胸片腹部病变分享,你能否看出个子寅卯吗?(参考答案分析已公布)
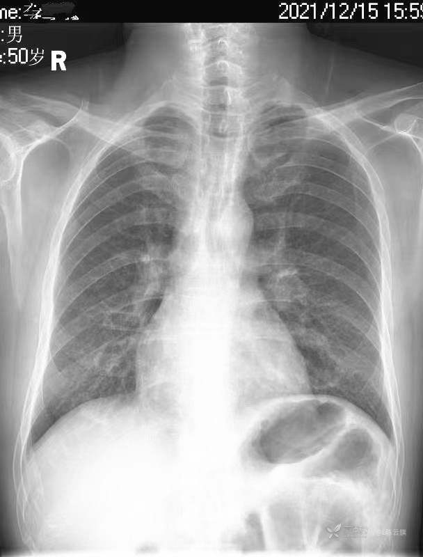
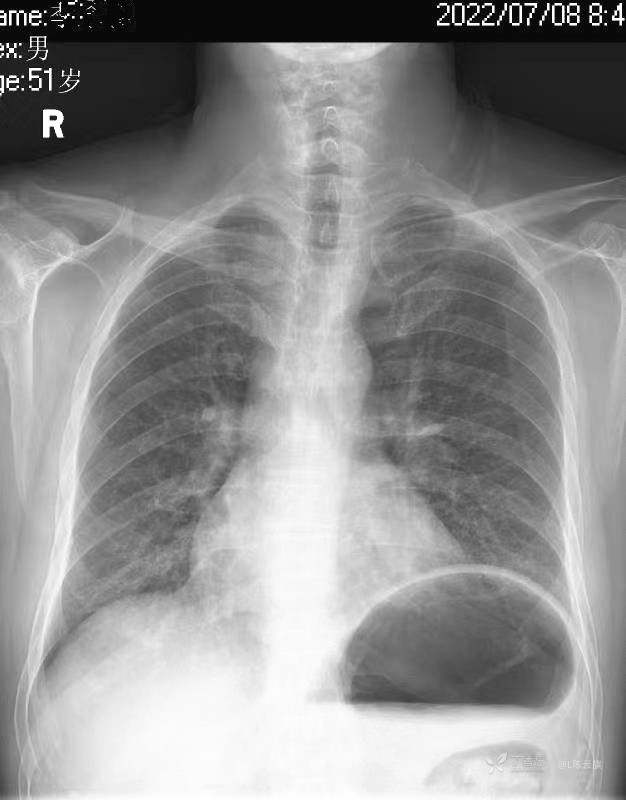
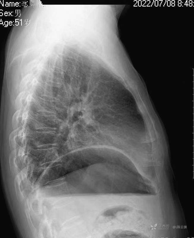
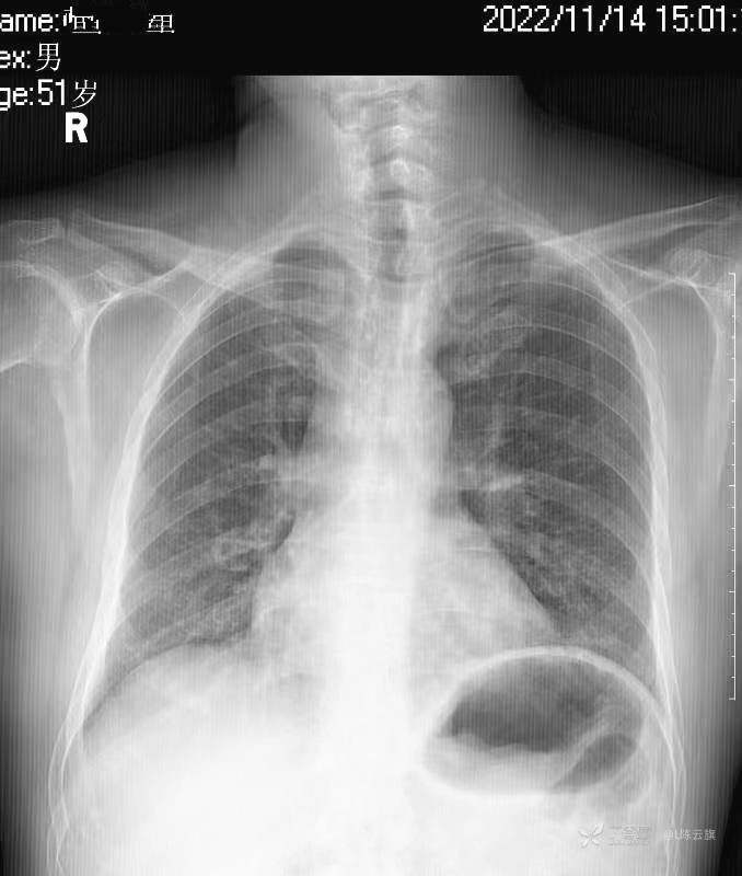
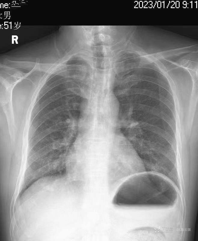
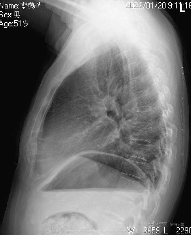
华夏览雄 达人已点赞1、患者男,51岁,精神病长期住院患者,主要病史只有时不时觉得腹部不适,其他不详。系列胸片为定期胸部检查。
2、第一张腹部立位片是个腹部病变的典型平片表现,你能明确诊断吗?
3、根据系列复查胸、腹部平片的不同表现,你能否总结出什么征象和经验呢?










华夏览雄 达人已点赞1、患者男,51岁,精神病长期住院患者,主要病史只有时不时觉得腹部不适,其他不详。系列胸片为定期胸部检查。
2、第一张腹部立位片是个腹部病变的典型平片表现,你能明确诊断吗?
3、根据系列复查胸、腹部平片的不同表现,你能否总结出什么征象和经验呢?










