dxy logo
首页丁香园病例库全部版块
搜索
登录

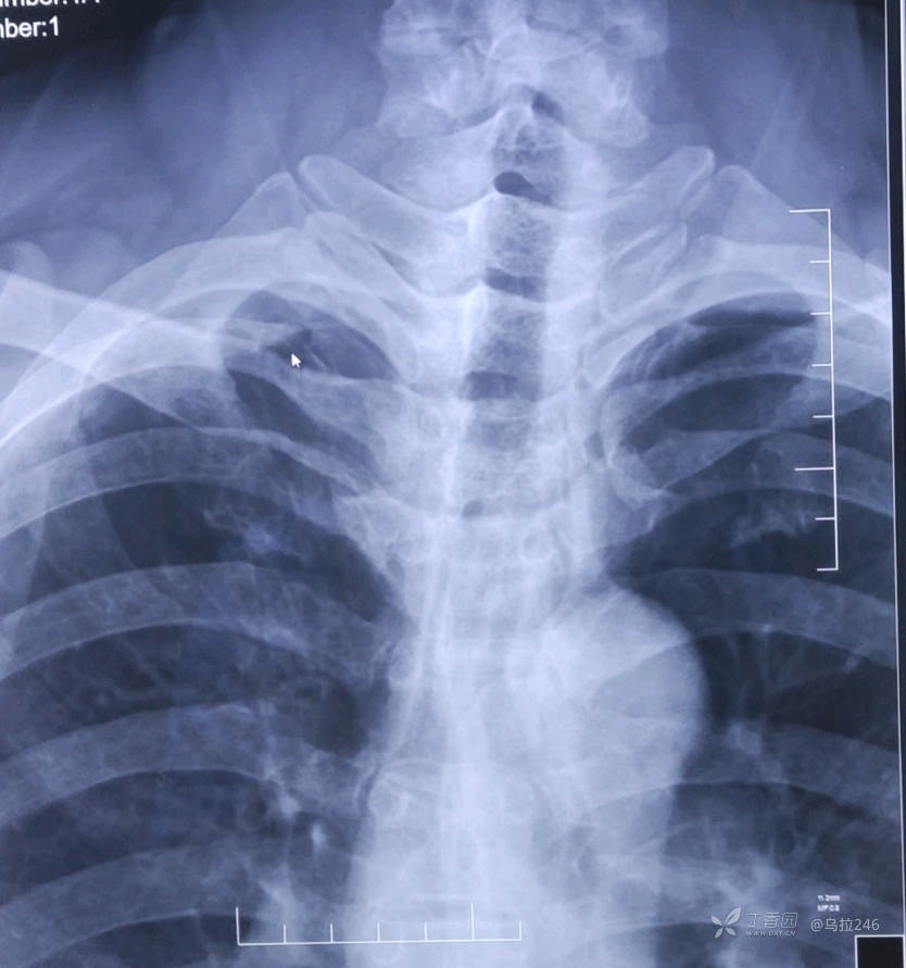
请各位老师指导一下平片技巧

放射科医师 · 发布于 2022-10-04 · 来自 Android · IP 湖南湖南
1717 浏览
这个帖子发布于 3 年零 52 天前,其中的信息可能已发生改变或有所发展。

感觉平片真的很难写,以为体检病人右肺尖发现有斑片状密度增高影,报了纤维化病变,或继发型肺tb可疑,后面来做了ct,不是tb。想请各位老师指导一下,如何在平片上区分tb和普通的炎性病变呢?

img


previewplay video
3 收藏点赞

全部讨论(0)

默认最新
avatar
3
分享帖子
share-weibo分享到微博
share-weibo分享到微信
认证
返回顶部