【腹盆】特别精彩病例|老年人,下腹痛伴发热半月余,生殖道占位期待您的精彩解读!
呱呱叫了 等 2 位达人已点赞病例信息
患者性别:女
患者年龄:76岁
简要病史:下腹痛伴发热半月余
实验室检查:肿瘤指标均正常
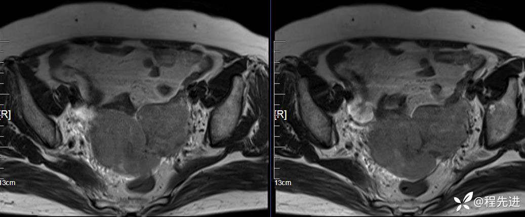
MRI平扫:
T2压脂:













T2:



T1:



DWI、ADC:






期待您的点赞支持!
期待您的精彩解读!
呱呱叫了 等 2 位达人已点赞病例信息
患者性别:女
患者年龄:76岁
简要病史:下腹痛伴发热半月余
实验室检查:肿瘤指标均正常
MRI平扫:
T2压脂:













T2:



T1:



DWI、ADC:






期待您的点赞支持!
期待您的精彩解读!
