60岁/女,发现左侧肱骨头破坏1天。够典型,平片、MRI助力诊断---结果公布
华夏览雄 等 2 位达人已点赞病例信息
性别:女
年龄:60岁
主诉:发现左侧肱骨头破坏1天。
现病史:患者1月前无明显诱因出现左肩关节疼痛,于2024.07.31就诊于我院骨科门诊完善左肩关节MR:左肱骨头信号异常,肿瘤?建议进一步检查。左肩关节积液。左腋窝淋巴结增大。今为求明确诊断就诊我科,门诊以“骨质破坏”收入我科。 起病以来,精神食欲睡眠尚可,大小便正常,体力体重无明显变化。
既往史:系统性红斑狼疮10余年,目前行强的松、羟氯喹治疗
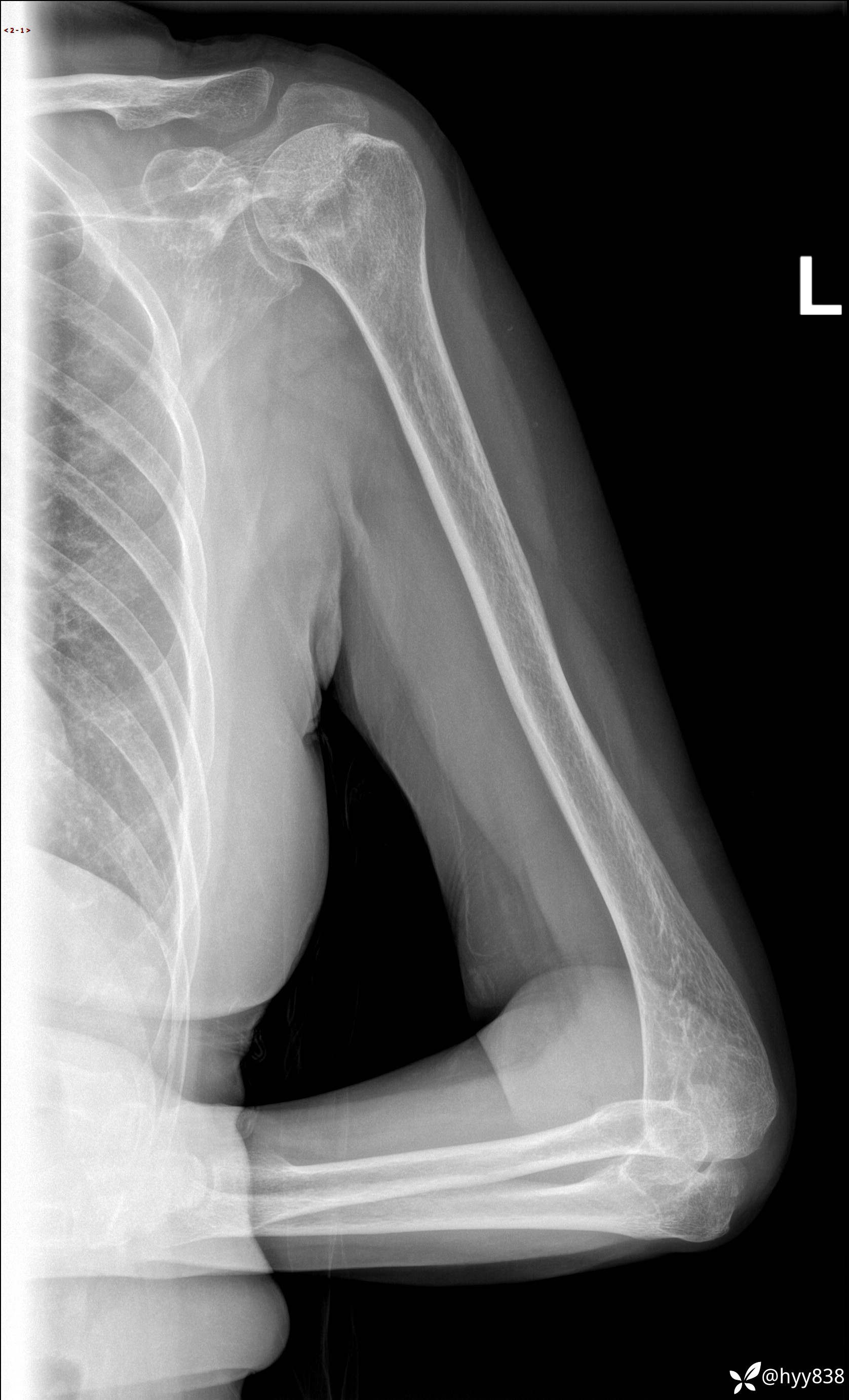
肱骨正侧位片


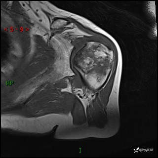
肱骨MRI平扫(axi T1WI+cor T2WI-fs)+CE-fs(COR+SAG)











































































