dxy logo
首页丁香园病例库全部版块
搜索
登录

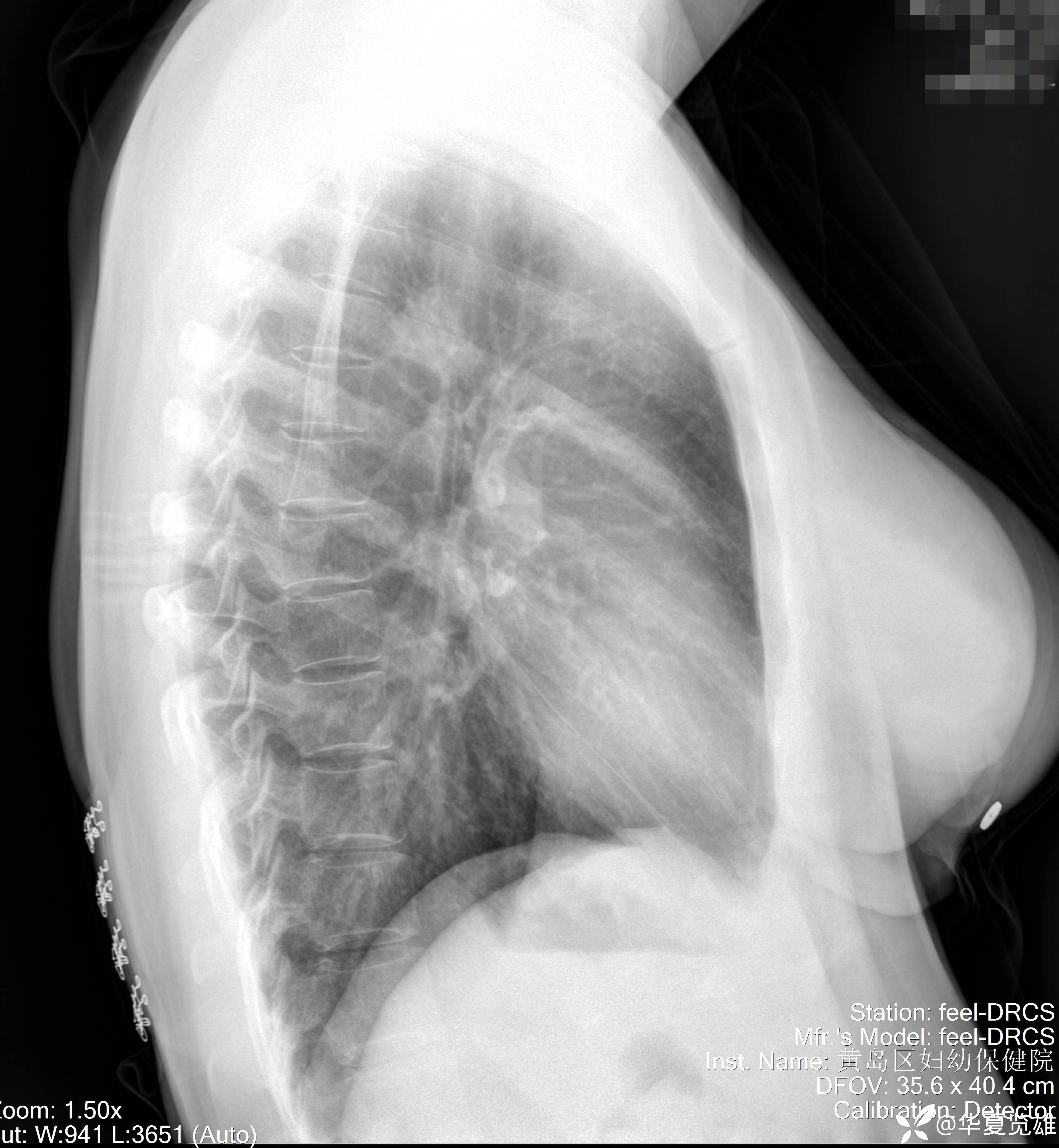
平片与CT:有无异常?公说公有理,婆说婆有理,到底谁在理,还得看CT.

心情驿站版达人 · 发布于 2024-01-10 · IP 山东山东
7830 浏览
推荐、达人点赞 2 项荣誉
这个帖子发布于 1 年零 319 天前,其中的信息可能已发生改变或有所发展。

患者性别:女

患者年龄:41岁

主诉及简要病史:人工流产前查体。


体格检查:无异常。

辅助检查:无异常。

问题:

  1. 本例有无异常?
  2. 住院患者入院前后,是选择胸片还是做胸部CT为好?
img
img



该帖还没有疾病标签去添加
138 8 44
同行评议(0)
已评议
不开通精选
开通精选
精选已授权,待上线
评议结果暂未公布
参与评议
去邀请
NaN
病例完整NaN
临床实用NaN
诊疗科学NaN
学术价值NaN

全部讨论(0)

默认最新
avatar
138
分享帖子
share-weibo分享到微博
share-weibo分享到微信
认证
返回顶部