45岁/男,左膝关节疼痛1月余。好久没看到了,平片、CT 、MRI一应俱全--结果公布
华夏览雄 等 2 位达人已点赞病例信息
性别:男
年龄:45岁
简要病史:左膝关节疼痛1月余
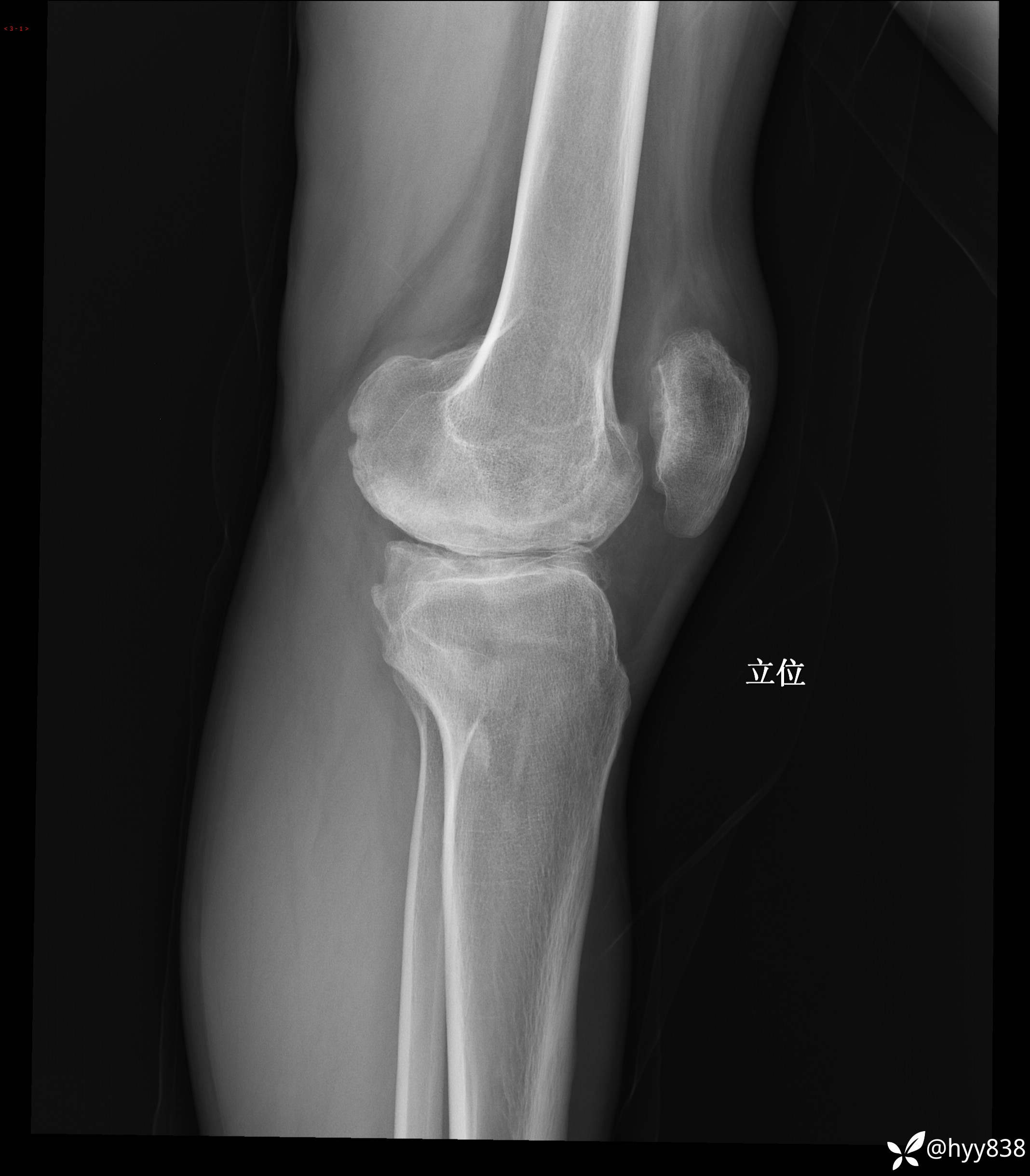
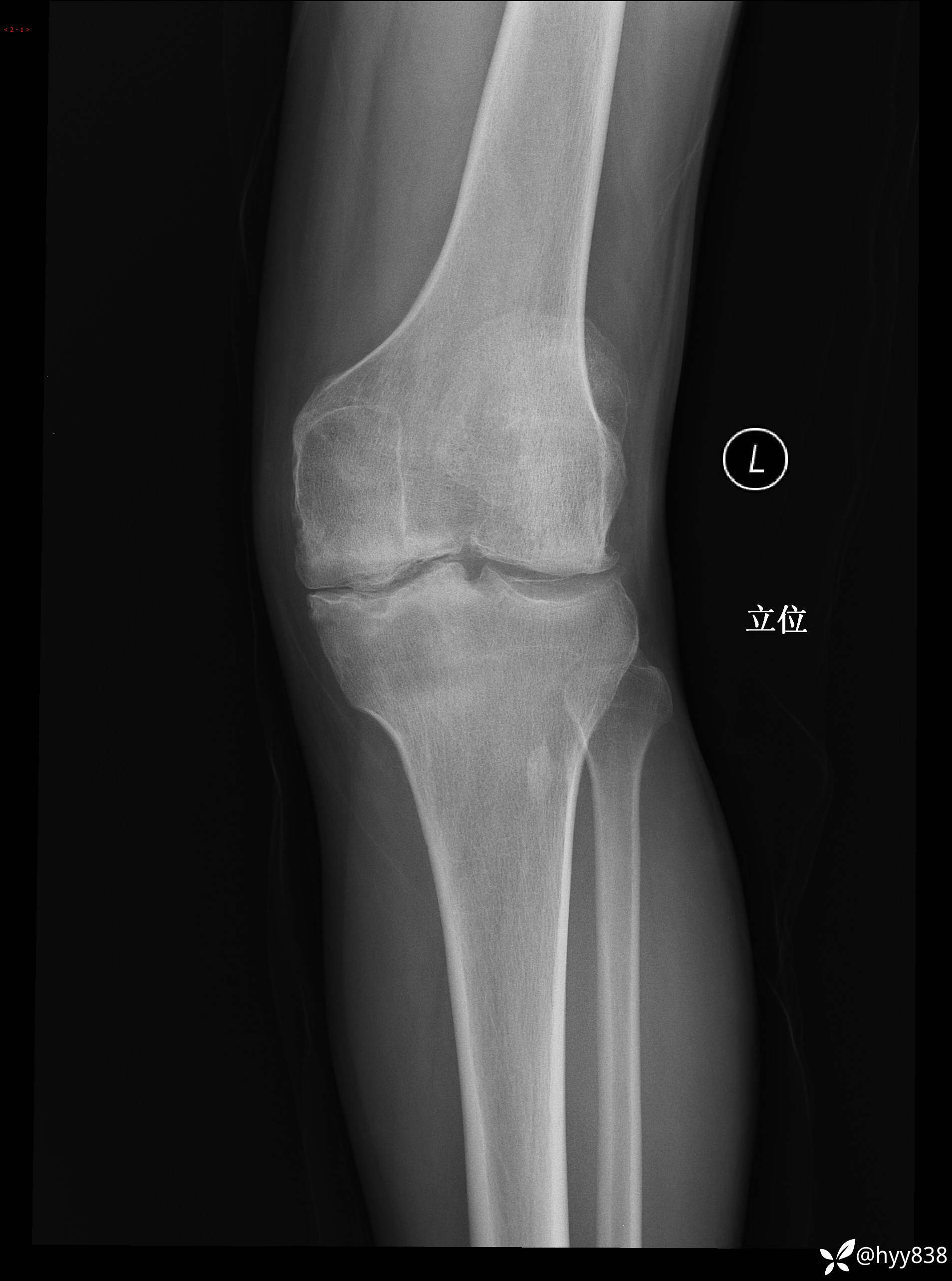
膝关节平片


MRI(sag :T1WI+T2WIfs)








cor T2WIfs




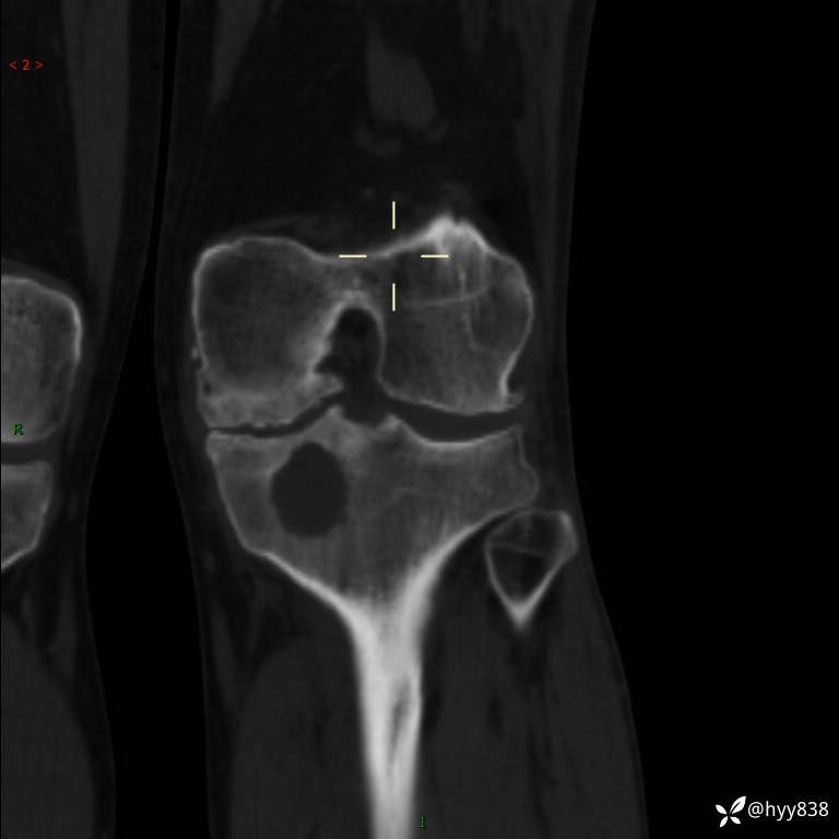
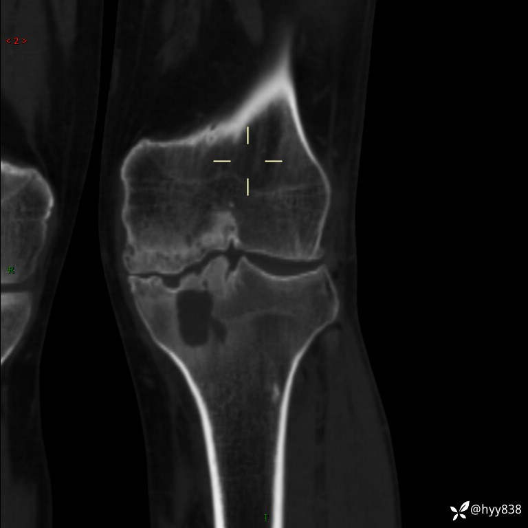
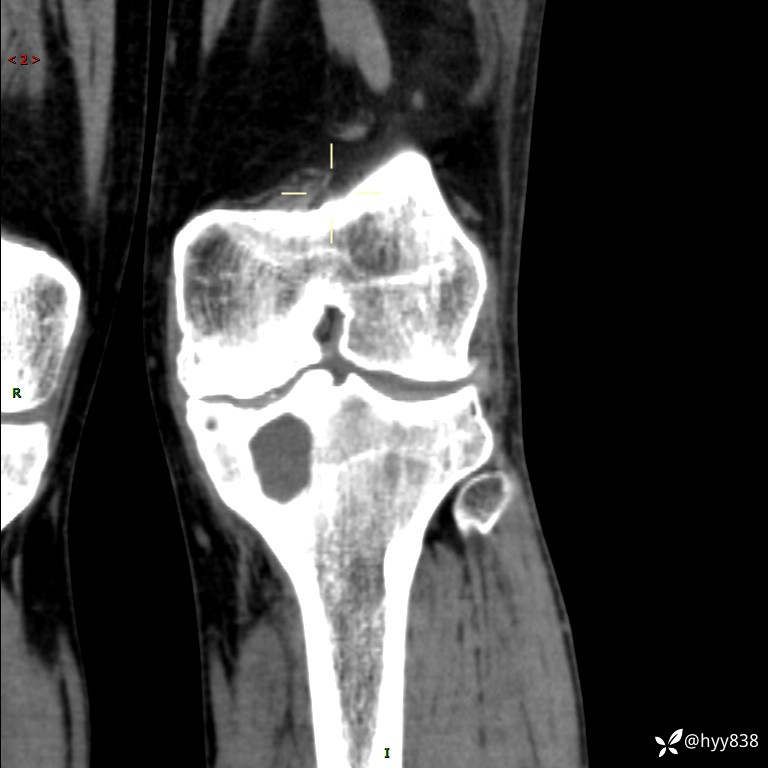
CT









问题讨论
干骺端溶骨性病变病灶周广泛水肿
脓肿
骨母
华夏览雄 等 2 位达人已点赞病例信息
性别:男
年龄:45岁
简要病史:左膝关节疼痛1月余
膝关节平片


MRI(sag :T1WI+T2WIfs)








cor T2WIfs




CT









问题讨论
干骺端溶骨性病变病灶周广泛水肿
脓肿
骨母
