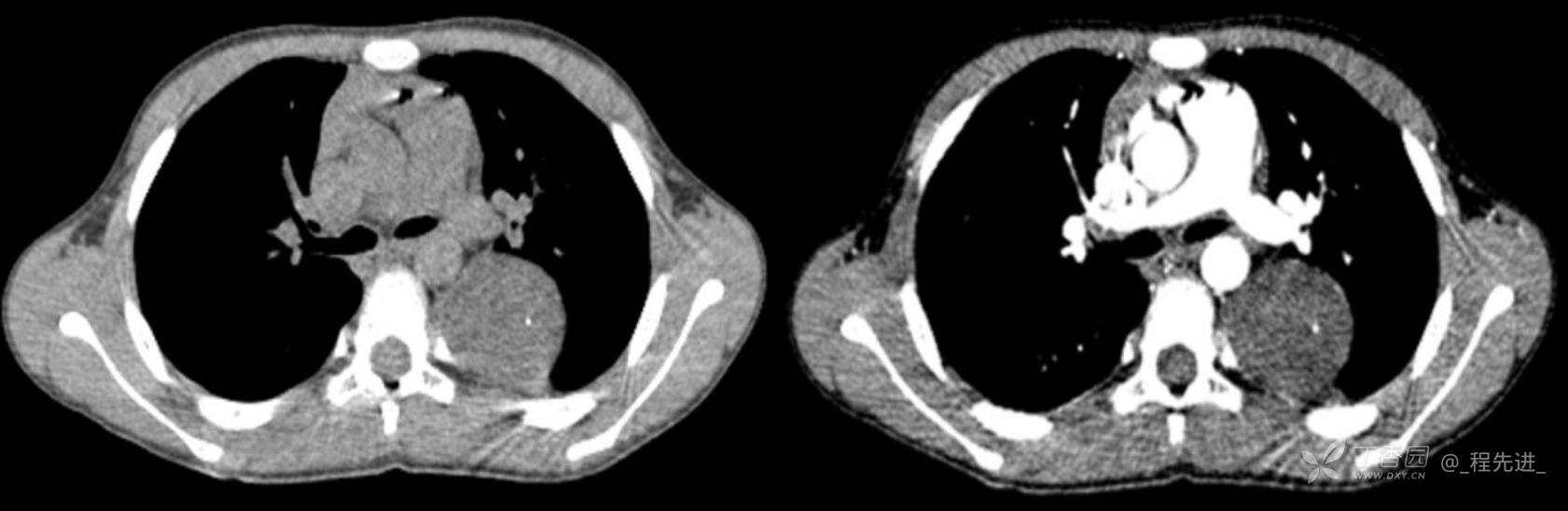
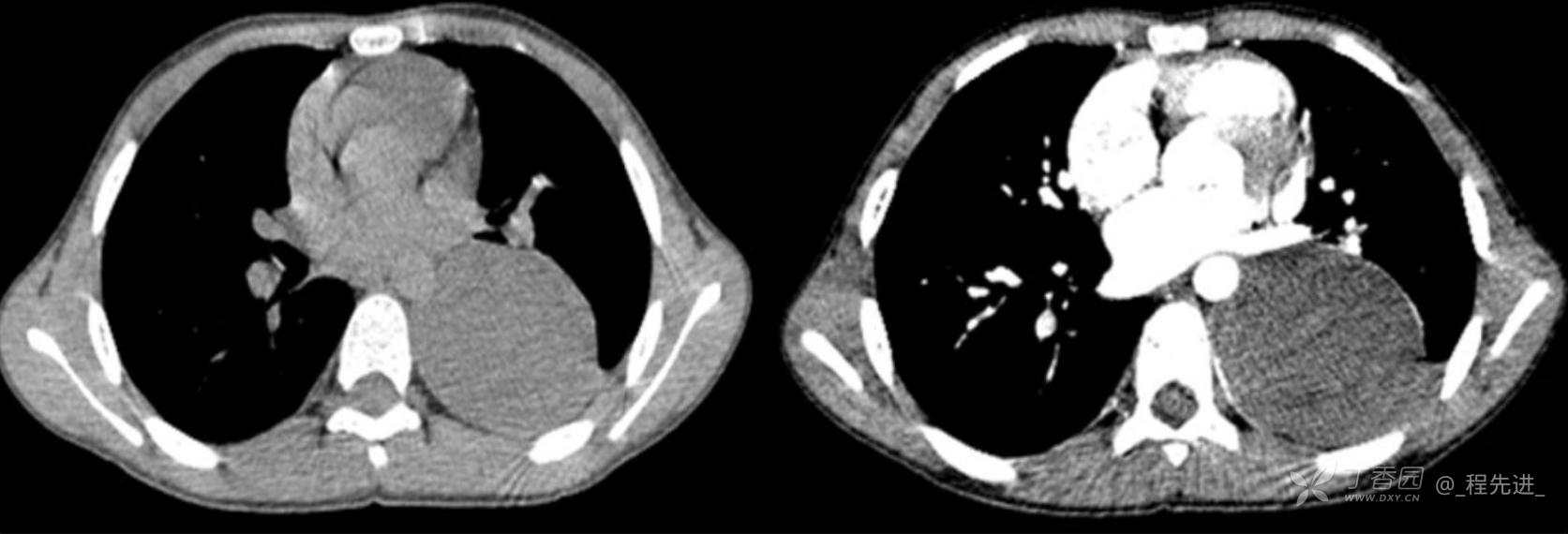
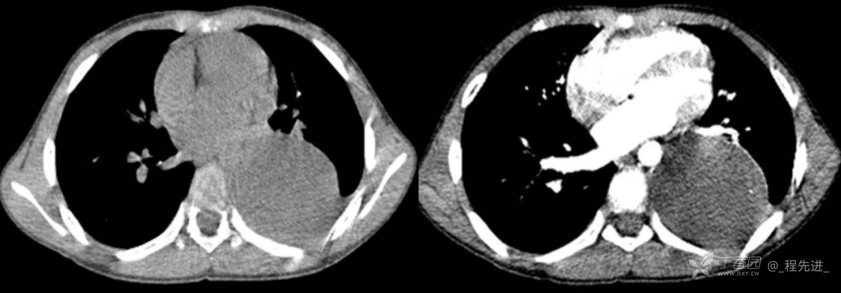
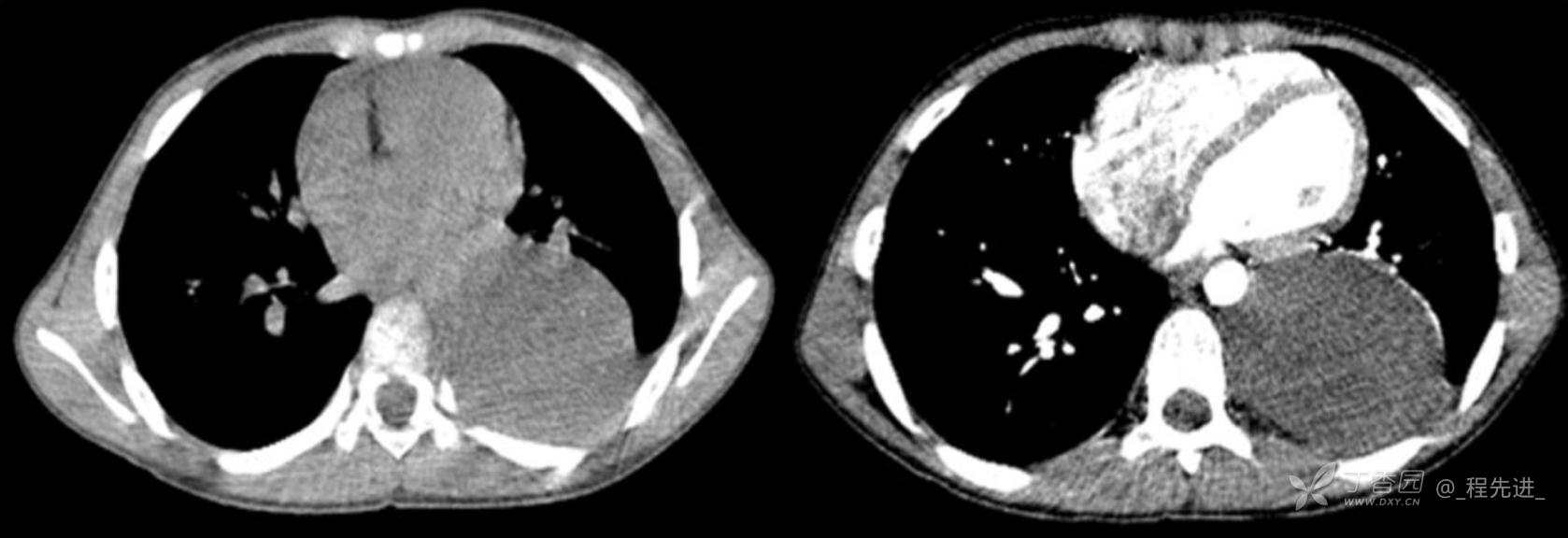
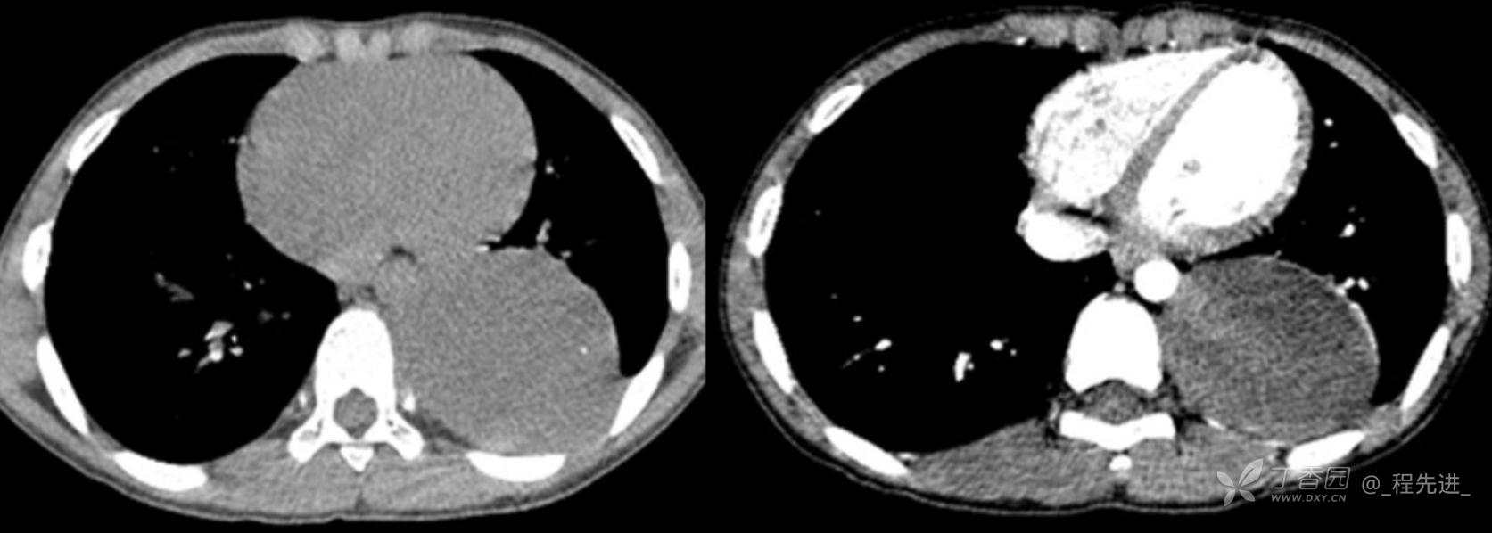
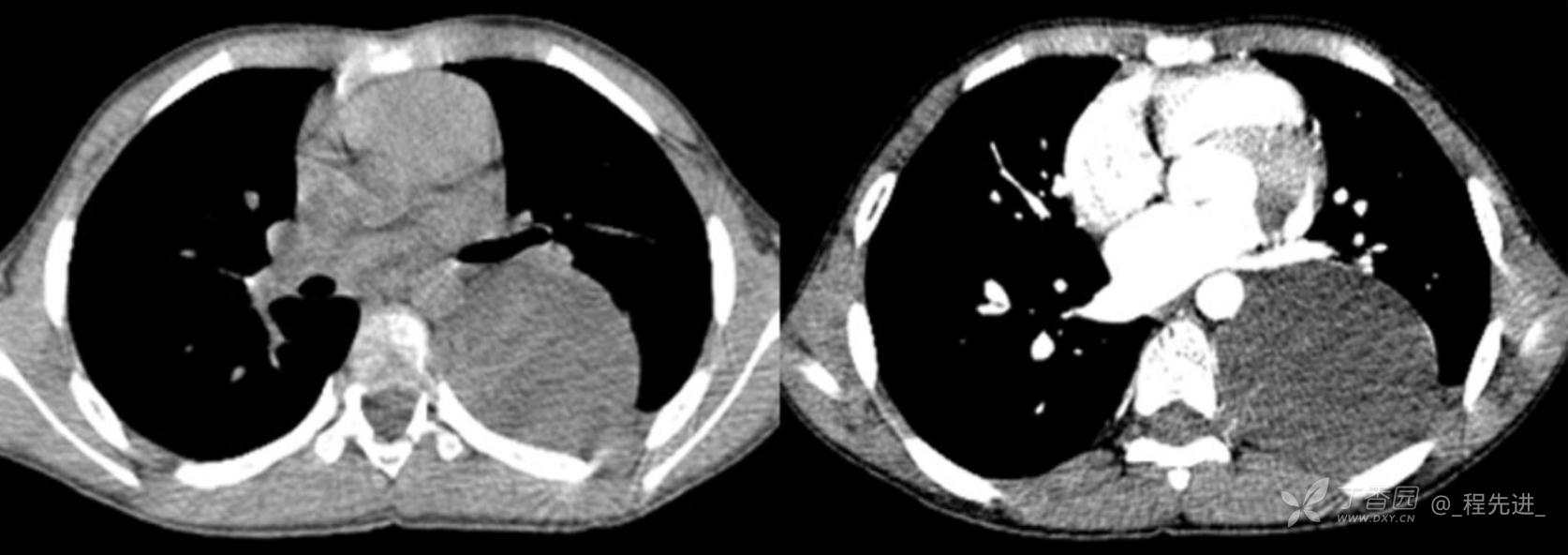
11月特别精彩病例|胸片示“左侧胸腔包裹性积液”,CT增强你诊断啥?【病理已公布】
呱呱叫了 等 3 位达人已点赞男,11岁,患儿因其爷爷近期在我院诊断“肺结核”,于外院行结核筛查,胸片示“左侧胸腔包裹性积液”,近期无咳嗽、发热、纳差、盗汗、乏力、胸痛、胸闷、气促不适,精神反应可,为求明确“左侧胸腔包裹性积液”病因,遂来我院门诊就诊,门诊以“胸腔积液查因”收住入院。发病以来,精神尚可食欲如常,大便如常,小便量如常,体重无明显变化
既往体健,否认“肝炎、疟疾”病史,否认“麻疹、水痘、腮腺炎”病史。否认手术史、外伤史,否认输血史。否认食物过敏史,否认药物过敏史。预防接种按计划进行,无不良反应
各项实验室检查均正常



























































