平片与CT:说他行他就行不行也行,说不行就不行行也不行。结论:有时还真不行
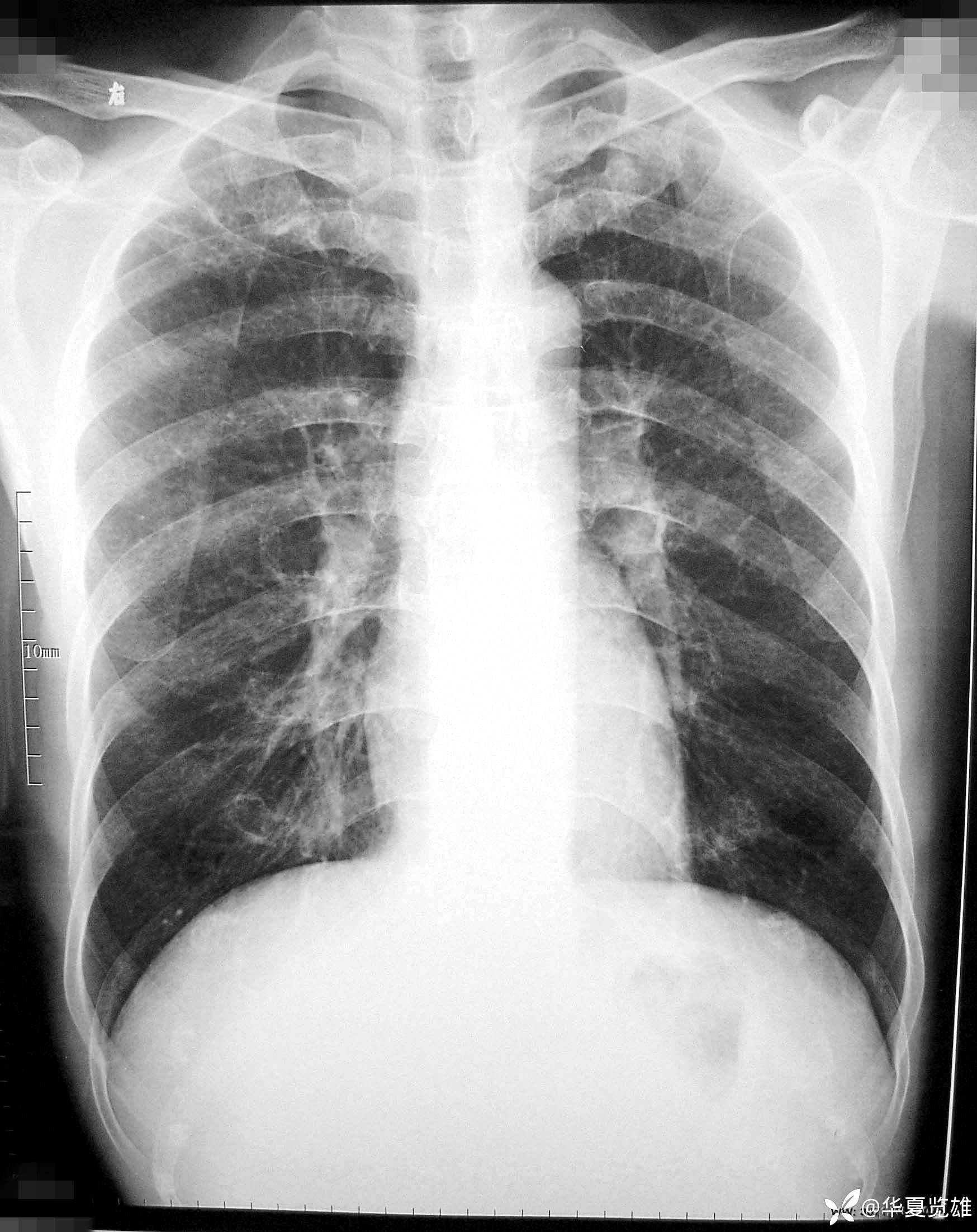
患者性别:男
患者年龄:48岁
主诉:咳嗽23天,痰中带血3天。
简要病史:患者三周前咳嗽,痰量少。有时伴有发热,体温37.5℃-38.5℃。自服抗生素体温降至正常。
辅助检查:血常规、肿瘤标志物未见异常。
临床诊断:肺内感染
治疗经过:见结果。
先上平片,请仔细观察,是否有异常。CT在公布结果里。


患者性别:男
患者年龄:48岁
主诉:咳嗽23天,痰中带血3天。
简要病史:患者三周前咳嗽,痰量少。有时伴有发热,体温37.5℃-38.5℃。自服抗生素体温降至正常。
辅助检查:血常规、肿瘤标志物未见异常。
临床诊断:肺内感染
治疗经过:见结果。
先上平片,请仔细观察,是否有异常。CT在公布结果里。


