dxy logo
首页丁香园病例库全部版块
搜索
登录

病例一而再、再而三的发生,老年人确实需要细心的关爱和关注---结果公布(纤支镜所见)

影像核医学版版主 · 发布于 2023-12-15 · IP 湖北湖北
1024 浏览
icon华夏览雄 等 2 位达人已点赞
这个帖子发布于 1 年零 345 天前,其中的信息可能已发生改变或有所发展。

患者性别:男

患者年龄:69岁

简要病史:咳嗽咳痰2月,夜间加重

体格检查:(-)

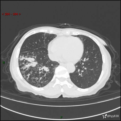
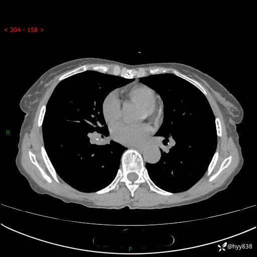
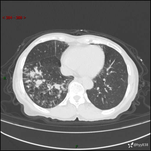
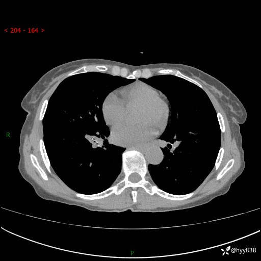
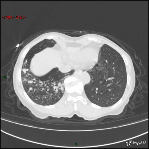
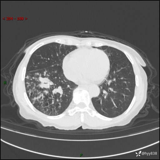
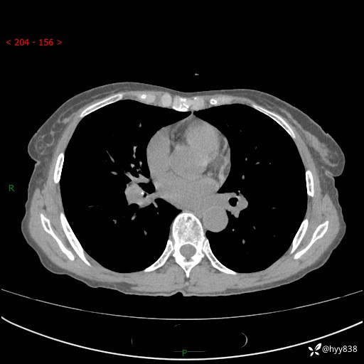
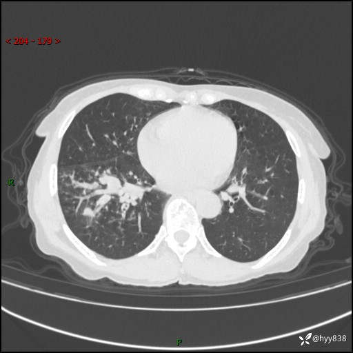
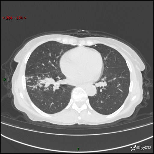
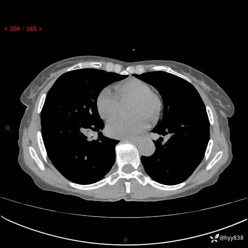
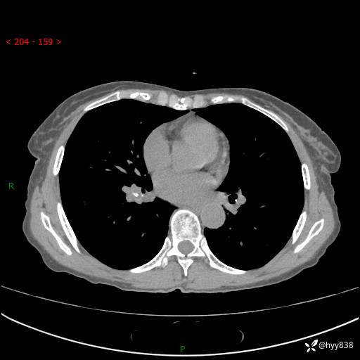
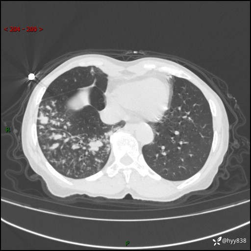
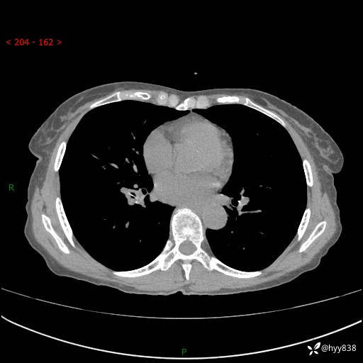
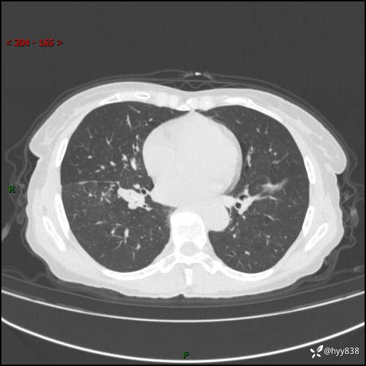
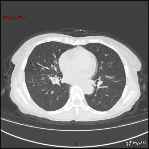
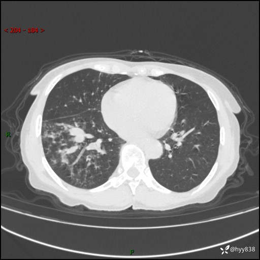
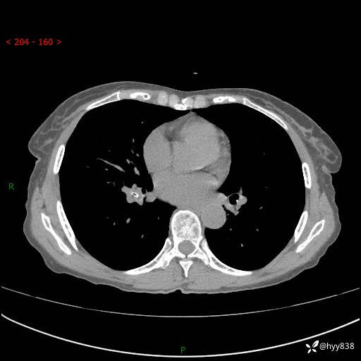
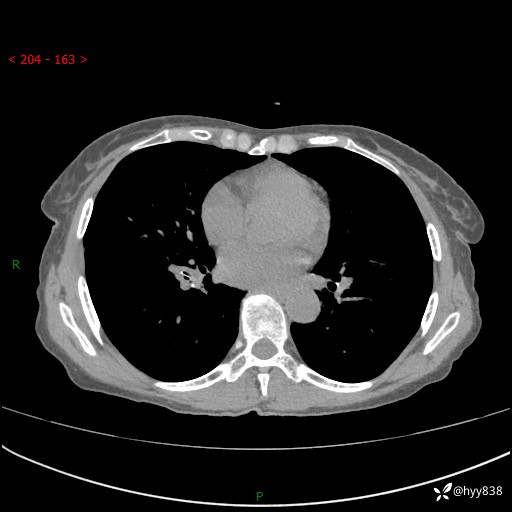
辅助检查:CT

临床诊断:感染

治疗经过:---

讨论:病变性质?、

胸部CT平扫

img
img
img
img
img
img
img
img
img
img
img
img
img
img
img
img
img
img
img
img
img
img
该帖还没有疾病标签去添加
40 1 17
同行评议(0)
已评议
不开通精选
开通精选
精选已授权,待上线
评议结果暂未公布
参与评议
去邀请
NaN
病例完整NaN
临床实用NaN
诊疗科学NaN
学术价值NaN

全部讨论(0)

默认最新
avatar
40
分享帖子
share-weibo分享到微博
share-weibo分享到微信
认证
返回顶部