[每周胸片] 224 有无症状时的正位胸片 有问题吗!
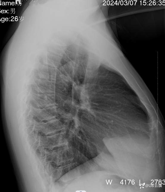
1、患者男,26岁,精神病住院患者。没有胸部及呼吸系统症状。正侧位胸片考虑什么?第一 次拟肺炎治疗后复查无改变!
2、平片所见:(CT随后上传!)




3、CT平扫视频:(此病例没有最后结果,本人CT外行,分析讨论不了。烦请专行专家解读!谢谢!










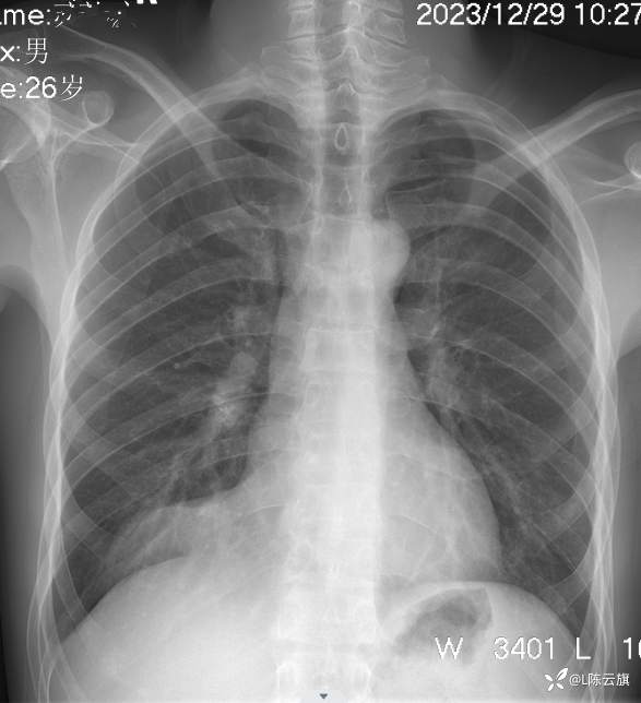
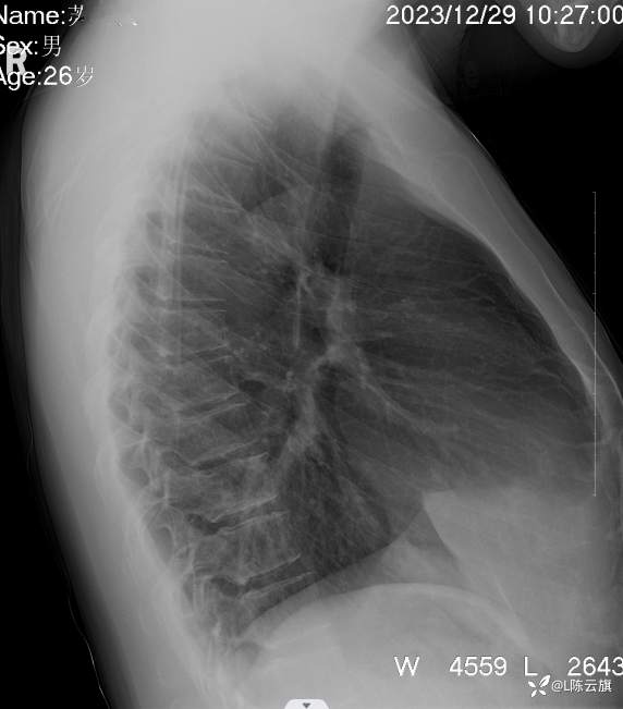
1、患者男,26岁,精神病住院患者。没有胸部及呼吸系统症状。正侧位胸片考虑什么?第一 次拟肺炎治疗后复查无改变!
2、平片所见:(CT随后上传!)




3、CT平扫视频:(此病例没有最后结果,本人CT外行,分析讨论不了。烦请专行专家解读!谢谢!










