病例讨论:儿童骨折为什么要规范化治疗。
患者性别:男
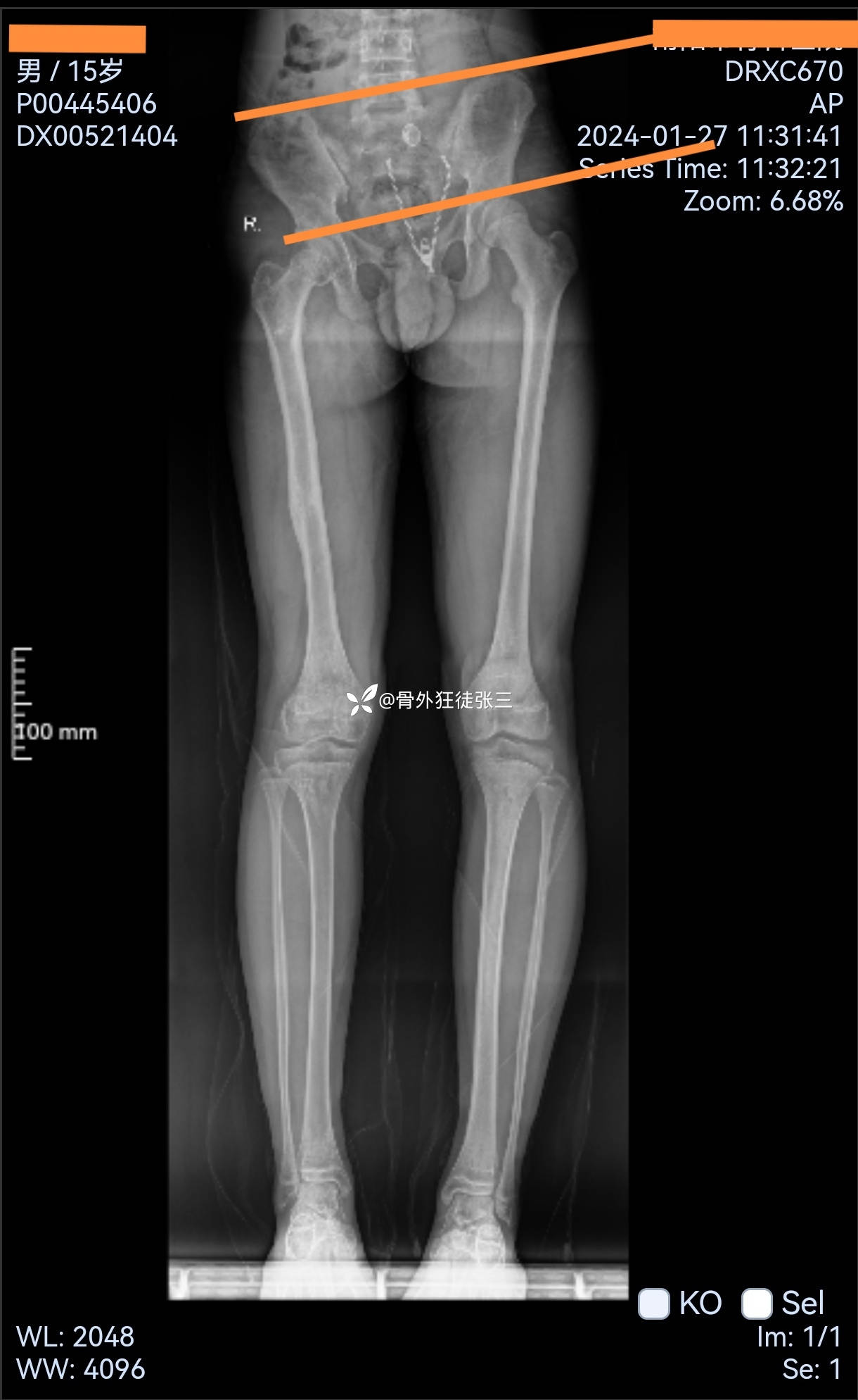
患者年龄:15岁
主诉:右下肢骨折术后肢体短缩2年。
简要病史:
2年前因“右股骨干骨折”在当地医院行“弹性髓内针+外架+石膏固定术”术后半年拆外架,1年拆弹性髓内针。目前左下肢短缩约4cm,为求治疗来院。
辅助检查:





讨论:
一,患侧发育延迟,原因?
损伤导致?外架阻滞原因?
二,处理时机?
1,目前处理,骨骺尚未愈合,好处是,预防骨盆倾斜、脊柱截侧弯,单边外架骨搬移?
缺点就是,后期可能拆了外架以后,再次短缩。
2,等骨骺完全闭合再截骨搬移,脊柱可能畸形。得不偿失
















































