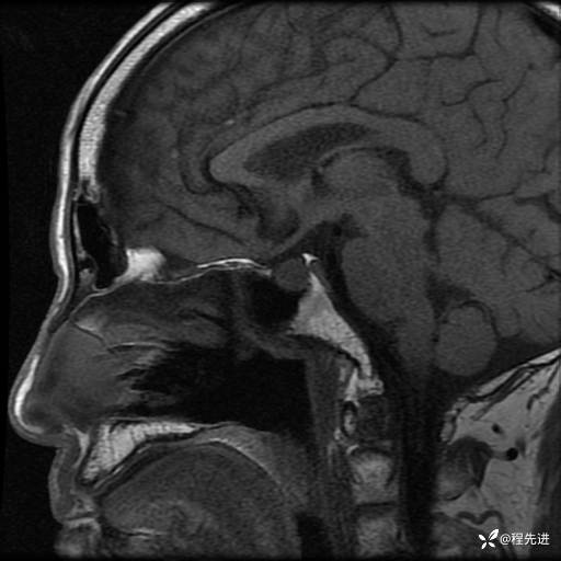
T1:








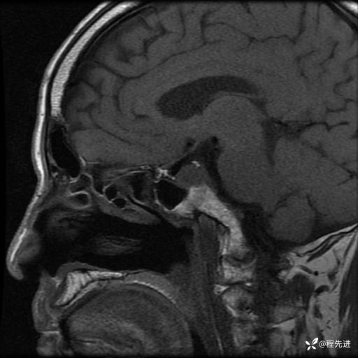
T2:





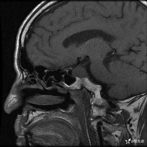
T1增强:










期待您的点赞支持!
期待您的精彩解读!
呱呱叫了 等 3 位达人已点赞病例信息
患者性别:男
患者年龄:74岁
简要病史:出现视物重影2月余,未予重视,2月来症状逐渐加重
实验室检查:无特殊
CT平扫:

















MRI平扫+增强:
T1:








T2:





T1增强:










期待您的点赞支持!
期待您的精彩解读!
