【面颈】特别精彩病例|老年人,反复咽痛1月余,咽部占位期待您的精彩解读!
呱呱叫了 达人已点赞病例信息
患者性别:女
患者年龄:78岁
简要病史:反复咽痛1月余
辅助检查:电子鼻咽喉镜:1.咽部新生物性质待定:Ca?淋巴瘤?其他?2.慢性喉炎;3.鼻咽炎
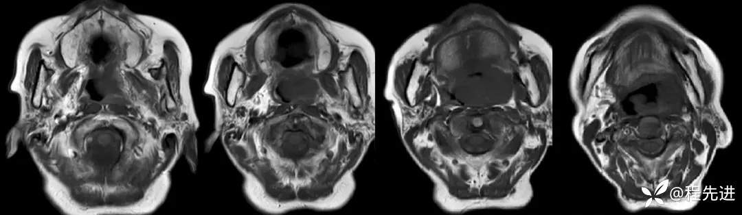
MRI平扫+增强:
T1:

T2:

T2压脂:


T1压脂增强:



期待您的点赞支持!
期待您的精彩解读!
呱呱叫了 达人已点赞病例信息
患者性别:女
患者年龄:78岁
简要病史:反复咽痛1月余
辅助检查:电子鼻咽喉镜:1.咽部新生物性质待定:Ca?淋巴瘤?其他?2.慢性喉炎;3.鼻咽炎
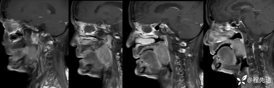
MRI平扫+增强:
T1:

T2:

T2压脂:


T1压脂增强:



期待您的点赞支持!
期待您的精彩解读!
