【影诊笔记677】查体发现胰腺占位性病变1周,细节决定成败,请诊断分析!
谜影寻踪-udwen 推荐男,76岁
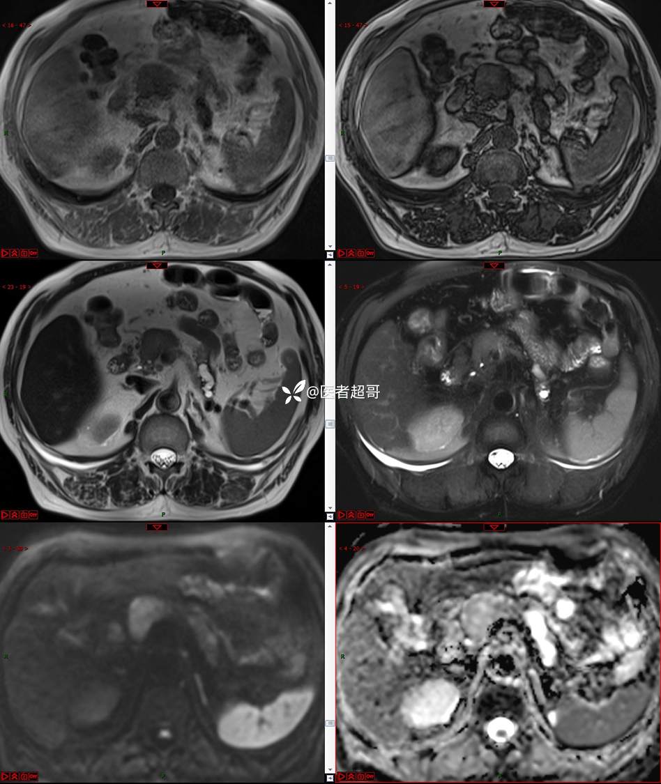
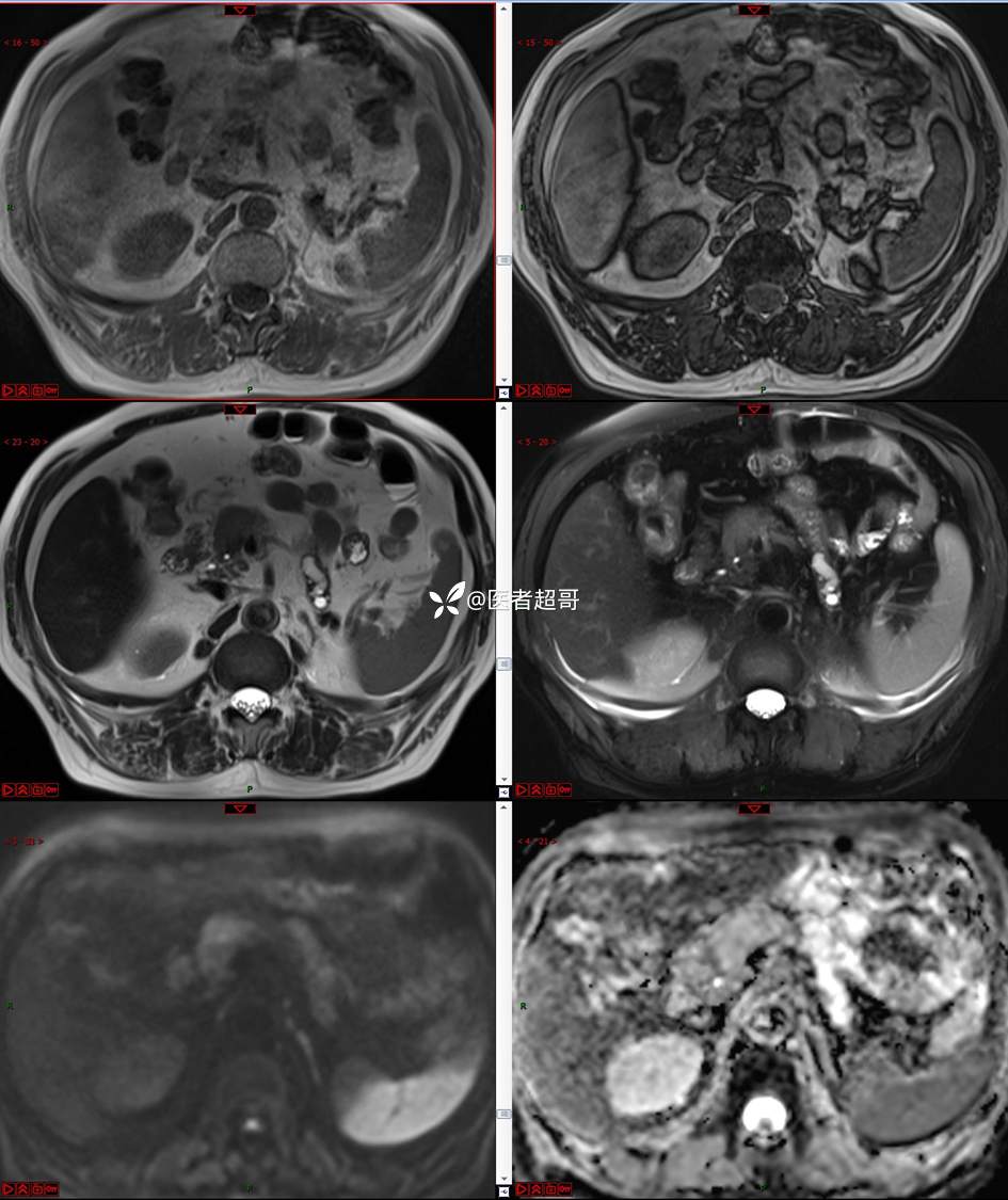
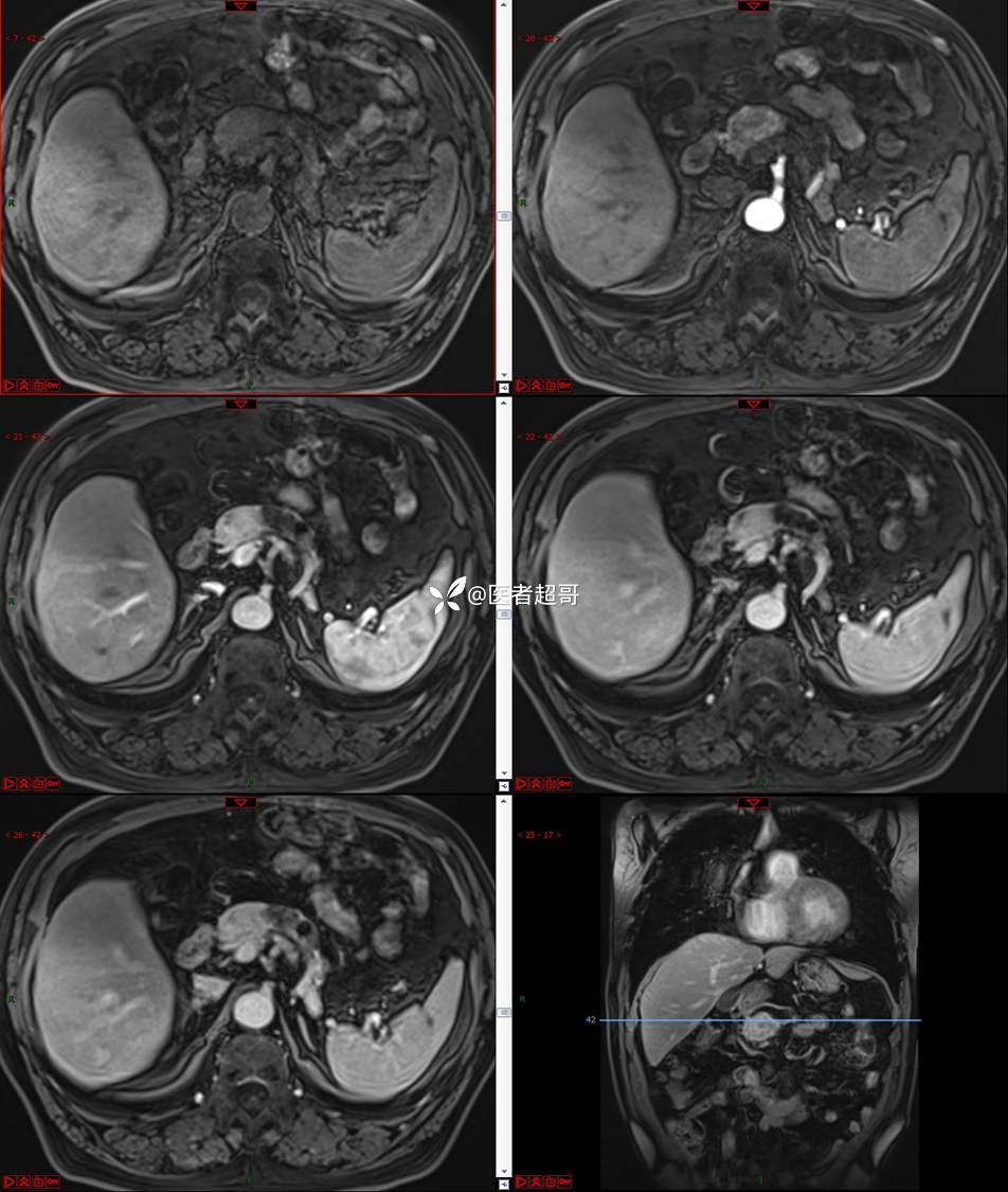
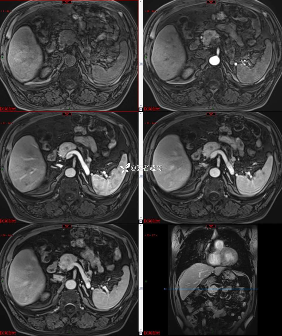
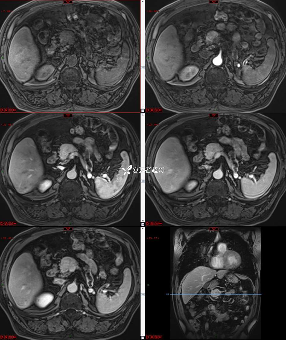
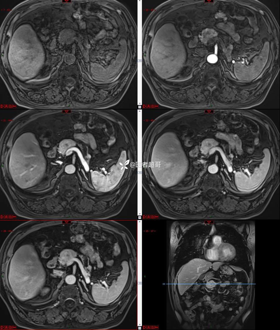
主 诉:查体发现胰腺占位性病变1周。
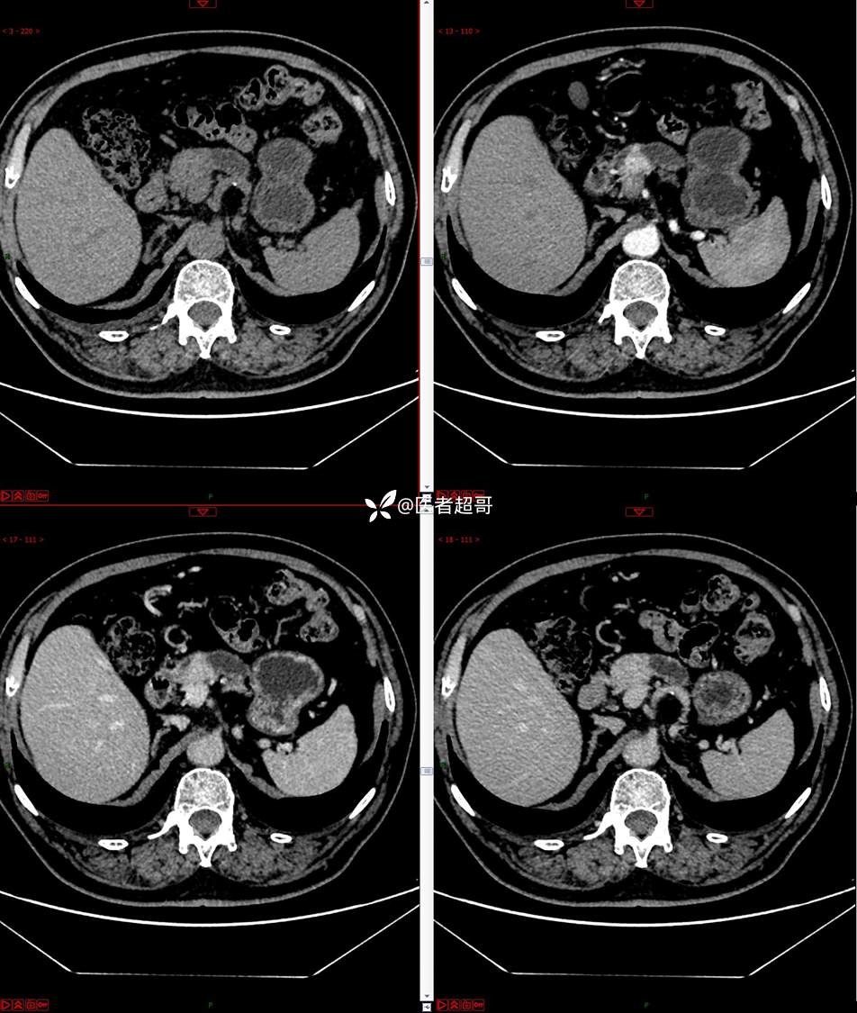
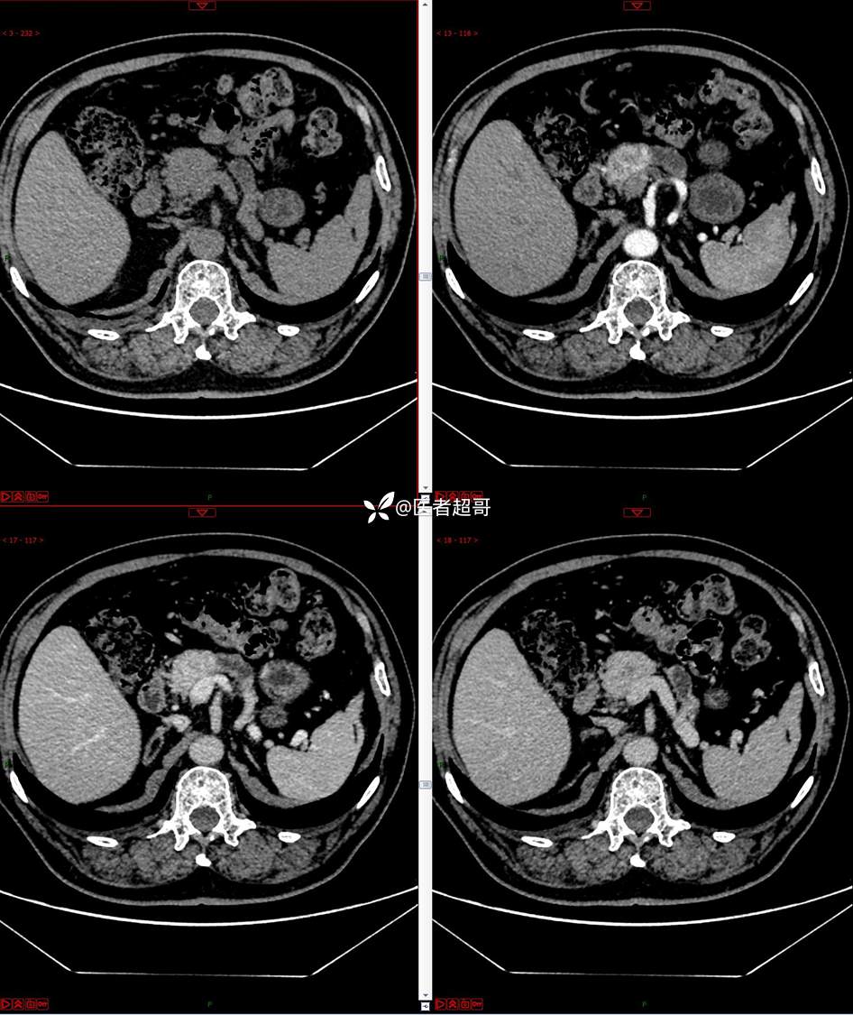
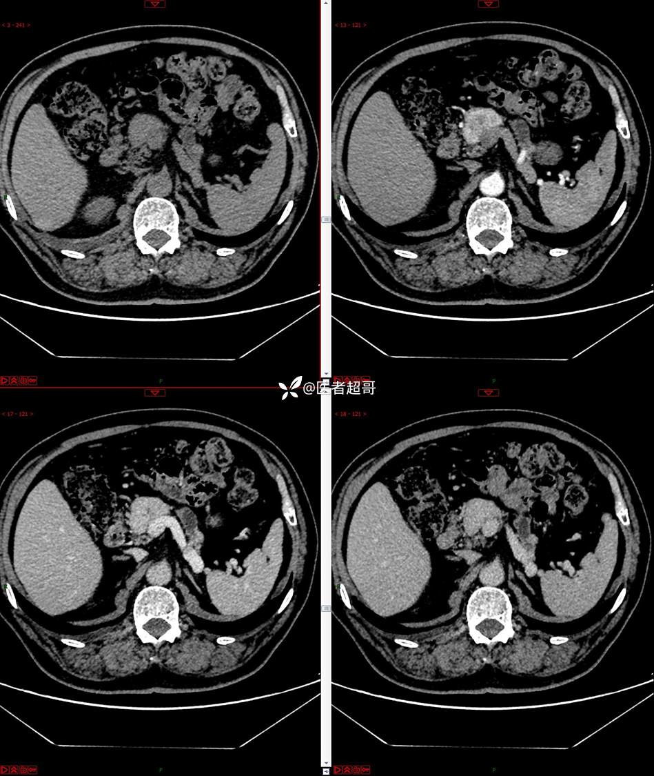
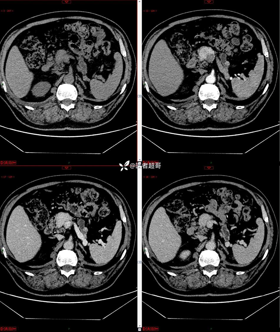
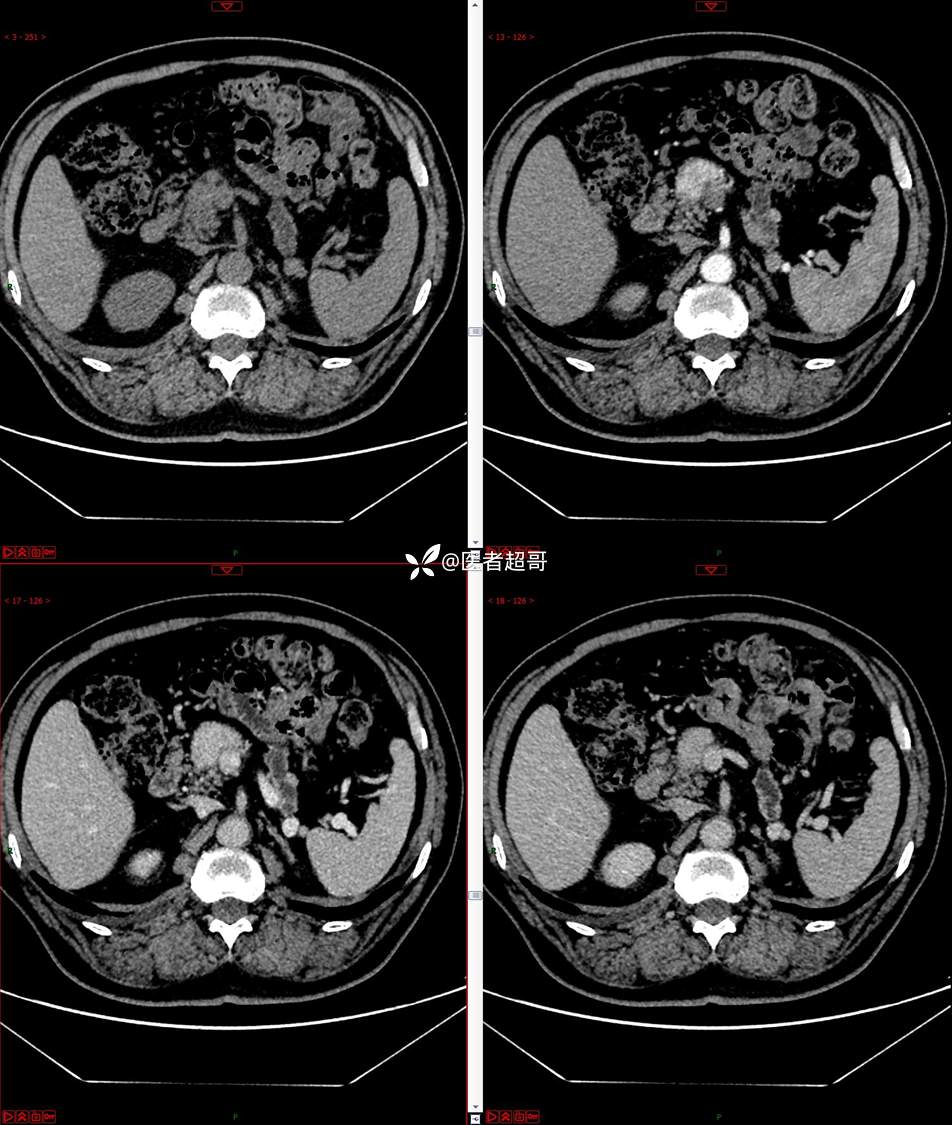
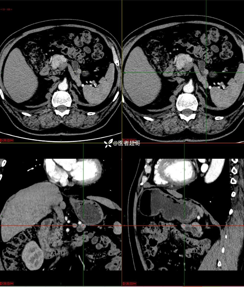
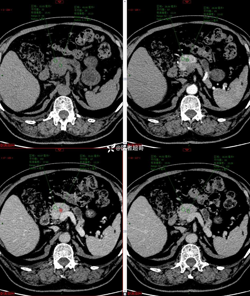
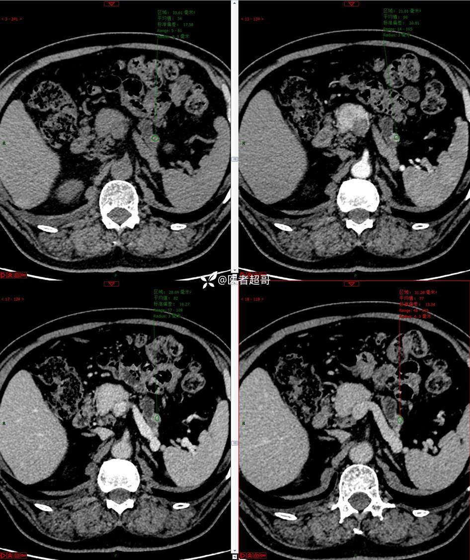
现病史:患者1周前在当地查体时发现胰腺占位性病变,无恶心、呕吐,无腹痛,无寒战、高热,无咳嗽、咳痰等异常不适,来我院门诊查上腹部CT平扫+强化:胰腺尾部异常密度灶。今为求进一步治疗,门诊以“胰腺占位性病变”收入院。患者自发病以来,一般情况可,神志清,精神可,普通饮食,二便正常,体重及体力无明显改变。
既往史:既往糖尿病病史2年,口服二甲双胍早晚各一片和格列吡嗪早晚各一片,否认高血压、心脑血管病等疾病史,否认肝炎、结核或其他传染病史及密切接触史,预防接种史不详,否认药物及食物过敏史,否认外伤史,12年前肾癌切除术手术史,否认输血史,其它无特殊。
个人史:生于原籍,否认冶游史,无职业及毒物暴露史,无烟酒等不良嗜好。


































































