dxy logo
首页丁香园病例库全部版块
搜索
登录

病例儿童肱骨髁上骨折闭合复位克氏针内固定

骨科版达人 · 发布于 2024-02-20 · 来自 Android · IP 广西广西
2657 浏览
推荐、达人点赞 2 项荣誉
这个帖子发布于 1 年零 275 天前,其中的信息可能已发生改变或有所发展。

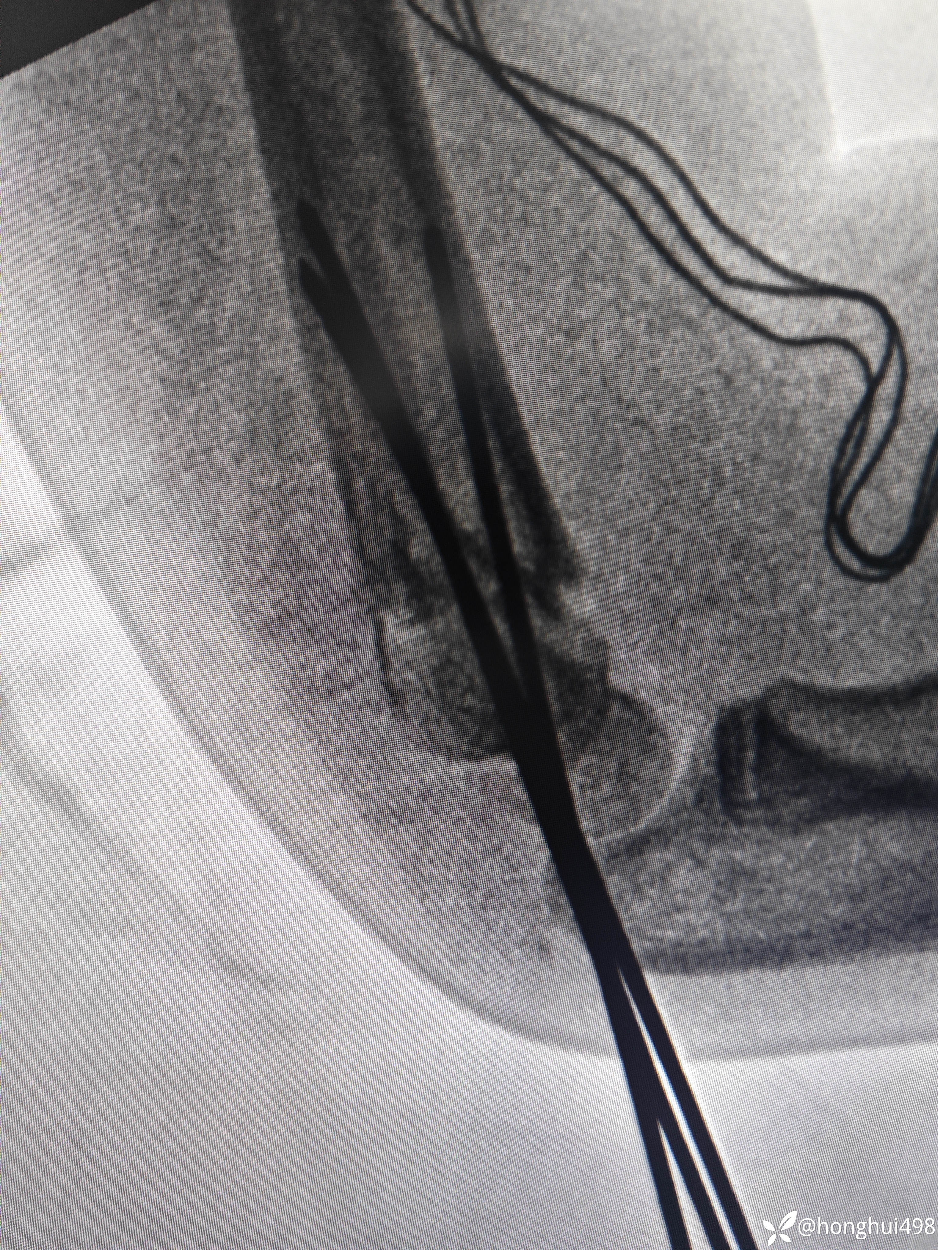
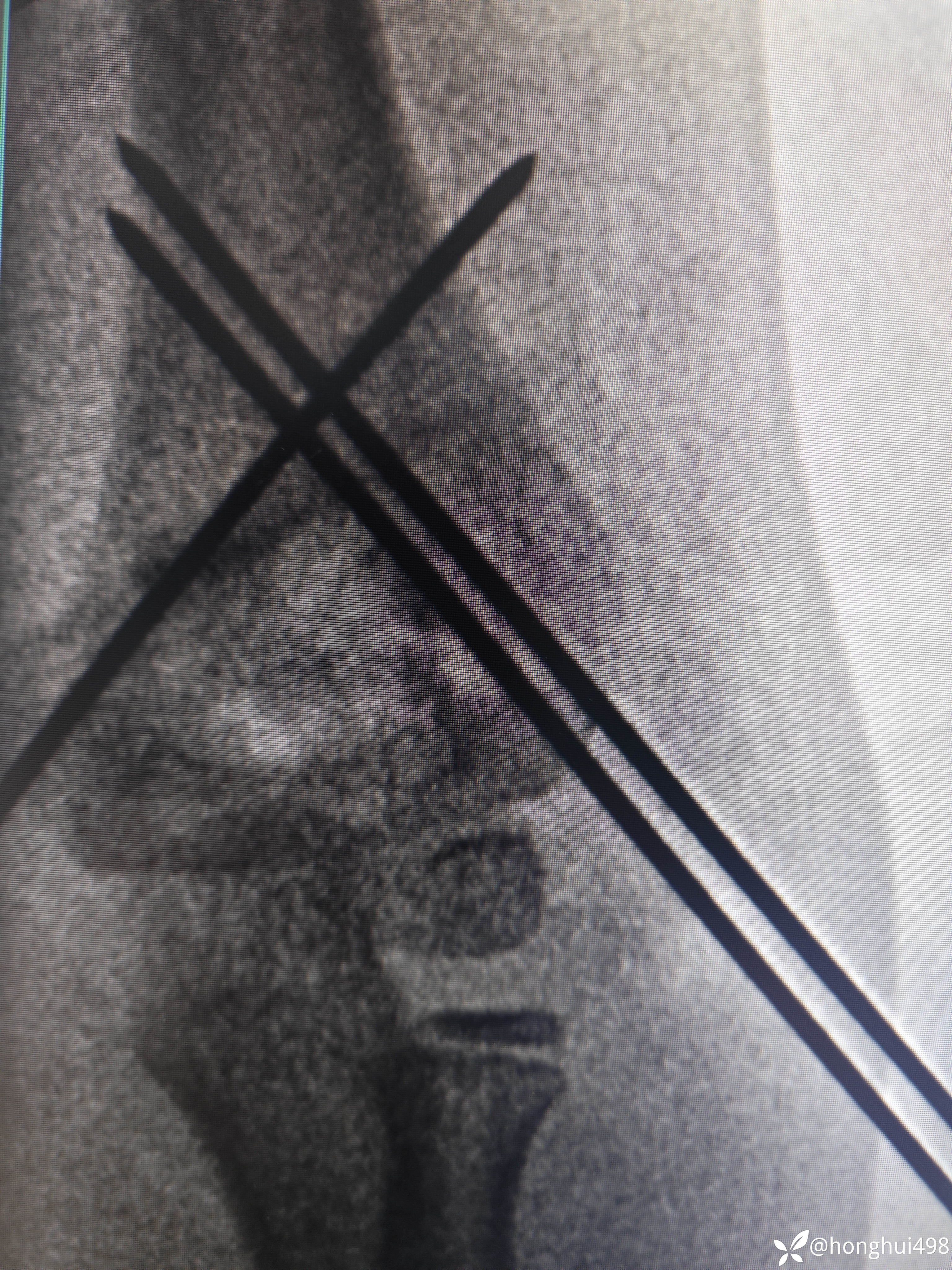
患儿女性,6岁,昨晚8点在家玩耍摔倒受伤,右肱骨髁上骨折。伤后在当地予手法复位草药外敷,伤后15小时来我院就诊,住院麻醉下闭合复位克氏针内固定。

img


img


img

仅专业人士可见


img


img


img


img


img


img
肱骨髁上骨折 (223)
纠错
13 3 14
同行评议(0)
已评议
不开通精选
开通精选
精选已授权,待上线
评议结果暂未公布
参与评议
去邀请
NaN
病例完整NaN
临床实用NaN
诊疗科学NaN
学术价值NaN

全部讨论(0)

默认最新
avatar
13
分享帖子
share-weibo分享到微博
share-weibo分享到微信
认证
返回顶部