dxy logo
首页丁香园病例库全部版块
搜索
登录

病例[每周胸片] 163 新病例典型胸片,哪里的典型肺炎?(参考结果已公布)

影像科医师 · 发布于 2023-01-04 · IP 广西广西
3508 浏览
icon华夏览雄 达人已点赞
这个帖子发布于 2 年零 324 天前,其中的信息可能已发生改变或有所发展。

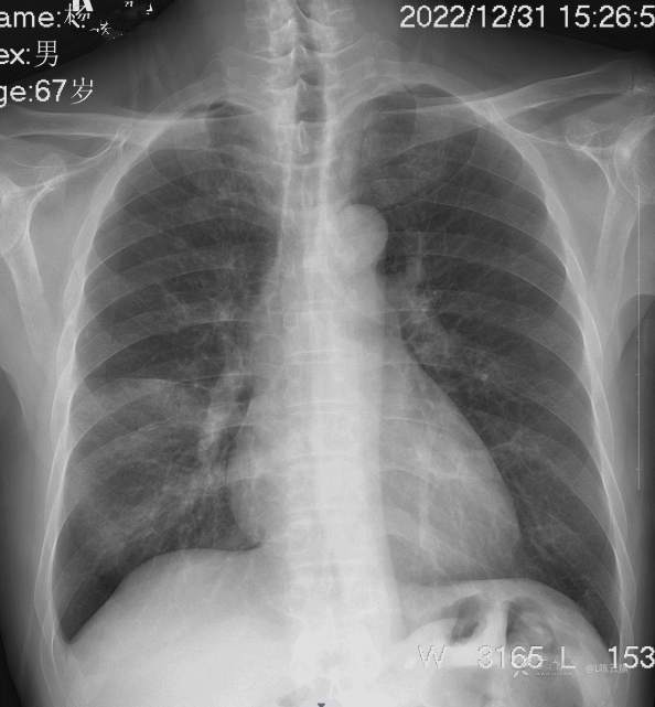
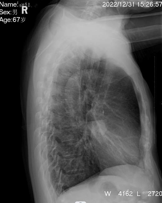
1、男67岁,精神病长期住院患者,发烧,伴咳嗽气紧两天。

2、又是胸片典型病例,你能正确描述和准确诊断吗?

img
img
精神疾病||精神病 (64)
咳嗽 (1145)
纠错
32 8 13
同行评议(0)
已评议
不开通精选
开通精选
精选已授权,待上线
评议结果暂未公布
参与评议
去邀请
NaN
病例完整NaN
临床实用NaN
诊疗科学NaN
学术价值NaN

全部讨论(0)

默认最新
avatar
32
分享帖子
share-weibo分享到微博
share-weibo分享到微信
认证
返回顶部