dxy logo
首页丁香园病例库全部版块
搜索
登录

病例[每周胸片] 207 正侧位胸片 该如何诊断?(结果已公布)

影像科医师 · 发布于 2023-11-28 · IP 广西广西
3596 浏览
icon华夏览雄 等 2 位达人已点赞
这个帖子发布于 1 年零 362 天前,其中的信息可能已发生改变或有所发展。

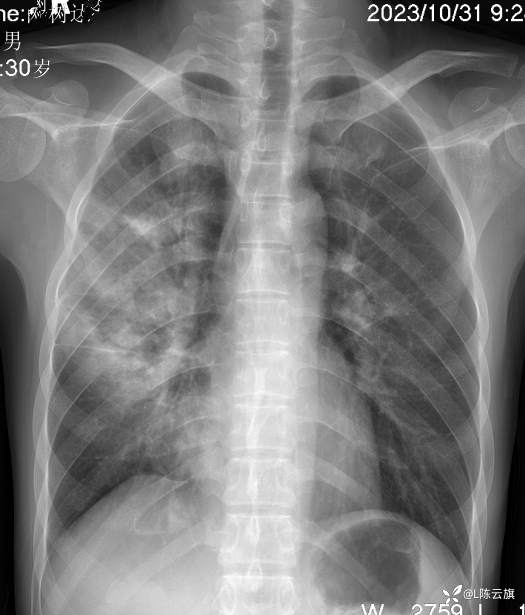
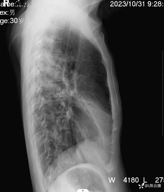
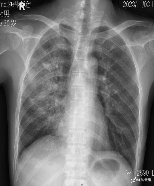
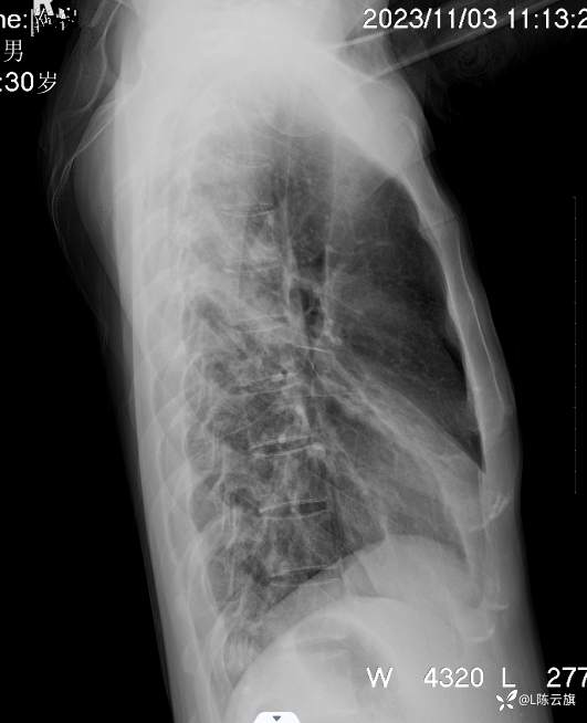
患者男,30岁,精神病长期住院患者。咳嗽、咳痰二天伴发热、胸痛,体温38.5度。听诊两肺干湿啰音。

img
img
img
img
该帖还没有疾病标签去添加
58 7 15
同行评议(0)
已评议
不开通精选
开通精选
精选已授权,待上线
评议结果暂未公布
参与评议
去邀请
NaN
病例完整NaN
临床实用NaN
诊疗科学NaN
学术价值NaN

全部讨论(0)

默认最新
avatar
58
分享帖子
share-weibo分享到微博
share-weibo分享到微信
认证
返回顶部