髋部疼痛1月,平片、CT 、MRI,等你来诊---结果公布~
患者性别:女
患者年龄:57岁
主诉:左侧髋部疼痛1月
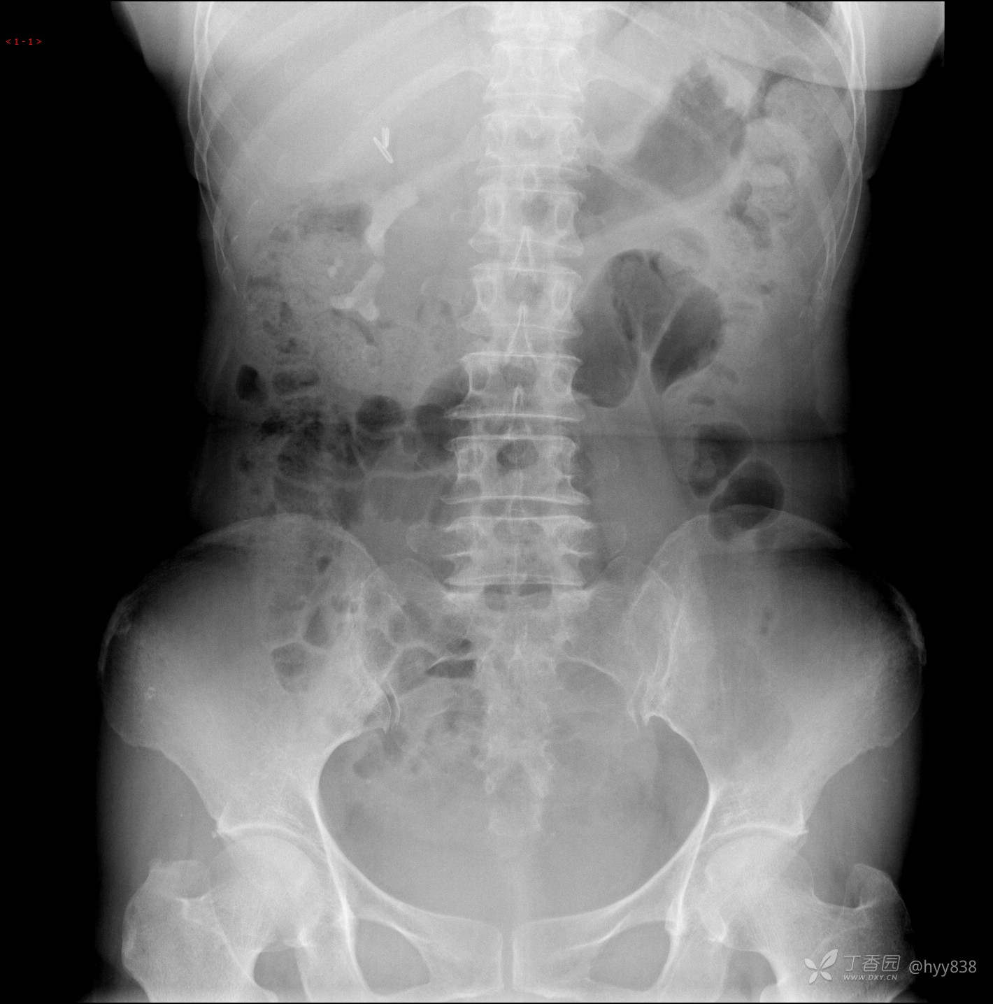
简要病史:患者1月前无明显诱因出现左侧髋部疼痛不适,呈间断性钝痛,不伴有畏寒发热,无恶心,无肉眼血尿,3天前于当地市人民医院检查泌尿系彩超提示:双肾结石(左侧2.7cm,右侧1.0cm)并积水,左肾囊肿,尿常规提示WBC(3+)1105/μL,为求进一步诊治,来我院就诊,我科以“双肾结石并积水,左肾囊肿”收治入院。 起病以来,患者精神、饮食、睡眠可,大便可,小便如上述,体力体重无明显减轻。
体格检查:(-)
辅助检查:平片 CT MRI
临床诊断:髋部疼痛
治疗经过:手术
讨论:病变性质?
平片

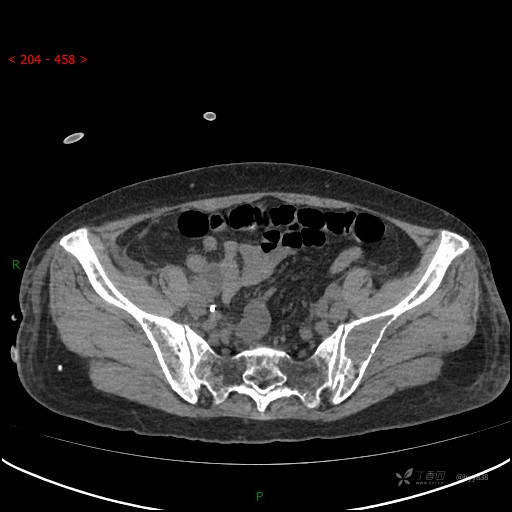
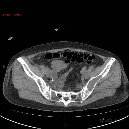
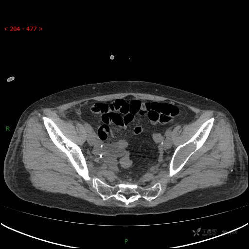
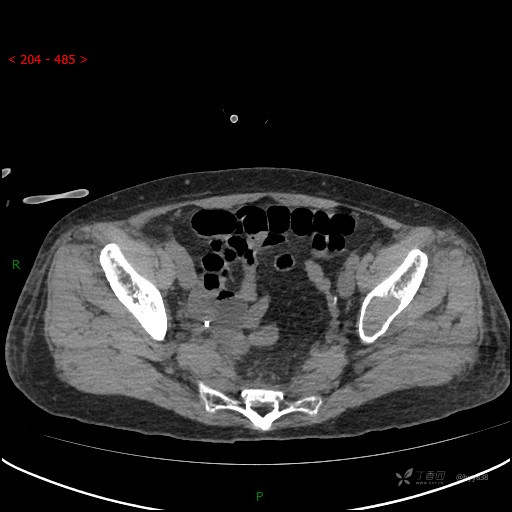
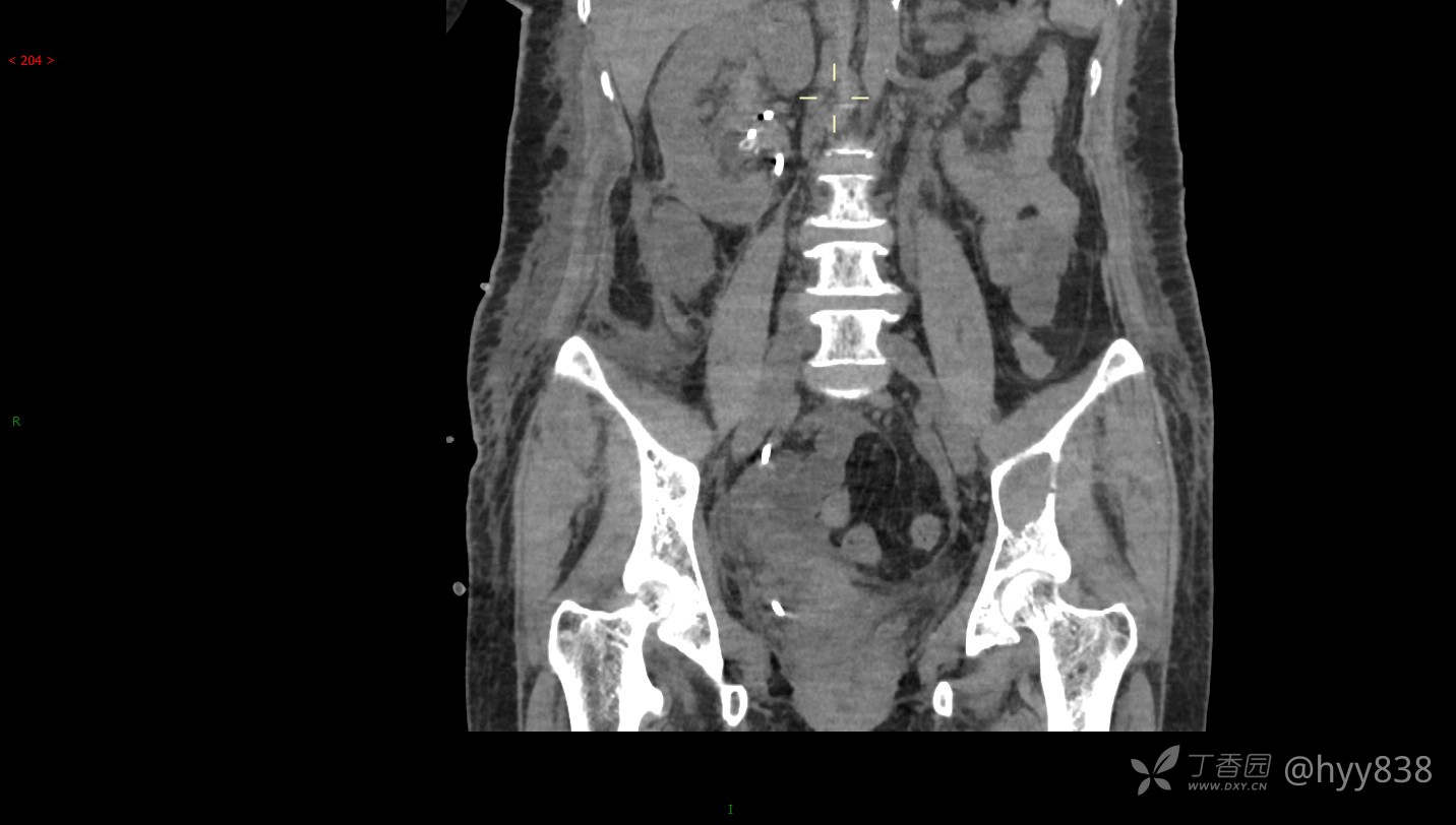
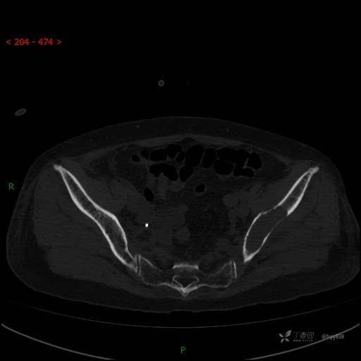
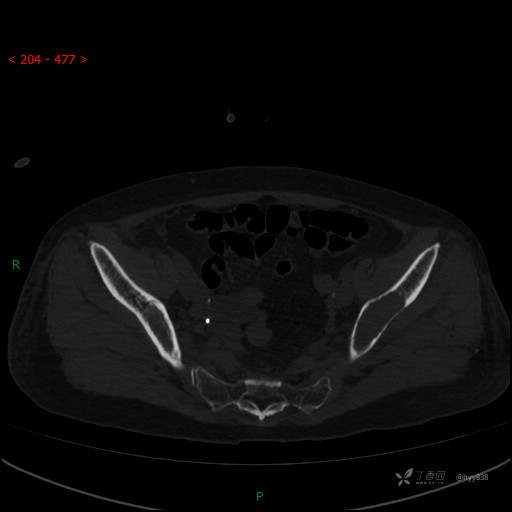
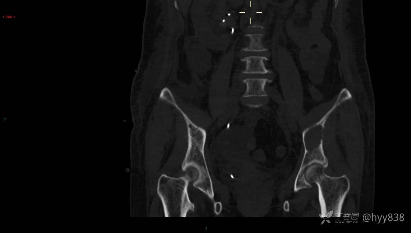
CT平扫









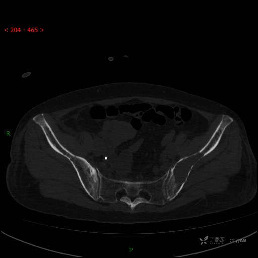
骨窗








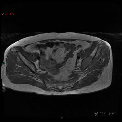
MRI T1WI+T2WI axi


Cor T1WI T2WI -fs


















































