dxy logo
首页丁香园病例库全部版块
搜索
登录

病例[每周胸片] 162 年末最后一天来了个典型病例!是大叶性肺炎吗?(参考结果已公布)

影像科医师 · 发布于 2022-12-31 · IP 广西广西
3772 浏览
达人点赞、丁当奖励 2 项荣誉
这个帖子发布于 2 年零 329 天前,其中的信息可能已发生改变或有所发展。

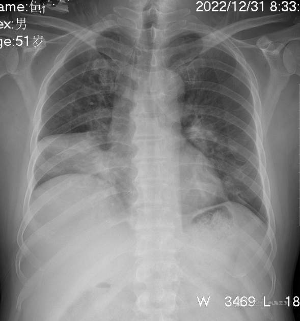
1、男51岁,精神病住院一个多月,出现持续发烧两天,伴咳嗽气紧,少痰。

2、胸片典型病例,这是什么典型呢?

img
img



精神疾病||精神病 (64)
咳嗽 (1145)
纠错
31 20 21
同行评议(0)
已评议
不开通精选
开通精选
精选已授权,待上线
评议结果暂未公布
参与评议
去邀请
NaN
病例完整NaN
临床实用NaN
诊疗科学NaN
学术价值NaN

全部讨论(0)

默认最新
avatar
31
分享帖子
share-weibo分享到微博
share-weibo分享到微信
认证
返回顶部