dxy logo
首页丁香园病例库全部版块
搜索
登录

规培和研究生教学片:经典病例,平片+CT+MRI---结果公布~

影像核医学版版主 · 发布于 2024-02-13 · IP 湖北湖北
1892 浏览
icon胡志勇HZY 达人已点赞
这个帖子发布于 1 年零 285 天前,其中的信息可能已发生改变或有所发展。

患者性别:男

患者年龄:60岁

主诉:右大腿疼痛不适数月

体格检查:(-)

辅助检查:平片 CT MRI

临床诊断:疼痛

治疗经过:手术

讨论:病变性质?

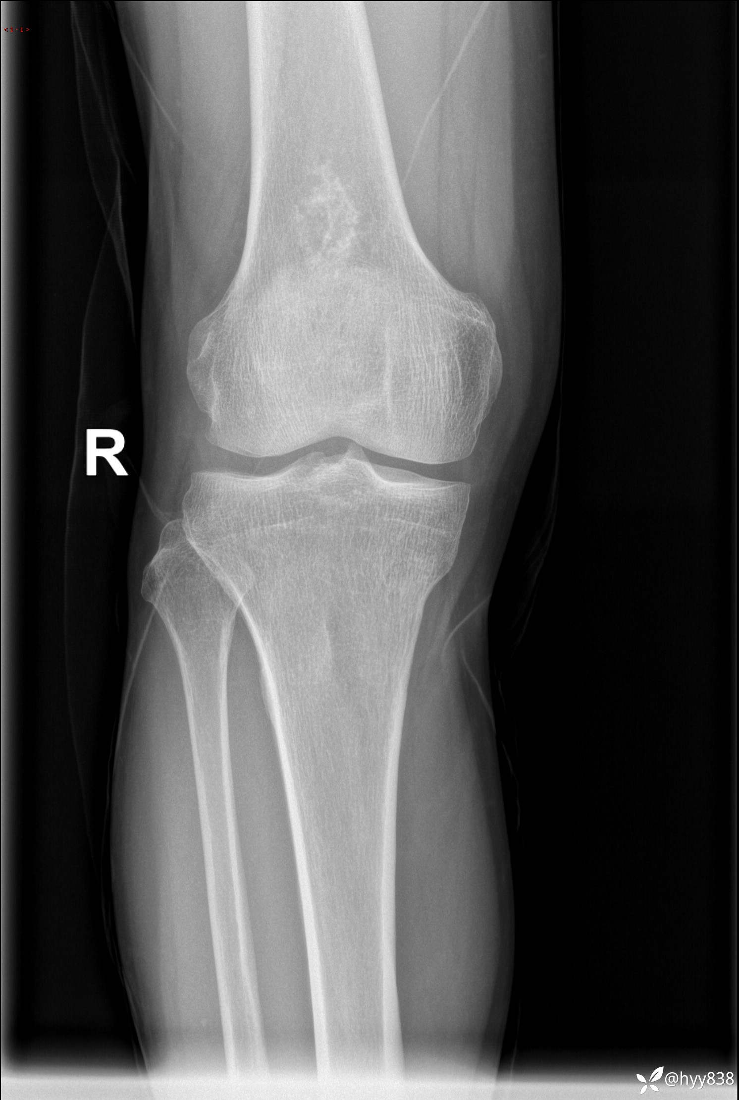
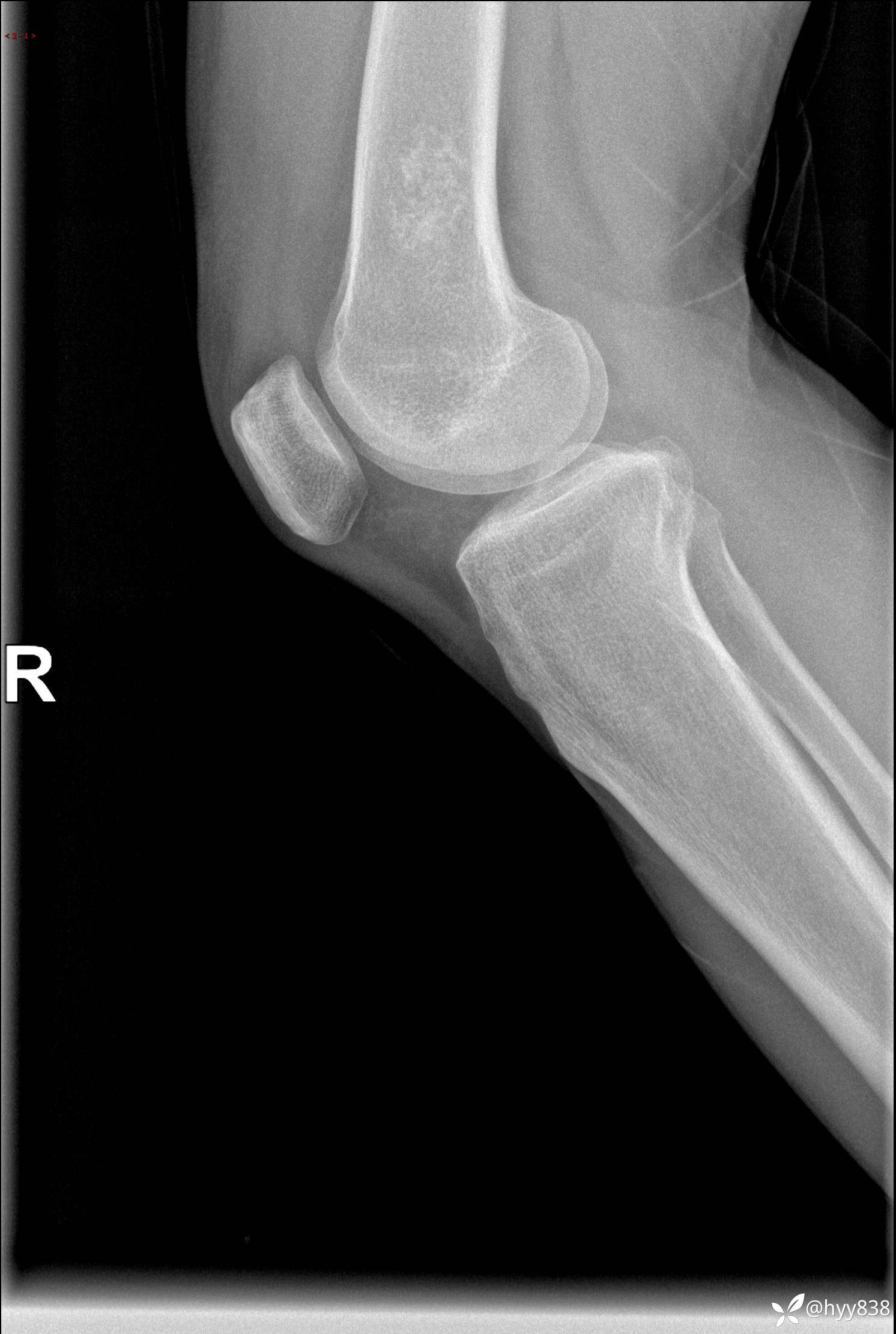
膝关节平片

img
img

CT

img
img
img
img
img
img
img

MRI

img
img
img
img
img
img
img
img
img
内生软骨瘤 (27)
纠错
25 3 16
同行评议(0)
已评议
不开通精选
开通精选
精选已授权,待上线
评议结果暂未公布
参与评议
去邀请
NaN
病例完整NaN
临床实用NaN
诊疗科学NaN
学术价值NaN

全部讨论(0)

默认最新
avatar
25
分享帖子
share-weibo分享到微博
share-weibo分享到微信
认证
返回顶部