什么是平片、CT的伪影与假象
推荐什么是伪影?
失真、影像/假象。
伪影不仅会降低图像质量,还会影响我们对病变的分析,甚至导致错误判断。
伪影主要分两大类:一类与受检者相关,一类与设备、胶片有关。
伪影的分类
与受检者有关的伪影:
运动伪影
受检者体内/体表高密度组织结构
受检者体内/体表异物/植入物体
设备本身:
射线的强度
图像显示系统
计算机的故障
探测器的电压不稳均
1 运动伪影:
此类伪影的防范
检查前告知到位,可有效减少呼吸运动伪影的发生。对于部分受检者在检查前需要反复训练几次。
对于神志不清和有不自主颤动的,可作适当的外固定或药物控制。所以需要技师一定按要求做好检查前的准备
处置
以上的运动伪影如果其程度影响观察,需去除以后重新扫描,以获取能满足诊断需要的影像。



有躁动、呼吸运动和非自主运动(心跳、胃肠道蠕动)所致的伪影。


本例因为躁动明显,产生的伪影显著、杂乱。


本例为呼吸运动产生的伪影--肋骨呈双边;肺纹理模糊不清。
2 体表物体所致伪影
此类伪影中,种类、形状繁多,稍有不慎可导致误判。尤其是软组织密度影。


高密度者虽易于辨识,有时亦可能误认为病变。下面这例病例,开始认为是否为软组织异物(白箭)。后来经询问,是从裤袋里掉出的一颗栗子(红箭),可谓无巧不成书。
辨识:1.高密度影直达皮肤表面,边缘平直;2. 边缘环以匀称的低密度带和壳状高密度边缘,与人体组织结构不符;。

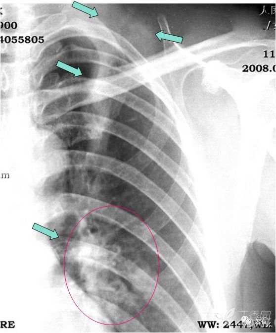
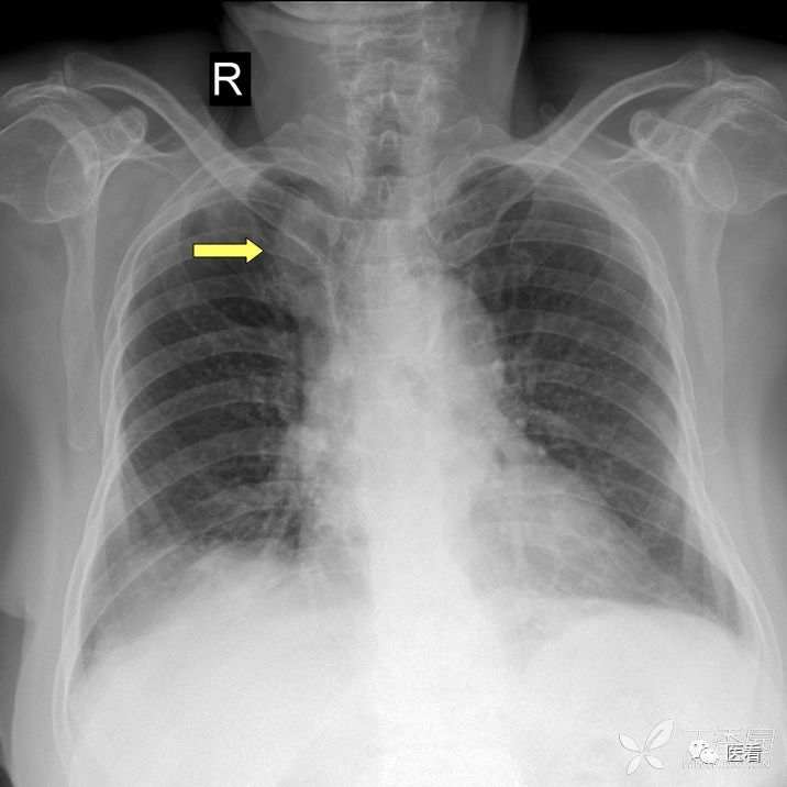
女,40岁。咳嗽、发热3天。体温38.7℃。
此病例初诊报告描述了左上肺野和肺门阴影,考虑炎性病变。建议进一步检查。报告医师起初考虑肺炎,结核待除外。
辨识:1.阴影向上出了肺野,与软组织相连,向下直达肺门(箭示);2.肺门处多发环状影太规整,不支持钙化淋巴结(红圈)。
看了病人,原来是少见的铁梅式的独辫,又粗又大。肺门结节影为扎头绳带着扣状塑料结(红圈区)。

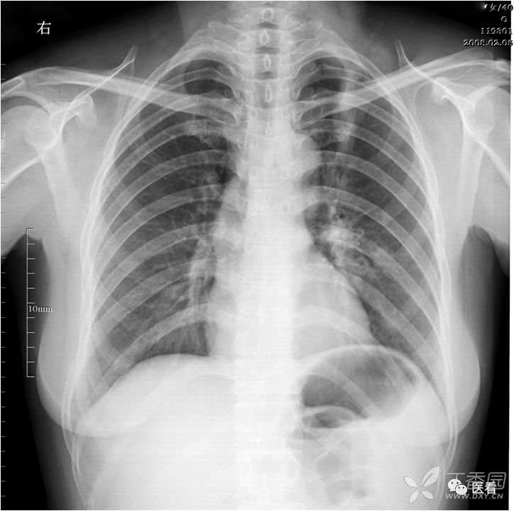
男,45岁。发热、胸痛3天。T39℃。双下肺野高密度影是钙化(箭示)?


上世纪八十年代前背心印字使用的是普通的油漆,因其内含铅,故阻光显影:细看为“第三次人口普查” 。
此类伪影的防范与处置
防范:
及时一定要按要求做好检查前准备
查看、取出扫描野中的佩饰,可减少或避免大多数此类伪影的产生。
辨识:
熟练掌握影像解剖,注意综合对影像进行分析。
克服定向思维。不要捡了西瓜/芝麻,丢了芝麻/西瓜(只把注意力集中到明显的病变,忽略了不显眼的病变);也不要选择性过度,形成定式思维。
如下面这个双视图,有的人看做是一个灯台,有的人会看出是两个相对而视人的侧面头像。

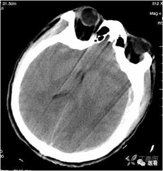
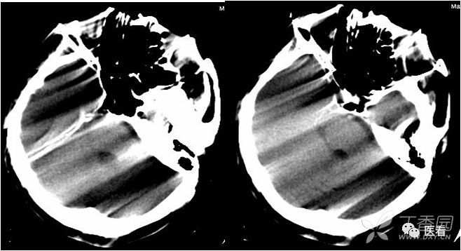
3 体外金属(白箭头)所致的放射状伪影





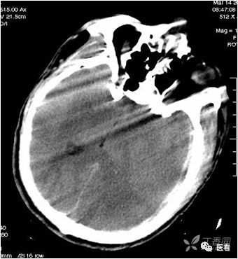
4 体外伪影——双臂不能上举肱骨形成的放射状伪影



5 胃肠道内高密度容物(钡剂)形成的放射状伪影

钡剂排出后,伪影消失。

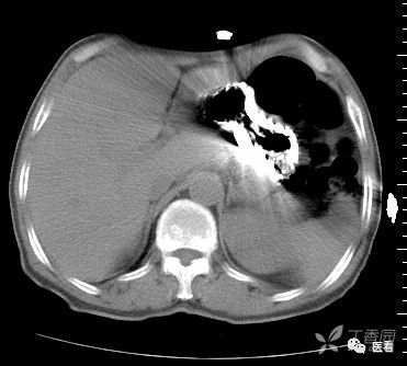
6 团注高浓度碘对比剂(红箭头)形成的伪影(白箭头)
注入造影剂的方法有快速静脉滴注法和静脉团注法(bolus injection)。静脉滴注法以20ml ~30ml/min速率滴注造影剂,待开始扫描时,造影剂已分布于动脉期、静脉期和平衡期,不能进行分期扫描,现已基本不再使用。目前主要采用静脉团注法中的动态团注CT增强扫描(Dynamic bolus contrast-enhanced scan)。动态团注CT增强扫描又称动态CT增强扫描(Dynamic enhancement CT scan),是一种对注射造影剂速度、扫描时间进行程序控制的增强CT检查技术。检查前根据需要预先设定扫描层面、扫描次数、间隔时间和床动速度等参数;使用高压注射器,短时间内快速将造影剂团注(bolus)入静脉。注射速率一般为2~3ml/s,根据需要,注射速率可增至5ml/s,目前文献报告最大注射速率为10ml/s。造影剂总量80~180ml。


以上伪影的防范与处置
防范
检查前查看、去除扫描野的佩饰,询问一周内是否做过消化道造影,可以减少或避免大多数此类伪影的产生。
处置
以上的运动伪影及体内外高密度物体形成的伪影比较容易辨识。如果其程度影响观察,一定要去除后重新扫描。
对于团注高密度碘对比剂,可以采用足端→头端扫描而规避。
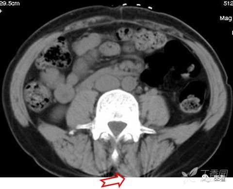
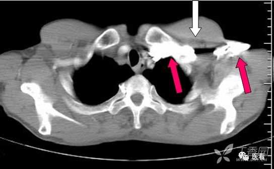
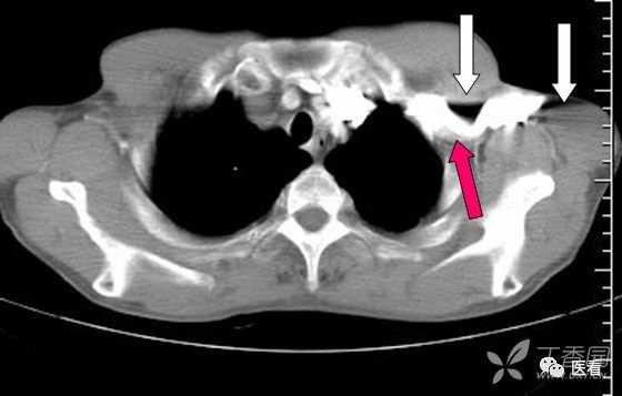
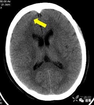
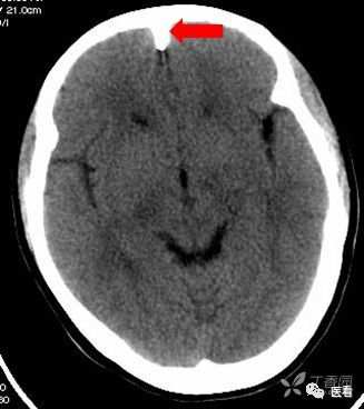
7 受检者体内、体表高密度组织结构形成的伪影


鸡冠 (红箭)所致放 射伪影 (黄箭)
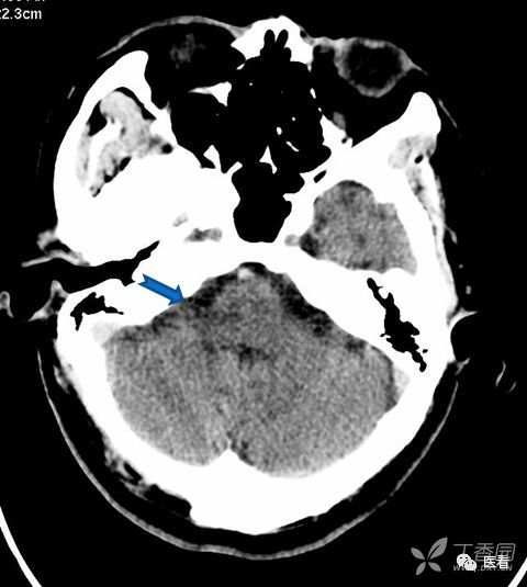
8 受检者自身结构与设备双重原因
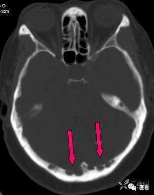
亨氏暗区
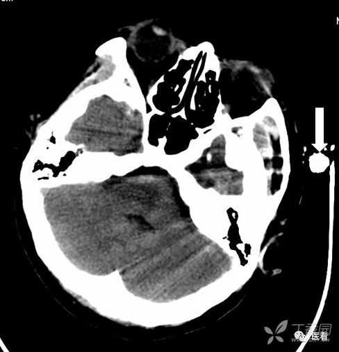
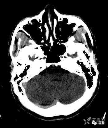
颅底(致密)骨产生的横行或放射状伪影,与设备性能也有关系
下图为16拍MSCT,伪影较轻。


此图为双排螺旋 CT图像, 伪影较16层及以上MSCT显著的多。

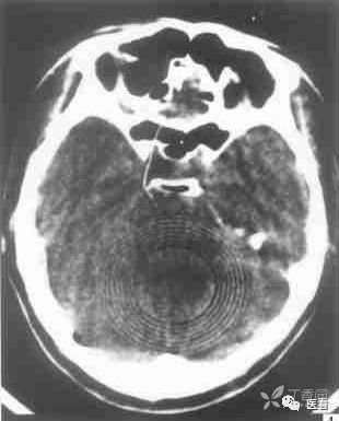
9 设备因素产生的同心圆伪影
此类伪影大多可以采用水模校准后消除

10 辨真伪
假象
这里说的假象,是真实的存在于人体内某种生理、组织/器官、术后改变所形成的图像,但看上去类似某种疾病,如果不能正确地辨识,可能误诊的某种征象。
静脉窦正常表现,不要误诊为血栓

蛛网膜颗粒压迹表现,不要误认为是颅骨破坏。


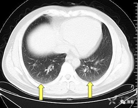
肺坠积效应
由于血液因引力作用向近地侧沉积,因此两肺下叶背侧胸膜下带血液相对较多,双肺后部肺野密度增高(箭示),称之为坠积效应。在老年人及长期卧床者尤其明显。如果不认识可能误认 为肺内炎症或肺间质纤维化。


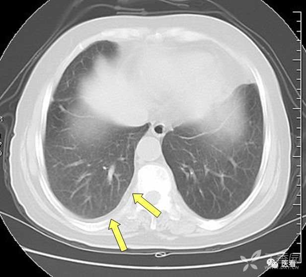
胸膜外脂肪
如果不认识,有可能误认为是胸 腔积液。
识别的方法:1.其密度与皮下 脂肪相同;2.该影不随体位变化。

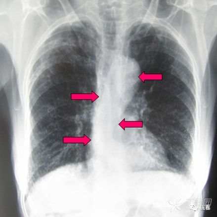
降主动脉迂曲
另外还有无名动脉 形成的右上纵隔增宽,结合年龄因素进行分析,勿误诊为病变
‘`

另外还有无名动脉形成的右上纵隔增宽,结合年龄因素进行分析,勿误诊为纵隔肿瘤

11 术后改变所形成的影像/假象主要注意正确辨识
乳腺成形术或丰胸术后
尤其是患者隐瞒病情,或单侧手术时,需要注意鉴别。
辨识方法:充填物区无正常乳腺组织结构,呈密度均匀的无结构影(红箭)。注意双侧对照,或与正常人乳腺图像对照。



火眼金睛辨真伪:申请单病情摘要:男,44岁,胸痛两天,查体无特殊。
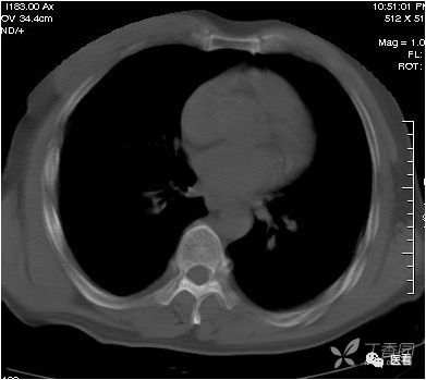
看上去是心脏普遍增大。细心观察,右肺门及右下肺动脉影被掩入增大的心影内(蓝箭头)

本例为食管癌手术后,服用钡餐后,显示实际为胸腔胃(红箭)形成的假象。

真正的心脏增大,肺门及下肺动脉影被向外推移(蓝箭头),在心影外

客服定向思维辨真相
陈旧性肺结核导致的胸廓塌陷?脊柱弯曲?

男,55岁,右肺结核复查。陈旧性肺结核并脊柱畸形?
其实这是建国初期,为了治疗肺结核患者做了右侧 胸部切除术!右侧胸廓、右肺全部缺失。
CT造影中可能出现的假象——涡流
这里强调一个CT造影中可能产生的假象——涡流
也就是团注(高压注射器快速注入)的碘对比剂与血液没有混匀之前,没有对比剂的血液呈低密度(红箭头),有对比剂的血流呈高密度,不要误认为是血栓
如何防范、处置伪影:
技师一定按要求做好检查前准备,仔细询问病史,查看、去除扫描野中的佩饰,对于团注高浓度碘对比剂的患者,可以根据注射位置择情规避扫描,可以减少或者避免大多数上文提到的伪影产生,确保图像质量满意。
医生需要熟练掌握影像解剖、生理变异以及基本放射原理,注意对影像进行综合分析。在分析的过程中,克服定向思维,犯经验性错误。不能捡了西瓜丢了芝麻——只把注意力集中到明显的病变,却忽略了不显眼的病变。也不要选择性忽略,容易形成定式思维。
















































