dxy logo
首页丁香园病例库全部版块
搜索
登录

病例一张平片,学生报告写正常,直接拒了,基本功考量---结果公布~

影像核医学版版主 · 发布于 2024-07-02 · IP 湖北湖北
2.0 万 浏览
icon正在邪不干 等 3 位达人已点赞
这个帖子发布于 1 年零 145 天前,其中的信息可能已发生改变或有所发展。

病例信息

性别:男

年龄:55岁

简要病史:腰背部疼痛伴年余

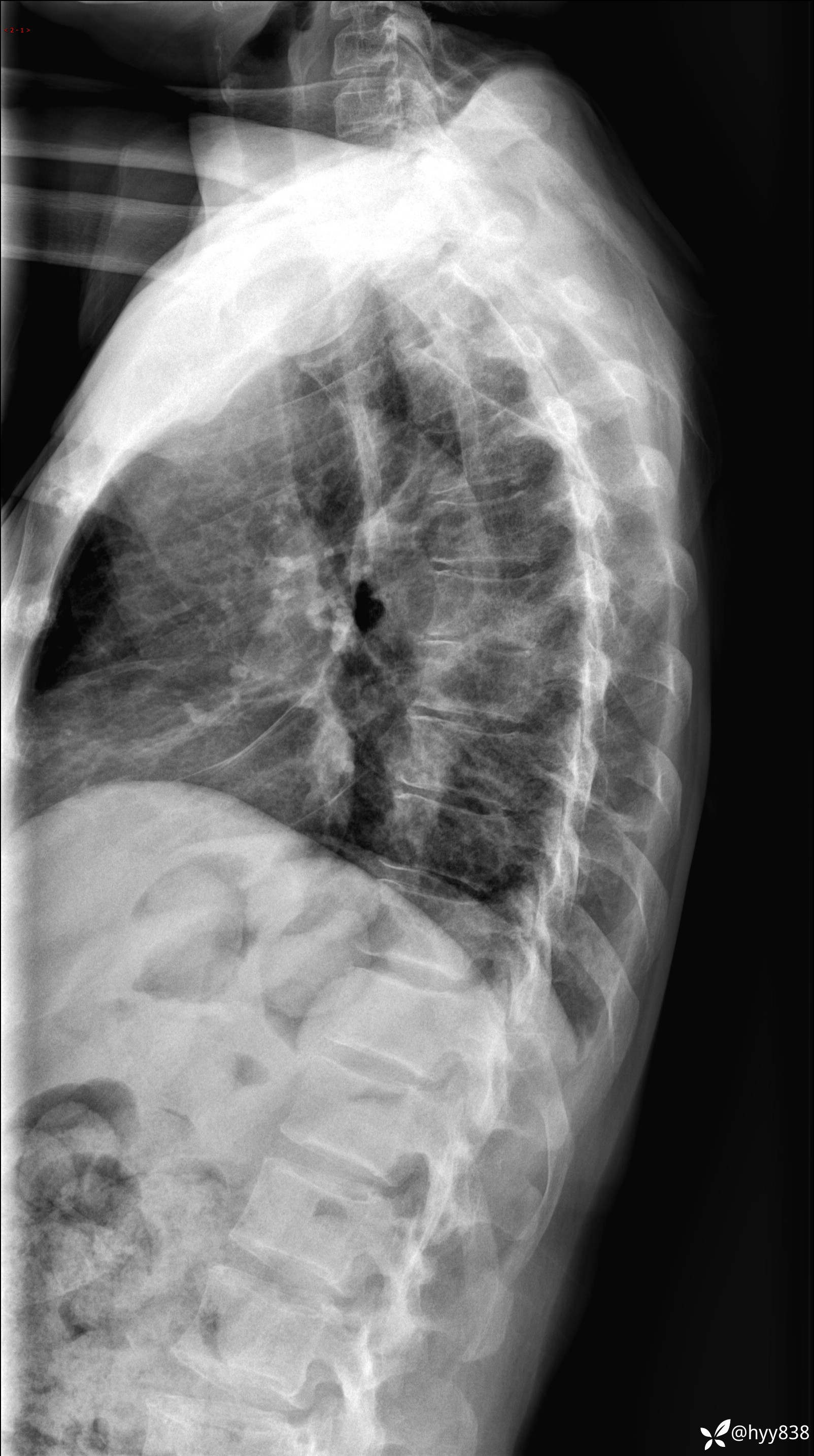
胸椎正侧位片

img
img
腰椎间盘突出症 (232)
纠错
52 39 42
同行评议(0)
已评议
不开通精选
开通精选
精选已授权,待上线
评议结果暂未公布
参与评议
去邀请
NaN
病例完整NaN
临床实用NaN
诊疗科学NaN
学术价值NaN

全部讨论(0)

默认最新
avatar
52
分享帖子
share-weibo分享到微博
share-weibo分享到微信
认证
返回顶部